|
|
Created by RadTech Fairy
about 9 years ago
|
|
Joint types and bone types
Radial Deviation
Ulnar Deviation
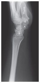
Lateral Wrist
Types of Joints
What would displacement of this indicate?
What is the most commonly fractured carpal bone?
Inflammation of the bursae, or fluid filled sacs, that enclose the joints is called _______
The transfer of disease or cancerous lesions from one organ or part that may not be directly connected is called ____ ______ . Malignant tumors have the ability to metastasize, or transfer from one body part to another.
the painful disorder of the wrist and hand that results from compression of the median nerve is called ____ ____ syndrome.
Fracture and dislocation of the posterior lip of the distal radius is called ______ ______ .
A fracture of the base of the first metacarpal bone is called ____ ____ .
A transverse fracture that extends through the metacarpal neck - most commonly seen in the 5th metacarpal is called ________ .
A transverse fracture of the distal radius where the distal fragment is displaced posteriorly is called _____ _____ .
the reverse of Colle's Fracture, the transverse fracture of the distal radius with the distal fragment displaced anteriorly is called __________ .
A ____ _____ describes the accumulated fluid (synovial or hemorrhagic) in the joint cavity.
_____ AKA degenerative joint disease, is a noninflammatory joint disease where the bone gradually deteriorates
A local or generalized infection of bone or bone marrow is called _______ .
A hereditary disease marked by abnormally dense bone is called _____
The reduction in the quantity of bone, or atrophy of skeletal tissue is called _______ .
A common chronic skeletal disease where the bone is destructed and repaired by the overproduction of very dense yet soft bones that fracture easily is termed ______ .
A chronic systemic disease with inflammatory changes throughout the connective tissues is called ______ arthritis. It's more common in women than in men.
____ ____ refers to a sprain or tear of the ulnar collateral ligament of the thumb near the MCP joint
Bone tumors or neoplasms are also called ____ ____ .
Neoplasms are also called ____
The most primary malignant cancerous bone tumor that affects people 40 - 70 years old is called ______ ______ .
The 2nd most common type of malignant primary cancerous bone tumor that generally affects people 10-20 years old is called ____ ____ .
A common malignant bone tumor in children and adults that arises from bone marrow is called ____ ____ .
What are the routine exams for a finger AND thumb?
What are the routine exams for the hand?
What are the routine exams for the wrist?
PA Fingers
Technique & Evaluation Criteria
PA Oblique Finger
Medial or Lateral Rotation
Lateral Finger
lateromedial or mediolateral
AP Thumb
PA Oblique Thumb
Medial Rotation
Lateral Thumb
AP Axial Thumb
Modified Robert's Method
PA Stress
PA Hand
PA Oblique Hand
Lateral Fan Hand
Lateromedial
Lateral Hand
Extension
&
Flexion
PA and AP Wrist
PA Oblique Wrist
Lateral Wrist
Lateromedial
PA Axial
Ulnar Deviation
Scaphoid Wrist
PA Scaphoid-Hand
Elevated Ulnar Deviation wrist
PA Radial Deviation Wrist
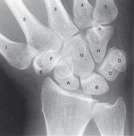
How many bones make up the hand and wrist?
Which carpal bone is the smallest?
the _______ position/projection is preferred for localizing foreign bodies
If the fingers are rotated how will the finger x-ray appear?
for a PA Oblique finger, the fingers MUST be ______ to the IR
if you're doing an oblique x-ray of the 1st-3rd digit you're going to rotate the wrist _____ to reduce OID
If you're doing an oblique x-ray of the the 4th-5th digit, you rotate the wrist _____ to reduce OID
For all of the fingers BESIDES the thumb, you are centering at the _____ joint.
For thumb projections you're going to center at the ______ joint.
the PA stress thumb x-ray demonstrates
If the joints do not appear open on the x-ray, that means ______
For PA oblique of the hand, if the 4th and 5th digits are superimposed that means
How can you tell if oblique position is good based on the radiograph of the 45 degree oblique finger?
It's better to see the _____ on the fan lateral position.
Lateral hand, both fanned and true lateral, demonstrate the ______ fracture
true lateral hand position best shows ______ _____ in the hand
AP Oblique Bilateral (ball catcher's) you should center at the ____ MCP joint, this radiograph demonstrates ______
For Boxer's Fx's AND 5th metacarpal Fx's, you need to ask the patient......
Why do you flex the fingers for the PA wrist?
TTCH
SLTP
For a lateral wrist you want to rotate the hand externally (laterally) __ degrees to get it in TRUE lateral
For radial deviation projections you want to angle the CR ___ to ___ degrees
For modified Stecher (modified ulnar deviation), you're elevating the hand ___ degrees on a sponge with no deviation. This is done only if patient cannot deviate the wrist.
Which position should you use if the patient cannot angle their wrist for an Ulnar Deviation projection?
For most hand projections you should center the CR at the ___ ___ joint.
Most lateral hand projections should be centered at the ___ ___ joint.
TRUE OR FALSE?
You want the forearm and elbow in the same plane as the finger, hand, or wrist that's being x-rayed.
you should place your marker on the ____ side of the appendage in most cases.
TRUE OR FALSE?
If you have to do several different appendage series all together, you should group them together. For example, all the AP's should be done first, then the PA's, then the obliques, etc...
Why do you want to group all your similar projections together for multiple appendage projections?
Bone Age Studies
Which carpal bone is most anterior?
with the AP thumb projection, the hand is positioned in _____ ____ rotation.
Why is PA preferred vs AP in most hand, finger, and wrist projections?
Where do you place the CR for all finger exams?
Where do you place the CR for all thumb exams?
Where do you place the CR for all hand exams?
Where do you put the CR for all wrist projections?
What's the kVp range for finger projections?
What's the kVp range for thumb projections?
The kVp range for most hand projections is ___ - ___ kVp. The two projections that are still 50-60 kVp are ____ and ____
What's the kVp range for wrist projections?
For large plaster casts you ____ technique by __-___ kV.
For fiberglass casts you _____ technique by __-__ kV.
_____ is a procedure that uses contrast injected into a joint capsule to visualize soft tissue pathology
You want to use a ____ focal spot for finger, hand and wrist projections
You want ____ exposure time for finger, hand and wrist projections
For the ulnar deviation projection, the CR should be angled ___ - ___ degrees ______ .
Which projection/position demonstrates Rheumatoid Arthritis?
Which projection/position demonstrates Carpal Tunnel Syndrome?
Which projection/position demonstrates injuries to the Ulnar Collateral Ligament?
Why is the AP projection preferred for the thumb instead of the PA?
Modified Robert's
Stecher Method
or
Navicular View
Modified Stecher
Norgaard
or
Ball-Catcher's Method
Gaynor-Hart Method
Folio-Method
Hide known cards