|
|
Created by NESTOR ULISES RODRIGUEZ LOPEZ
over 9 years ago
|
|
ETIOLOGIA - M TUBERCULOSISHISTORIA NATURAL- EXPOSICIÓN: Replicación bacteriana lenta de 14- 21 dias INFECCIÓN: Macrofagos alveolares no son capaces de contener y eliminar al bacilo en un primer momento. Se produce replicación. La expresión radiologica "Complejo Pirmario de Ghon". Puede permanecer latente, meses, años o durante toda la vida. ENFERMEDAD: Tuberculosis activa microorganismos latentes se reactivan, coincidiendo con una disminución de las defensas inmunologicas (VIH principal Factor de Riesgo)
DIAGNOSTICO PRUEBA DE LA TUBERCULINA (INTRADERMOREACCIÓN DE MANTOUX) El principal sistema defensivo contra M Tuberculosis esta constituido por la inmunidad celular especifica (mediada por linfocitos T) que se pone de manifiesto en la prueba de reactividad cutanea a la tuberculina.Se considera positiva con mas de 5 mm de induración a las 48-72 hrs en las siguientes circunstancias Contacto estrecho con un caso de TB activa Coinfección con VIH Otras condiciones de inmunocompromiso Uso de corticoesteroides sistemicos Historia de transplante de organos o de otra terapia inmunosupresora Cambios fibrosos en la rx sugestivos de TB inactiva Rx o hallazgos clinicos de TB activa *SE CONSIDERA POSITIVA CON MAS DE 10 mm O MAS SOSPECHA DE TB ACTIVA, CUANDO NO REUNE LAS CARACTERISTICAS ANTERIORESTECNICAS MICROBIOLOGICAS DIRECTASEl dx definitivo pasa por la demostración de M. Tuberculosis en alguna muestra biologica del paciente tras su cultivo en medios especificos (Lowenstein-Jensen o Middlebrook)
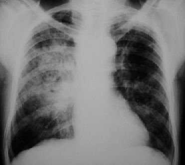
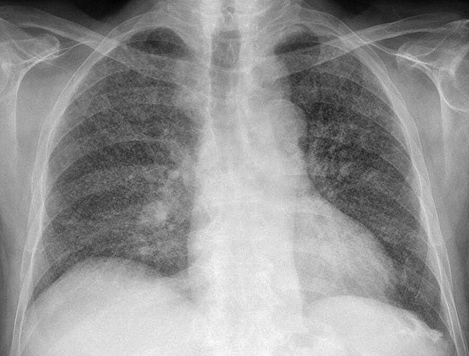
MANIFESTACIONES CLINICASNeumonia Tuberculosa: Primoinfección gralmente asintomatica o paucisintomatica Afecta fundamentalmente a lobulos medios o inferiores Se acompaña de adenopatias hiliares Forma de predominio en la infancia PLEURITIS TUBERCULOSA puede ser la manifestacion de una primoinfección Reactivación Tuberculosa Fundamentalmente segmentos apicales y posteriores de los lobulos superiores CAVITACIÓN Clinica insidiosa: Febricula, malestar general, pérdida de peso, sudoración nocturna, tos persistente y expectoración en ocasiones hemoptoica Dx baciloscopia
TUBERCULOSIS MILIAR O DISEMINADA Se produce por diseminación hematogena en personas con alteración grave del sistema inmune Mas fcte en ancianos Patognomonico tuberculos en la coroides, pero poco fcte Rx de torax Patrón micronodular tipico en grano de mijo
TUBERCULOSIS EXTRAPULMONAREn 3 contextos : en el seno de una tuberculosis miliar -simultanea a una reactivación pulmonar-ausencia de enfermedad pulmonar activa MENINGITIS TUBERCULOSA: Subaguda o cronica, afecta base encefalica y pares craneales (oculomotores) tx antitb + esteroides TUBERCULOSIS GENITOURINARIA: Por diseminación hematogena se produce infección renal. Localización extrapulmonar mas fcte excluyendo lka ganglionar, piuria y hematuria OSTEOMIELITIS TUBERCULOSA: Fundamentalmente afecta columna dorsal (MAL DE POTT) destrucción de cuerpos vertebrales, con dolor y cifosis. Afecta fundamentalmente grandes articulaciones de carga como cadera y rodillas. ADENITIS TUBERCULOSA: FORMA MAS FCTE mas habitual en niños y adultos coinfectados por el VIH. Localizada fundamentalmente en el cuello (escrofula) o en forma de adenopatias gralizadas.
TRATAMIENTOHRZE primeros 2 mesesHR 4 MESES COMPLETAR 6 MESES12 MESES EN EXTRAPULMONAR9 MESES PACIENTES CON VIHH ISONIACIDA EA HEPATOTOXI NEUROPATIA PERIFR RIFAMPICINA EA HEPATOTOX NEFROTOX TINCION ANARANJADAZ PIRAZINAMIDA EA HIPERURICEMIAE ETAMBUTOL EANEURITIS OPTICA NEUROPATIA PERIFS ESTREPTOMICINA CAT D Z PIRAZINAMIDA CAT C
TRATAMIENTO DE INFECCIÓN LATENTE. VACUNACIÓN PAUTA HABITUAL ADMON DE H DURANTE 6 MESES + VIT B6 PARA EVITAR NEUROPATIA PERIFERICAINDICACIONES ABSOLUTAS Conversores recientes (+ de la tuberculina a lo largo de los ultimos 2 años) infectados por VIH CON TUBERCULINA + ASI COMO CON TUBERCULINA - PERO QUE HAYAN ESTADO EXPUESTOS CON PACIENTES portadores de lesiones fibroticas estables en la rx de torax con prubea de tuberculina+ Paciente en lisya de espera de transplante Contactos con pacientes baciliferos en México esta normado qmpx durante 6 meses a contactos menores de 5 años , contactos no vacunados con BCG y a contactos de 15 o mas con VIH
TUBERCULOSIS MULTIRRESISTENTEFR-Exposición a un caso conocido de TB multirresistente-Historia de tratamiento previos- Fracaso a tx primario-Fracaso del tx en el sector privado-Pacientes que persisten con baciloscopia positiva al segundo o tercer mes de tx-Recaida y regreso despues del incumplimiento terapeutico -Exposición en instituciones donde hay brotes o alta prevalencia de TBC resistente-Residencia en zonas de alta prevalencia de TB multirresistente-Antecedente de uso de farmacos antituberculosos de calidad deficienite o desconocidaalgunos casos de vih
Want to create your own Notes for free with GoConqr? Learn more.