|
|
Creado por Mario Solis Bermudez
hace alrededor de 10 años
|
|
Glándulas gástricas de la mucosa del cuerpo
y fondo del estómago. Las células parietales, con
citoplasma eosinófilo (teñido en rojo), y las cé lulas
principales. con citoplasma basófilo (teñido en azul),
son ejemplos característicos del aspecto general que
ofrecen las células cuando las secciones histológicas
son teñidas con hematoxilina y eosina
Célula de Purkinje del cerebelo. Ejemplo de polimorfismo celular
Esta imagen del estrato córneo del epitelio
plano poliestratificado del esófago nos permite distinguir con nitidez los límites celulares.
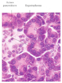
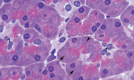
Las células de las glándulas acinares del
páncreas exocrino muestran abundante basofilia
en el citoplasma basal debido a la presencia de un
ergastoplasma (ribosomas libres y retículo endoplasmático rugoso ) muy desarrollado a este nivel.
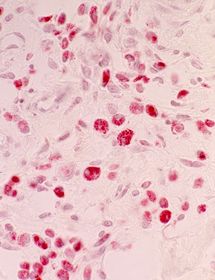
Células plasmáticas en la lámina propia
del intestino delgado. Las zonas claras del citoplasma
que se observan en la proximidad del núcleo
en algunas de estas células constituyen la zona denominada
"Golgi negativa". Esta imagen es debida
al contraste que ofrece el complejo de Golgi. que no
es teñido con el restante citoplasma intensamente
basófilo
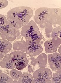
El citoplasma apical de las células glandulares de los acinos del páncreas exocrino contiene numerosos gránulos de secreción (puntos morados) que son expulsados a la luz glandular.
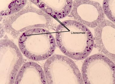
Lisosomas en túbulos contorneados proximales del riñón. Estos orgánulos son muy abundantes y adquieren un gran tamaño en estas células .
Material incluido en Epon y teñido con azul de metileno.
Los gránulos de glucógeno de estas células hepáticas aparecen teñidos en rojo brillante con
el carmín de litio
Acumulo de células adiposas de configuración unilocular. El contenido en lipidos de estas células ha sido bien preservado mediante la realización de cortes en el microentorno de congelación. El
contenido lipídico se ha puesto de manifiesto mediante la tinción con rojo sudan y el contraste con verde luz
Gránulos de melanina en el epitelio posterior del iris y en melanocitos del conjuntivo subyacente.
Epitelio anterior de la córnea. En el estrato basal se observa el aspecto característico de células en división mitótica.
Células de la punta de la raíz de una semilla
de guisante en germinación. La célula situada
en el centro de la imagen muestra un típico huso mitótico en metafase con su característica placa ecuatorial.
Células de punta de raíz de cebolla mostrando una célula en metafase .
Células de punta de raíz de cebolla mostrando una célula en telofase
Epitelio cúbico simple de los folículos del tiroides.
Epitelio cilíndrico simple de los conductos eferentes del epidídimo. La mayoría de las células epiteliales muestran cilios en la superficie en contacto con la luz
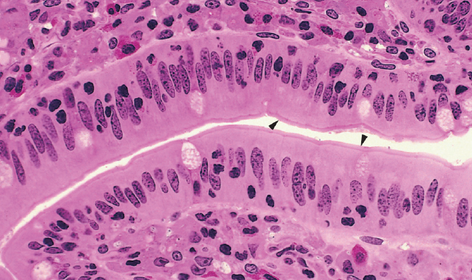
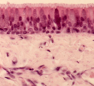
Epitelio cilíndrico pseudoestratificado ciliada de la mucosa traqueal
Epitelio plano estratificado no queratinizado de la córnea (epitelio corneal anterior).
Epitelio plano estratificado queratinizado
(epidermis) de la piel. El espesor de la capa de queratina es notable
Epitelio de transición de la mucosa de la
vejiga urinaria.
Parte de porciones secretoras de una glándula
sudorípara apocrina de la axila. Las protrusiones
celulares que son expulsadas hacia la luz glandular, fácilmente observadas en la microscopía
óptica , hacen que a este tipo de secreción se le denomine
apocrina . por considerar que hay aparentemente
una pérdida parcial del citoplasma celular
Células caliciformes de la mucosa del intestino delgado. La célula caliciforme de la izquierda
se encuentra en el momento de vaciado de
su contenido de mucina. que se extiende a lo largo
de la superficie luminal del epitelio.
Epitelio de revestimiento de la mucosa gástrica. El corte histológico ha sido teñido con la
técnica de PAS observándose que lodo el epitelio es secretor de mucina. Junto con el epitelio de revestimiento
del exocérvix . constituye el único ejemplo en
el cuerpo humano de un epitelio de revestimiento
formado exclusivamente por células secretoras.
