Preguntas con contexto. elaborado por Dr. Fdez

Description

PATOLOGIA ESPECIAL
pfernandezglafaye
Quiz by pfernandezglafaye, updated more than 1 year ago
pfernandezglafaye
Created by pfernandezglafaye over 10 years ago
266
0

Resource summary

Question 1

Question
Varón 38 años de edad que va a la consulta por presentar un nódulo en región cervical anterior dependiente de la glándula tiroides. Sus pruebas funcionales eran normales T3,T4 y TSH y la gammagrafía con I131 mostro un nódulo frio y se realizó una biopsia con aguja fina PAAF ¿Cuál de las siguientes características de la exploración física es el indicador más fiable de malignidad?:
Answer
  • Adenopatías cervicales.
  • Consistencia firme.
  • Irregularidad.
  • Fijación a estructuras adyacentes.
  • Gran tamaño.

Question 2

Question
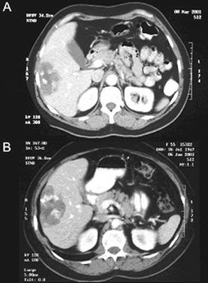
¿Cuál de los siguientes enunciados es correcto con respecto a los hemangiomas hepáticos?
Answer
  • Se asocia al síndrome de Kasabach-Merritt (trombopenia y coagulopatía de consumo), especialmente los hemangiomas gigantes.
  • Indicar la exéresis quirúrgica desde el momento en que se diagnostique si su diámetro es mayor de 3cm
  • La opción terapéutica más recomendable para este tipo de tumor es la embolización percutánea.
  • El mejor método para su confirmación diagnóstica es la biopsia percutánea de la lesión hepática.
  • La RM hepática no suele ofrecer mucha ayuda para su caracterización diagnóstica.

Question 3

Question
A un paciente con colitis ulcerosa con afectación hasta el colon transverso se le realiza una colonoscopia de cribado de cáncer colorrectal. La colonoscopia no muestra signos de actividad inflamatoria. Se realizaron múltiples biopsias cada 10cm. Las biopsias fueron revisadas por 2 patólogos expertos demostrando un foco de displasia de alto grado en una de las biopsias realizadas en el colon sigmoide. ¿Qué indicaría a continuación?
Answer
  • Repetir la colonoscopia para confirmar el diagnóstico.
  • Vigilancia intensiva con colonoscopia cada 3-6 meses.
  • Repetir la exploración y realizar una cromoendoscopia para identificar la lesión .
  • Proctocolectomía total.
  • Tratamiento con mesalazina a dosis de 2-3 gramos al día y repetir la exploración a los 3 a 6 meses.

Question 4

Question
Respecto a la enfermedad por reflujo gastroesofágico, ¿cuál de los siguientes enunciados es cierto?
Answer
  • La intensidad y frecuencia de pirosis tiene poca relación con la presencia y gravedad y de la esofagitis endoscópica.
  • La mayoría de los pacientes con enfermedad por reflujo gastroesofágico presentan esofagitis en la endoscopia.
  • El tratamiento con inhibidores de la bomba de protones suele conseguir un buen control de los síntomas pero no es superior a placebo en la curación endoscópica de la esofagitis.
  • El esófago de Barrett puede progresar a displasia epitelial de bajo grado, displasia epitelial de alto grado y finalmente a carcinoma escamoso de esófago.
  • Los programas endoscópicos de cribado y vigilancia han demostrado de forma inequívoca ser capaces de reducir la mortalidad en pacientes con esófago de Barrett.

Question 5

Question
Un paciente ingresa con el diagnóstico de hemorragia digestiva alta en situación hemodinámica estable. Se practica una gastroscopia que informa: «Lesión ulcerada en cara posterior de bulbo duodenal con hemorragia activa no pulsátil. Forrest Ib. Se practica esclerosis endoscópica con adrenalina consiguiéndose hemostasia». Señala la afirmación correcta:
Answer
  • La lesión descrita tiene un riesgo bajo de recidiva hemorrágica.
  • En caso de recidiva hemorrágica es imprescindible la intervención quirúrgica.
  • Por la localización de la lesión puede estar afectada la arteria gastroduodenal.
  • La descripción y localización de la úlcera sugieren una lesión de Dieulafoy.
  • En caso de intervención quirúrgica es obligatoria la práctica de una vagotomía troncular.

