Higado graso no alcoholico

Description

Medicina Mind Map on Higado graso no alcoholico, created by ana lucia chutan morales on 09/15/2016.
ana lucia  chutan morales
Mind Map by ana lucia chutan morales, updated more than 1 year ago
ana lucia  chutan morales
Created by ana lucia chutan morales over 9 years ago
66
0

Resource summary

Higado graso no alcoholico
  1. EPIDEMIOLOGIA
    1. Causa mas frecuente de Hepatopatia cronica 30% de la poblacion
      1. Más del 70% de los sujetos obesos tienen alguna forma de HGNA
    2. ETIOLOGIA
      1. Afectaciones que tienen en comun: higaddo graso y personas que no consumen alcohol en grandes cantidades
        1. Asociado a la obsesidad
          1. Síndrome metabólico, como la dislipidemia, la hiperinsulinemia y la resistencia a la insulina
          2. Incluye la esteatosis hepática, la esteatosis acompañada por inflamación leve e inespecífica y la esteatohepatitis no alcohólica (EHNA).
            1. La EHNA es una afección en la cual la lesión del hepatocito puede evolucionar a cirrosis en el 10-20% de los casos.
              1. CARACTERISTICAS
                1. Balonamiento de los hepatocitos,
                  1. Inflamación lobulillar
                    1. Esteatosis
                      1. Fibrosis
                  2. Denominada cirrosis criptógena, o cirrosis de origen desconocido.
                    1. Contribuye a la progresión de otras hepatopatías como la infección por el VHC (viris de hepatitis C) y el CHC (Carcinoma Hepatocelular)
                    2. PATOGENIA
                      1. Participan factores genéticos y ambientales
                        1. Modelo de 2 ataques que comprende los siguientes pasos:
                          1. 1) Acumulación de grasa en el hígado,
                            1. 2) Estrés oxidativo hepático.
                              1. El estrés oxidativo actúa en los lípidos hepáticos acumulados, dando lugar a la peroxidación lipídica y liberación de peróxidos lipídicos que producen a su vez especies reactivas de oxígeno.
                        2. CARACTERISTICAS CLINICAS
                          1. Asintomaticos
                            1. La presentación clínica está relacionada con otros trastornos metabólicos, como la obesidad, la resistencia a la insulina y la diabetes.
                          2. DIAGNOSTICO
                            1. La biopsia del hígado
                              1. Ayuda a determinar el grado de la esteatosis, la presencia de esteatohepatitis y el grado de fibrosis.
                              2. Concentraciones elevadas de ALT y AST
                              3. SINTOMAS
                                1. Cansancio, y molestias en la zona derecha del abdomen, causadas por la hepatomegalia.
                                2. TRATAMIENTO
                                  1. Revertir la esteatosis y prevenir la cirrosis.
                                    1. Corregir los factores de riesgo subyacentes, como la obesidad y la hiperlipidemia, y tratar la resistencia a la insulina.
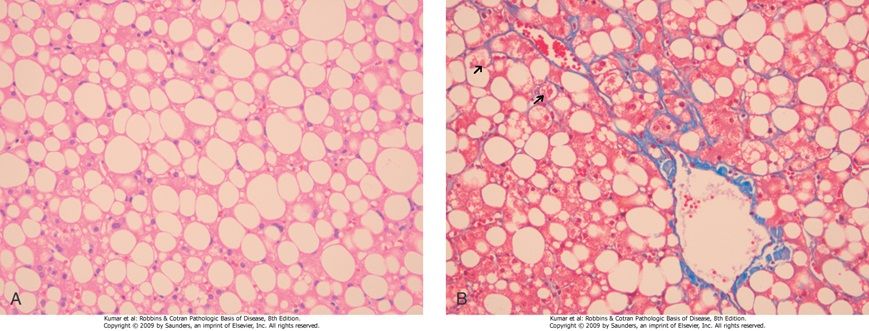
                                  2. MORFOLOGIA
                                    1. La esteatosis afecta entre el 5 y 90% de los heaptocitos
                                      1. Gotas de grasa grandes y pequeñas , predominantemente con triglicéridos, se acumulan dentro de los hepatocitos
                                        1. No se aprecia inflamación hepática, muerte o cicatrización en los hepatocitos, a pesar de la elevación persistente de las enzimas hepáticas en suero.
                                      2. La esteatohepatitis
                                        1. Se obserba esteatosis e inflamación parenquimatosa multifocal, principalmente con neutrófilos, cuerpos de Mallory y muerte de hepatocitos y fibrosis sinusoidal.
                                          1. Aparece fibrosis dentro de los espacios porta y rodeando las vénulas hepáticas terminales
                                            1. Puede aparecer cirrosis,como consecuencia de la progresión de los procesos necroinflamatorios y fIbróticos.
                                      3. Bibliografia: Kumar V, Abbas AK, Fausto N. Robbins y Cotran Patologia Estructural y Funcional 9na Ed. Elsevier Inc.2015
                                        Show full summary Hide full summary

                                        Similar

                                        Definiciones CARDIOLOGÍA
                                        Vivi Riquero
                                        T9. Enfermedades Inflamatorias
                                        Vivi Riquero
                                        Anatomía cabeza
                                        Diego Santos
                                        Fichas para oposiciones de auxiliar de enfermería
                                        leyvamiri
                                        Oftalmología - ENARM
                                        Emilio Alonsooo
                                        Hematología - ENARM
                                        Emilio Alonsooo
                                        Anatomía cabeza
                                        maca.s
                                        Infecciones Quirúrgicas
                                        Exero
                                        FUNDAMENTOS DE LA EMBRIOLOGÍA.
                                        fperezartiles
                                        Tema 15: Características del sistema respiratorio
                                        Marlopcar López
                                        Alergología - Práctica para el ENARM
                                        Emilio Alonsooo