|
|
Creado por Mario Solis Bermudez
hace alrededor de 10 años
|
|
Neurona de la corteza cerebral
Célula de Purkinje de la corteza del cerebelo, mostrando un árbol dendrítico extraordinariamente
ramificado.
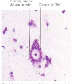
Neurona motora del asta anterior de la médula espinal. El aspecto de los cuerpos de Nissl en estas neuronas es de gruesos gránulos.
Neurona multipolar de bulbo raquídeo. La
tinción de Cajal permite la observación de numerosas
neurofibrillas en el cuerpo celular y en las prolongaciones citoplásmicas
Astrocitos y pies "chupadores" perivasculares
Sustancia blanca mostrando Oligodendrocitos
Sección transversal de un nervio periférico. Las vainas de mielina de las fibras nerviosas
mielínicas se han teñido con osmio, y aparecen como
anillos negros rodeando los axones que quedan sin
teñir. La variación del calibre de las fibras es notable.
Fibra nerviosa mielínica que ha sido aislada
de un nervio. Se observa
un nódulo de Ranvier y cisuras de Schmidt Lantermann.
Sección longitudinal de un nervio periférico de pequeño calibre
Ganglio espinal
Ganglio nervioso autónomo parasimpático localizado en la pared del intestino (plexo
submucoso de Meissner).
Corpúsculo sensitivo simple del labio.
Corpúsculo de Pacini de la piel de un dedo.
Sección sagital del vermis del cerebelo,
Sección de la corteza de un hemisferio
cerebral.
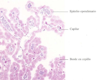
Plexo coroideo
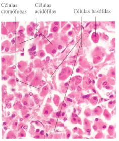
Vista a mayor aumento de la parte distal
de la hipófisis mos tran do la distinción entre células basófilas, acidófilas y cromófobas
Sección histológica de la parte distal de
la hipófisis reñida con PAS y naranja G. Las células teñidas en naranja son las células acidófilas, mientras que las PAS positivas son las basófilas
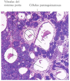
Sección horizontal de la parte tuberal de
la hipófisis. Se observan numerosas vénulas del sistema porta hipofisario seccionadas transversalmente.
Entre ellas se encuentran las células que constituyen el parénquima de esta porción de la glándula.
Sección sagital completa de la glándula
pineal o epífisis.
Parte de la glándula pineal teñida específicamente para la demostración de fibras nerviosas.
Glándula tiroides
Tiroides teñido con el método de PAS.
El contenido de los folículos (coloide ) es una glucoproteína que aparece intensamente teñida
Demostración inmunohistoquímica de
las células C de la glándula tiroidea (Naranja en medio y folículos tiroideos espacios en blanco)
Glándula paratiroides vista a mayor
aumento mostrando un grupo de células oxífilas
Sección a nivel de la zona glomerular
de la glándula suprarrenal.
Sección a nivel de la zona reticular de
la glándula suprarrenal
Córnea
Sección meridional a nivel del limbo del
ojo. Se observa el ángulo iridocorneal y el entramado
trabecular.
Sección meridional del cuerpo ciliar.
Sección meridional del iris
Vista a gran aumento de la porción anterior
del iris. Obsérvese que la capa limitante anterior
está formada por un a delgada capa de fibroblastos aplanados, bajo la que se encuentran
melanocitos.
Vista a gran aumento de una sección meridional de la retina
Parte del cristalino mostrando su constitución
celular: células cúbicas que forman el epitelio anterior y células alargadas que configuran el
resto del cristalino.
Glándula lagrimal. Es una glándula acinar, de aspecto similar al de las glándulas salivales. La secreción es principalmente serosa, aunque hay algunas células secretoras de moco en los conductos.
Sección de la cóclea del oído interno de
un cobaya. El conducto coclear aparece seccionado
transversalmente varias veces
Vista a gran aumento del epitelio receptor
especializado de la cresta amputar. Se observan
la cúpula y los denominados " pelos sensoriales" de las células sensitivas
Sección transversal de la cóclea mostrando
sus tres compartimentos. En el compartimento
central se encuentra el conducto coclear que contiene
el órgano de Corti.
Sección sagital del labio. En el prolabio (parte roja del labio) las papilas dérmicas de la piel están muy desarrolladas.
Sección de la superficie dorsal de la parte bucal de la lengua mostrando una papila caliciforme
Corpúsculo gustativo de la lengua observado
a gran aumento
Glándula salivar parótida observada a
pocos aumentos. Se observa la compartimentación en lobulillos característicos de las glándulas salivares.
Glándula salival submandibular vista a bajo aumento. Se observan conductos estriados salivares
muy desarrollados.
Glándula salival sublingual
Mucosa respiratoria en la cavidad
nasal.
Sobota
Somas de neuronas de la capa V de la corteza cerebral motora (rata). Se identifican sobre todo neuronas piramidales grandes y pequeñas.
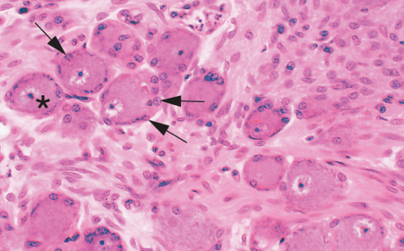
Neuronas multipolares en un ganglio vegetativo (médula suprarrenal, humana). Los cuerpos celulares redondeados u ovales contienen un núcleo esferoidal grande (→) con un nucléolo siempre visible (punto rojo intenso). Los somas neuronales están rodeados por una corona de células satélite.