Glándulas tubulares simples (criptas de
Lieberkühn) de la mucosa del intestino grueso
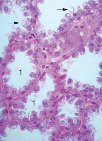
Alvéolos de la glándula prostática mostrando
el aspecto de las glándulas alveolares
Glándula submaxilar mostrando numerosos
acinos mixtos (seromucosos). Las células serosas
forman semilunas alrededor de los acinos mucosos
(medias lunas de Von Ebner).
Glándula parótida mostrando dos tipos de conductos intralobulillares: el conducto intercalar y el conducto estriado
La parte inicial de la hipófisis constituye un ejemplo característico de glándula endocrina.
El producto de secreción (hormonas) se almacena en
gránulos de secreción intracelulares. Las células secretoras se disponen formando cordones o acúmulos.
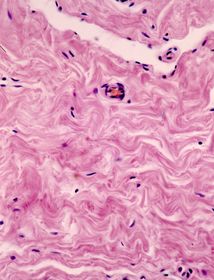
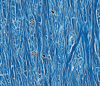
Tejido conjuntivo denso no ordenado de la glándula mamaria. Se observa el aspecto característico ondulante de los haces de fibras colágenas
Tabique de tejido conjuntivo en la glándula parótida mostrando las fibras colágenas teñidas en rojo con el tricrómico de Van Gieson
Membrana basal de túbulos contorneados del riñón
Pared de una arteria muscular. Se observan la lámina elástica interna (que es una membrana elástica) y las fibras elásticas de las túnicas muscular
y adventicia mediante la tinción con orceína .
Tejido conjuntivo primitivo. mesénquima
en un feto . Se aprecian el aspecto estrellado de las células mcscnquimatosas y la distribución laxa del tejido
El tejido adiposo ordinario (blanco) está formado por células adiposas uniloculares sostenidas por fibras reticulares. El Lípido ha desaparecido
durante la preparación del material y los adipocitos aparecen vacíos. con tan sólo un fino borde citoplásmico .
Tejido adiposo pardo de la región interescapular de la rata . Las células adiposas son multiloculares
Macrófagos de un tejido conjuntivo laxo.
que ha sido teñido supravitalmente mediante la adición de carmín de litio a una preparación de tejido vivo
Células cebadas en el tejido conjuntivo
denso de la gIándula mamaria
Glándula mamaria mostrando un tabique interlobulillar, constituido por tejido conjuntivo denso y un lobulillo donde los alvéolos quedan rodeados por un tejido conjuntivo laxo
Sección longitudinal de un tendón vista
a mayor aumento. Los fibroblastos aparecen como células casi rectangulares (fibroblastos) con núcleos aplanados.
dispuestos entre los haces de fibras colágenas
Tejido conjuntivo reticular de un ganglio linfático.
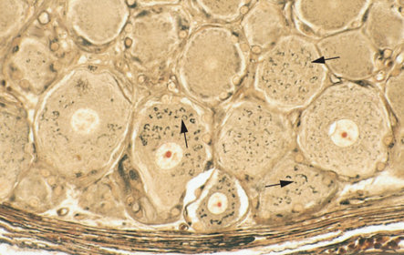
Células de ganglio espinal humano. En el corte los cuerpos celulares (pericariones, 1) aparecen redondeados u ovales; el núcleo claro (→) también es redondeado,
de contorno liso y contiene un nucléolo muy bien teñido. Junto a las células ganglionares están los anficitos
aplanados, que son equivalentes de las células de Schwann de las prolongaciones neuronales. Los núcleos
de los anficitos (= células satélite) son pequeños, redondos u ovales y relativamente oscuros
Epitelio absortivo intestinal humano. El epitelio está compuesto por una capa de células cilíndricas con chapa estriada ( ->); entre estas células hay células caliciformes individuales (con citoplasma claro “espumoso”). En el epitelio se han introducido algunos linfocitos
(núcleos redondeados, teñidos intensamente de rojo negruzco)
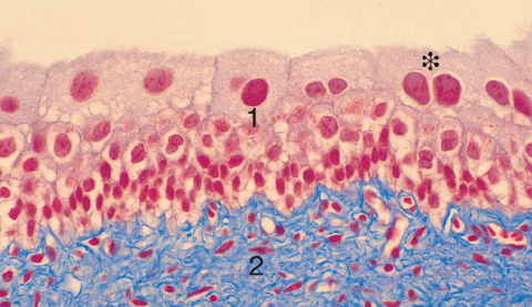
Morfología nuclear en un sector de la pared interna de la vejiga (humana). 1 Epitelio; 2 tejido conjuntivo subepitelial. Obsérvese el tamaño creciente de los núcleos de las células epiteliales muy juntas (desde la base hasta la superficie del epitelio) y los núcleos más pequeños, aplanados y oscuros de los fibrocitos (→) del tejido conjuntivo. Los fibrocitos están separados por matriz del tejido conjuntivo.
