Week 2

Beschreibung

Anatomy and Histology Quiz am Week 2, erstellt von Emily Hutton am 31/05/2017.
Emily Hutton
Quiz von Emily Hutton, aktualisiert more than 1 year ago
Emily Hutton
Erstellt von Emily Hutton vor mehr als 8 Jahre
19
1

Zusammenfassung der Ressource

Frage 1

Frage
Identify the INCORRECT statement:
Antworten
  • Epithelia are classified according to the number of cell layers
  • Epithelia are strengthened by connective tissue fibres between epithelial cells
  • Epithelia are separated from underlying connective tissue by a basal lamina
  • Epithelia are classified according to the shape of the outermost cell layer
  • Only stratified epithelia contain two or more rows of cell nuclei

Frage 2

Frage
Choose the one CORRECT answer. Meibomian (or tarsal) glands:
Antworten
  • Are endocrine glands
  • Are classified as connective tissue
  • Feature holocrine secretion
  • Feature slow cell turnover
  • Are modified sweat glands

Frage 3

Frage
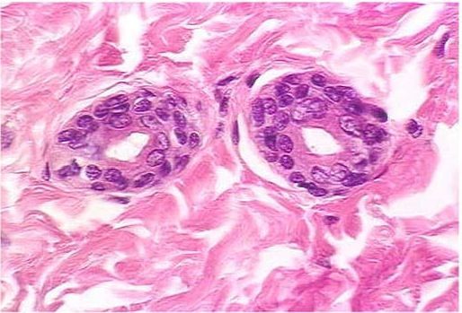
The epithelium seen in these ducts would be classified as:
Antworten
  • Stratified cuboidal
  • Simple columnar
  • Simple squamous
  • Pseudostratified columnar
  • Keratinised stratified squamous

Frage 4

Frage
Bone is removed by:
Antworten
  • Osteoblasts
  • Osteoclasts
  • Fibroblasts
  • Fibrocytes
  • Osteocytes

Frage 5

Frage
Elastin:
Antworten
  • Is composed of proteoglycans
  • Is produced by elastoplasts
  • Can be seen in the light microscope with H&E staining
  • Has high tensile strength
  • Allows tissues to stretch and contract

Frage 6

Frage
In relation to the nose, the ear lies:
Antworten
  • Parasagittal
  • Ventromedial
  • Superomarginal
  • Posterolateral
  • Craniocaudal

Frage 7

Frage
Identify the INCORRECT answer. The tarsal conjunctival epithelium:
Antworten
  • Sits on top of an acellular basal lamina
  • Contains many goblet cells
  • Is a keratinised stratified columnar epithelium
  • Contains nerve endings
  • Is held together by desmosomes

Frage 8

Frage
The resolution of the light microscope is about:
Antworten
  • 0.002 m
  • 0.2 mm
  • 2.0 µm
  • 2.0 nm
  • 0.2 µm

Frage 9

Frage
Identify the CORRECT statement.
Antworten
  • Tendons contain substantial amounts of collagen fibres
  • Tendons are a form of dense irregular connective tissue
  • Tendons contain substantial amounts of microtubules
  • Tendons are avascular
  • Tendons contain substantial amounts of elastic fibres

Frage 10

Frage
Identify the INCORRECT answer. Tight junctions:
Antworten
  • Are involved in maintenance of the blood-retinal barrier
  • Are found only between epithelial (incl. endothelial) cells
  • Are continuous belts of interlocking junctional proteins around the circumference of epithelial cells
  • Control the permeability of epithelia
  • Allow the movent of ions and small molecules between adjoining cells

Frage 11

Frage
Identify the INCORRECT statement. Dense regular connective tissue:
Antworten
  • Is found in ligaments
  • Is found in the dermis of the skin Correct
  • Contains fibroblasts
  • Resists stretch in a single plane
  • Is found in tendons
Zusammenfassung anzeigen Zusammenfassung ausblenden

ähnlicher Inhalt

Physiology of Vision
Matthew Coulson
Vocabulario Esencial Semana 2
Maddie McIntyre
Deviant Behavior Study Guide 2
aramon1982
Tyler Chandler - Core Values
tchandler
W2 Vocabulary
Angela Tuhua-Walker
Week 2 Study Guide
vbradley
Vocab Week 2
david.dtjg2001
Week 2
ashleylim90
Sensory Receptors
Hannah W
How to Brief a Case
madison_dean