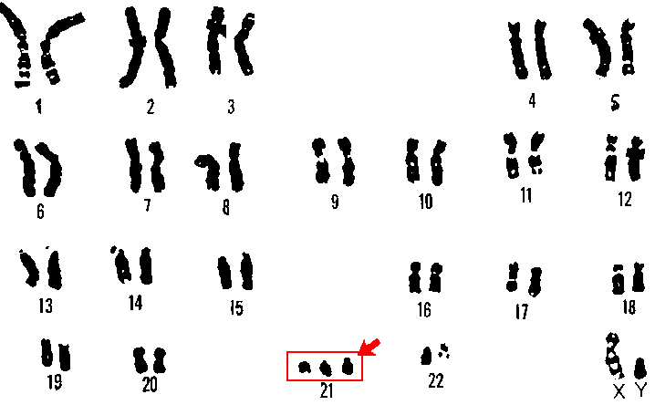
S.Down

Description

Note on S.Down, created by Maria de Gomez on 09/11/2013.
Maria de Gomez
Note by Maria de Gomez, updated more than 1 year ago
Maria de Gomez
Created by Maria de Gomez over 12 years ago
241
0

Resource summary

Page 1

 Características:      Retardo de crecimiento      Retardo mental de diverso grado      Anomalías craneofaciales      Epicanto     Cara aplanada y orejas pequeñas     Defectos cardiacos     Hipotonía

Nueva Página

Show full summary Hide full summary

Similar