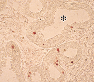
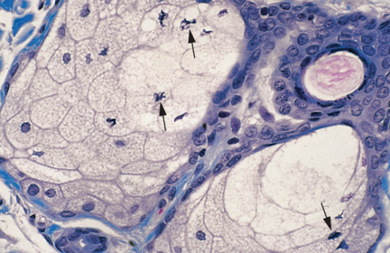
Núcleos celulares en proliferación que reaccionan con el anticuerpo KI67 (tinción parda). Glándulas apocrinas odoríferas (❉), axila humana.
Ergastoplasma. En las células epiteliales del páncreas exocrino y de otras glándulas sintetizadoras de proteínas el citoplasma de la mitad basal es nítidamente basófilo y se tiñe de azulpúrpura (→, ergastoplasma, corresponde a rimeros del retículo endoplasmático rugoso). La región celular apical contiene gránulos de secreción teñidos de rojo. 1 Células centroacinosas. Páncreas humano
Aparato de Golgi en neuronas de ganglio espinal (gato), donde por acción del ácido ósmico aparecen como siluetas negras con forma de corchetes, ganchos y bucles (→).
Detección del glucógeno intracelular en forma de partículas granulares o de grumos pequeños (aquí teñidos de rojo). Células deciduales, útero de una mujer gestante.
Depósito patológico de gotitas de lípidos en los hepatocitos humanos en la lesión hepática alimentaria tóxica
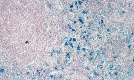
Macrófagos en el bazo humano. Las células contienen hemosiderina (teñida de azul con la técnica del azul de Prusia para la detección de hierro), un pigmento con hierro abundante que proviene de la degradación de la hemoglobina. Los macrófagos están limitados sobre todo en la pulpa roja.
Inclusiones víricas (→) en pericarion de neuronas (ganglio espinal de gato)
Determinación inmunohistoquímica de vimentina (tinción roja) en células de cartílago hialino (bronquio humano)
a) La llamada cromatina sexual (→) corresponde a uno de los dos cromosomas X de la mujer, que también permanece condensado durante la interfase, es decir que es heterocromatina.
Para su identificación se realizan extendidos, por ejemplo de la mucosa yugal, sobre portaobjetos y se tiñen con un colorante específico para el DNA (p. ej., tionina o la leucofucsina de la reacción de Feulgen). La cromatina sexual entonces se reconoce como un corpúsculo muy coloreado y bien definido que en la mayoría de los casos está ubicado justo contra la membrana nuclear
c) En la mitad inferior de la imagen hay dos profases aún tempranas, con nucléolos (→) bien visibles; arriba, una metafase en vista superior.
e) Metafase tardía en vista lateral oblicua que, por lo tanto, no ofrece una imagen ideal de monáster. Sobre todo en la figura mitótica inferior derecha, las dos cromátides hermanas producto de la duplicación idéntica de un cromosoma ya comienzan a separarse (→). Son los cromosomas definitivos de las células hijas futuras.
g) Anafase tardía con un huso central bien visible y extendido entre los polos celulares.
Figuras mitóticas (→) en un preparado histológico de rutina, aquí en dos criptas colónicas, colon humano.
Núcleos celulares en desintegración apoptósica (→) en las células maduras de glándula sebácea humana.
Epitelio simple plano.
Epitelio estratificado plano no queratinizado, conducto anal (humano). 1 Luz; → linfocitos que se han introducido en el epitelio; 2 tejido conjuntivo subepitelial
Epitelio estratificado plano queratinizado, palma de la mano (ser humano), más aumento. 1 Estrato espinoso (en parte, los queratinocitos contienen gránulos de pigmento); 2 estrato granuloso; 3 estrato córneo
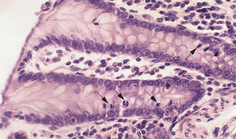
Epitelio simple cilíndrico (1). Intestino delgado (humano). ❉ Células caliciformes llenas de moco; → chapa estriada de las células epiteliales absortivas; 2 tejido conjuntivo (lámina propia) con células musculares lisas de las vellosidades intestinales.
Epitelio seudoestratificado cilíndrico (biseriado) con estereocilios, conducto del epidídimo (humano). 1 Luz del conducto; ❉ núcleos de las células epiteliales cilíndricas diferenciadas; → células basales; estereocilios; 2 tejido conjuntivo subepitelial. Junto a los estereocilios hay espermatozoides individuales (motas ovaladas pequeñas)
Epitelio de transición (1), no distendido. Vejiga, tanrec (Echinops telfairi). ❉ Célula de cubierta binucleada; 2 tejido conjuntivo subepitelial.
