|
|
Creado por LopezFelipe93
hace más de 10 años
|
|
PARESIA DE MUCULOS OCULOMOTORES
MUSCULOS OCULOMOTORES
Reducción de la fisura palpebral.
Relacionado con miastenia grave.
Paciente no consigue cerrar los párpados por completo.
Desplazamiento hacia dentro del margen palpebral.
Abrasiones a la cornea y al globo ocular
Desplazamiento hacia fuera del margen palpebral.
Relación con envejecimiento.
Benigno.
Bien diferenciadas con pelos en su seno.
Reacción granulomatosa, glándula de Meibomio.
No dolorosa
Pigmentación orbitaria
Sangre extravasada
Deposito de lipidos en piel periorbitaria.
Alteraciones de los lipidos
Absceso localizado en el folículo de una pestaña.
Infección por estafilococos.
Inflamación cronica de márgenes palpebrales.
Hipertiroidismo
Hiperplasia de glándula lagrimal
Proptosis
Inflamación de vías lagrimales inferiores
Obstrucción del conducto lagrimal.
Ruptura de un pequeño vaso conjuntival.
No tratamiento, se resuelve en 1-2 semanas.
Presencia de liquido en el espacio subconjuntival
Neoformación nodular benigna
En el limbo, no alcanza la cornea
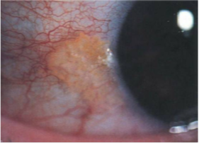
Neoformación más vascular
Alcanza la cornea, sobrepasa la unión esclerocorneal.
Anillo blanquesino en perimetro corneal.
Normal en mayores de 40
Enfermedad de Wilson
Metabolismo del cobre
Inflamación subconjuntival no infecciosa
Indolora
Pus en la camara anterior
Bilateral, asimetrico.
Fallo en la fusión del tejido embrionario
Precipitados queratinicos, iris embarrado
Pus en la cámara anterior
Sangre en la cámara anterior
Reducción del espacio entre el iris y la cornea?
ALTERACIONES DE LA PUPILA
Ocultar las fichas que te sabes