Células precursoras del eritrocito

Descrição

Hematología
Lisa Paredes
FlashCards por Lisa Paredes, atualizado more than 1 year ago
Lisa Paredes
Criado por Lisa Paredes mais de 10 anos atrás
80
0

Resumo de Recurso

Questão Responda
Células precursoras del eritrocito
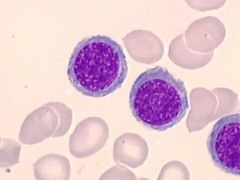
Pronormoblasto Célula redondeada, de unos 15 um de diámetro, con un núcleo grande y claro que contiene dos nucléolos y un citoplasma progresivamente basófilo (Cuellar y Falabella, 2005).
Normoblasto basófilo Esta célula posee un citoplasma basófilo y un núcleo de menor tamaño (comparado con su predecesora) y con una cantidad mayor de heterocromatina (Rodak, 2005).
Normoblasto Policromatófilo Estas células son más pequeñas, con un núcleo basófilo y con cromatina muy condensada. Posee más heterocromatina y en su citoplasma la cantidad de hemoglobina es mayor, por ello se observa ligeramente acidófilo (Rodak, 2005)
Normoblasto ortocromático El citoplasma de esta célula tiene más hemoglobina, lo que indica una eosinofília progresiva. El núcleo se reduce (picnótico) y se torna cada vez más denso (Rodak, 2005).
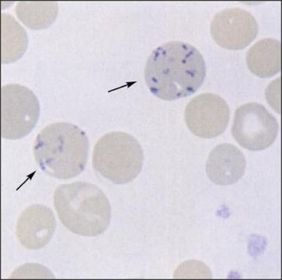
Reticulocito Todo el citoplasma se llena de hemoglobina por lo que la célula presenta acidofília y el núcleo finalmente se expulsa. Sin embargo aun mantiene aglomeraciones de ribosomas (Cuellar y Falabella, 2005).
Eritrocito Célula madura anucleada carente de organelas, de carácter eosinófilo y con forma de disco bicóncavo. (Cuellar y Falabella, 2005).
Referencias bibliográficas Cuellar, F. y Falabella, F. (2005) Hematología: fundamentos de medicina. España: Corporación para investigaciones biológicas. Rodak, B. (2005) Hematología: fundamentos y aplicaciones clínicas. Argentina: editorial Médica Panamericana. Imágenes recuperadas de: http://www.telmeds.org/atlas/hematologia/