Glándulas intraepiteliales multicelulares
(❉). Epitelio de la mucosa nasal (humana). 1 Luz de la cavidad nasal.
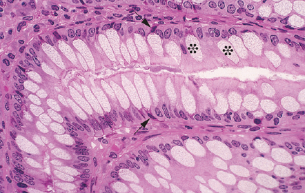
Células caliciformes en el epitelio de la
mucosa del colon (humano). Ejemplo de glándula intraepitelial unicelular. En la tinción con H-E, la secreción mucosa (❉) de las células caliciformes a menudo no se tiñe. Los núcleos de las células caliciformes en su mayoría son oscuros (→). Obsérvese también la chapa estriada obvia de las células absortivas del epitelio
Adenómero alveolar (1). Glándula mamaria en lactación (humana). Obsérvense la luz amplia y el abovedamiento de la superficie apical de las células glandulares (→), que contiene una gotita de lípidos (secreción apocrina).
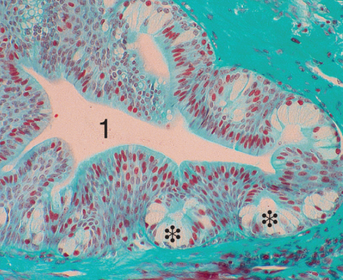
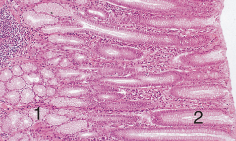
Glándulas tubulares ramificadas sin conducto excretor propio (1). Región pilórica del estómago (humano). Los túbulos glandulares enrollados ocupan la parte inferior de la mucosa y se han seccionado en sentido transversal u oblicuo muchas veces. La parte superior de la mucosa contiene las fovéolas o fositas gástricas (2)
profundas. Estas fovéolas, típicas de todo el epitelio superficial de la mucosa del estómago, están tapizadas por células glandulares cilíndricas altas
Glándula sebácea de la piel axilar (humana). La luz de la glándula alveolar ramificada está llena de células que gradualmente se van transformando en el producto de secreción (mecanismo de secreción holocrino). Obsérvese la transformación de las células desde la periferia hacia el centro de los alvéolos y la desaparición de los núcleos. ❉ Conducto excretor.
Glándulas mucosas (1). Piso de la lengua (humana). 2 Glándulas serosas; 3 tejido muscular de la lengua.
Glándulas de Brunner. Duodeno (humano). Estas glándulas tubulares producen moco.
Fibrocitos (→) en el tejido conjuntivo laxo. Vejiga (humana). 1 Arteriola; 2 vénula.
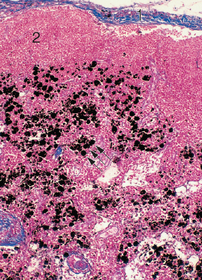
Macrófagos repletos de polvo de carbón
(negros, →) en un ganglio linfático (humano). Los macrófagos aparecen principalmente en la región de la
médula. 1 Cápsula del ganglio linfático; 2 folículo linfático en la corteza.
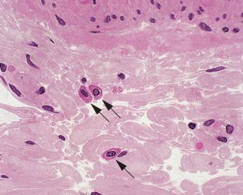
Mastocitos (→) en la submucosa del yeyuno (humano).
Células reticulares formadoras de fibras en la médula de un ganglio linfático (macaco). En el seno medular (❉) se identifican claramente las células reticulares ramificadas (→), con forma estrellada, formadoras de fibras, cuyas prolongaciones envainan fibras reticulares delicadas (= fibras de reticulina). Los núcleos redondeados, oscuros y abundantes pertenecen a linfocitos. 1 Cordón medular con plasmocitos y linfocitos.
Ligamento amarillo (elástico) de la columna vertebral (babuino), corte transversal. Los componentes elásticos bien desarrollados aparecen teñidos de rojo, mientras que las fibras colágenas están teñidas de azul.
Tejido conjuntivo denso no modelado, esclerótica. ❉ Fibras colágenas en corte transversal; → fibras colágenas en corte longitudinal.
Tejido conjuntivo mucoso. Gelatina de Wharton del cordón umbilical (humano). Los fibroblastos (rojizos) aparecen en el fondo, semiocultos por la sustancia intercelular. Esta última está compuesta por la sustancia fundamental amorfa (hialuronano, proteoglucanos, glucoproteínas diversas, etc.; no teñida) y los elementos formes (fibras colágenas, en parte muy onduladas y teñidas de color pardo).
Ocultar las fichas que te sabes