null
US
Entrar
Registre-se gratuitamente
Registre-se
Remover anúncios
Detectamos que o JavaScript não está habilitado no teu navegador. Habilite o Javascript para o funcionamento correto do nosso site. Por favor, leia os
Termos e Condições
para mais informações.
Info
Classificações
Comentários
FlashCards
por
Inma QM
, criado
more than 1 year ago
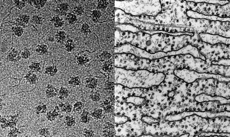
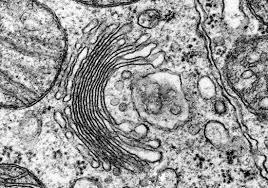
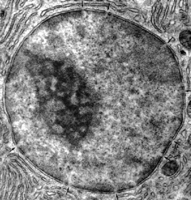
Se representa una serie de fichas con imágenes de los orgánulos celulares a microscopio electrónico
Pin adicionado em
23758
2
0
Revisão do GoConqr
Conjunto de fichas didácticas con imágenes de los orgánulos celulares a microscopio electrónico.
Sem etiquetas
orgánulos celulares
2º bachillerato
la célula
microcopio electrónico
biología y geología
4º de eso
Criado por
Inma QM
aproximadamente 9 anos atrás
Fechar
8424301
flash_card_deck
2018-09-23T20:01:58Z
false
Carregando seus resultados
Como esta é uma visualização, os seus resultados não serão apresentados neste momento.
Reiniciar visualização
/
11
Parabéns! Você acertou todas!
Por favor, aguarde! Carregando...
Ocultar acertos
Você deve estar logado para concluir esta ação!
Inscreva-se gratuitamente