Question 6

Question
Un hombre de 25 años consulta por ictericia. Practica el culturismo y se ha inyectado esteroides anabolizantes sustitutos del 17 alfa-alquil, tres semanas antes. Por una amigdalitis había tomado amoxicilina-clavulánico que retiró hace 15 días. Analítica: AST 1200 UI/L (límite superior normal, lsn 40), ALT 1300 UI/L (lsn 40), GGT 150 UI/L (lsn 50), fosfatasa alcalina 180 UI/L (lsn 105), bilirrubina total 4,8 mg/dL con predominio de bilirrubina directa. Serología de virus B: AntiHBs y AntiHBc positivos. La ecografía sugiere esteatosis grado I. ¿Cuál es el diagnóstico más probable?
Answer
  • Hepatitis por amoxicilina-clavulánico.
  • Hepatitis por esteroides anabólicos.
  • Hepatitis aguda por virus B.
  • Esteatohepatitis no alcohólica.
  • Colestasis por fármacos.

Question 7

Question
Hombre de 66 años de edad, diagnosticado previamente de cirrosis hepática de etiología alcohólica, que es traído al servicio de Urgencias por aumento del perímetro abdominal y desorientación temporoespacial. En la exploración física se constata la existencia de ascitis y de flapping tremor o asterixis. ¿Cuál de las siguientes exploraciones debe realizarse con carácter urgente?
Answer
  • Una tomografía computarizada craneal para descartar un accidente cerebro-vascular.
  • Una ecografía abdominal para confirmar la presencia de ascitis.
  • Una paracentesis exploradora para descartar una peritonitis bacteriana espontánea.
  • Un electroencefalograma para confirmar la existencia de encefalopatía hepática.
  • Una tomografía computarizada abdominal para descartar un carcinoma hepatocelular.

Question 8

Question
En relación con los tumores mucinosos papilares intraductales de páncreas, señalar el enunciado INCORRECTO:
Answer
  • Son tumores potencialmente malignos.
  • B. Su frecuencia se ha incrementado notablemente en la última década.
  • Se distinguen tres subtipos: de conducto principal, de conducto secundario y mixto.
  • Deben ser extirpados tan pronto como se diagnostiquen, excepto la variedad de conducto principal.
  • Su primera manifestación clínica puede ser un cuadro de pancreatitis aguda.

Question 9

Question
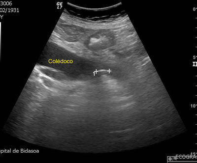
Una mujer de 49 años acude de Urgencias por presentar tiritona, fiebre de 39ºC, dolor en hipocondrio derecho, ictericia y vómitos. La exploración revela TA 100/50 mmHg, FC 110lpm. Postración y dolor a la palpación en cuadrante derecho, con Murphy positivo. La analítica muestra leucocitosis con desviación izquierda y la ecografía abdominal, colelitiasis, coledocolitiasis y dilatación de la vía biliar extrahepática. Se inicia tratamiento empírico con antibiótico y fluidoterapia. ¿Cuál es el procedimiento más eficaz para realizar a continuación?
Answer
  • Tratamiento antibiótico y medidas de soporte con colecistectomía.
  • Colecistectomía laparoscópica.
  • Colocación de un drenaje biliar externo.
  • Colecistectomía urgente con canulación del colédoco.
  • Colangiopancreatografía retrógrada endoscópica con esfinterotomía.

Question 10

Question
Un paciente acude a consulta por malestar general y coloración amarillenta de la piel y su médico sospecha que se trata de un cuadro de hepatitis A. ¿Cuál de las siguientes respuestas constituye el factor que de forma más exacta y segura permite determinar la probabilidad preprueba (antes de realizar ningún estudio) de que se trate de dicho cuadro?
Answer
  • Intensidad de la ictericia.
  • Frecuencia de la hepatitis A en el entorno.
  • Días de duración del cuadro.
  • Experiencia del profesional sobre cuadro de ictericia.
  • Enfermedades previas del paciente.

Question 11

Question
Patología de la piel Las siguientes definiciones son correctas:
Answer
  • Nódulo es una lesión elevada de menos de 5 mm de diámetro.
  • Vesícula es una ampolla de menos de 5 mm de diámetro.
  • Macular alude a una lesión elevada con alteración del color de la piel.
  • Pústula es una ampolla que contiene líquido claro.
Show full summary Hide full summary

Similar

HEMORRAGIAS - OBST PATOLOGICA
María José Alvarez Gazzano
How well do you know GoConqr?
Sarah Egan
MAPA CONCEPTUAL SISTEMA ENDOCRINO
david arroyo
Reanimación Cardiopulmonar (RCP)
Aleidys Lizbeth Beltrán Medina
Mapa conceptual Cartílago y hueso
Valentina Alvarez
Mapa Conceptual Sobre El Cáncer de Ovario
Marcos Ramos
mapa de genetica 4
Joel Balseca
mapa genetica 5
Joel Balseca
Hemisferios cerebrales
Jason Camisan
Las Metas Internacionales para la seguridad del paciente
Vic Ro
caso clínico 2
Karen Velazquez