Red fina de neurofibrillas (teñidas de negro) en los somas y las prolongaciones de neuronas del bulbo raquídeo humano.
Dendritas de neuronas de Purkinje
del cerebelo (perro). Las ramificaciones dendríticas están provistas de una gran cantidad de espinas (→). 1 Pericarion de una neurona de Purkinje. Impregnación argéntica de Golgi; la técnica de Golgi siempre muestra sólo algunas células, o sea que nunca muestra el conjunto del tejido nervioso;
Membrana glial perivascular. Los astrocitos (>) del cerebro (humano) rodean las paredes de los vasos intracerebrales pequeños con los extremos de sus prolongaciones, expandidos a la manera de pies, y así forman una membrana glial perivascular (= vaina neuroglica, →).
Los oligodendrocitos (→, corteza cerebral, humana) son pequeños y poseen un núcleo redondeado que, al igual que en los linfocitos, ocupa casi todo el cuerpo celular. A causa de esto, con las tinciones de rutina sólo se ven los núcleos y, en consecuencia, estas células
son difíciles de identificar como tales. Con frecuencia, como en esta figura, los oligodendrocitos aparecen en la cercanía inmediata de las neuronas en la forma de las llamadas células nodriza o células satélite.
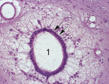
Células ependimarias cilíndricas (→) en el
conducto central (1) de la médula espinal (humana). La
pared de este conducto está formada por estas células
ependimarias cilíndricas. El entorno inmediato del conducto central es mucho menos denso que el resto del tejido (sustancia gelatinosa central).
Esqueleto neuroqueratínico, corte longitudinal de un nervio periférico grande (humano). en sus fibras nerviosas puede comprobarse la desintegración de la vaina de mielina por la disolución y la pérdida de los lípidos. Como resto de la vaina de mielina persiste una especie de coágulo proteico (rojizo), el
llamado esqueleto neuroqueratínico o armazón de neuroqueratina. La prolongación neuronal en parte se identifica como una línea clara azulada o blanquecina. Los núcleos redondos u ovales pertenecen en su gran mayoría a las células de Schwann, mientras que los aplanados son de los fibrocitos del endoneuro de tejido conjuntivo
Dos nervios vegetativos pequeños (1)
en la cápsula de la glándula suprarrenal (humana). A causa de su trayecto ondulado, las fibras nerviosas se han seccionado en varias direcciones diferentes. Los núcleos en los nervios, en su gran mayoría, pertenecen a las células de Schwann. Un angosto espacio de retracción (❉) entre el tejido conjuntivo denso con fibras colágenas abundantes y la vaina perineural de los fascículos nerviosos con frecuencia facilita la identificación de los nervios.
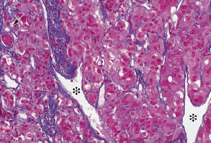
Ganglio parasimpático en la vecindad de la próstata (humana). ❉ Pericarion de una neurona, → células satélite (anficitos).
Conducto vertebral con la médula espinal (❉) y sus meninges (babuino). 1 Piamadre; 2 aracnoides; 3 duramadre; 4 espacio epidural; 5 periostio del cuerpo vertebral (6); 7 ligamento longitudinal posterior; 8 raíz ventral del nervio
espinal. En la región de las meninges de la médula espinal aparecen algunos artefactos de la técnica histológica, sobre todo desgarros.
Plexo coroideo (1), ventrículo lateral,
telencéfalo (humano). 2 Luz ventricular; 3 pared encefálica.
Granulación de Pacchioni (1) en la pared del seno sagital superior (2, humano). 3 Aracnoides; 4 duramadre.
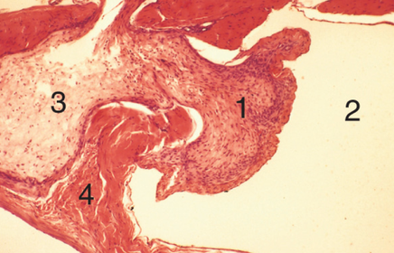
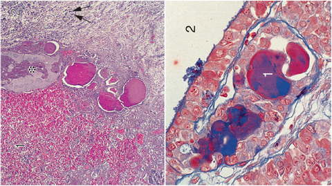
Lóbulo intermedio de la hipófisis (humana).
a) Vista general de la pars intermedia con quistes grande (❉). 1 Pars distalis del lóbulo anterior; 2 lóbulo posterior, en el cual se han introducido células basófilas (→). Hematoxilina crómica-floxina; 110 x.
b) Más aumento. 1 Coloide en folículos pequeños; 2 quistes.
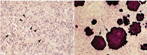
Epífisis (humana), microfotografías ópticas.
a) Región normal con cordones celulares específicos ( ) y vasos sanguíneos (→). H-E; 480 x.
b) Región con concreciones (arenilla cerebral; acérvulos cerebrales; →).
Determinación inmunohistoquímica de la calcitonina en las células C de la glándula tiroides de una rata. La reacción positiva (tinción parda) destaca muy bien en el epitelio folicular la población de células C, las que en los preparados teñidos con H-E apenas pueden identificarse a ciencia cierta.
Glándula suprarrenal humana, vista panorámica. 1 Corteza; 2 médula.
Corteza suprarrenal
(humana).
a) 1 Cápsula, 2 zona glomerular, 3 zona fasciculada.
b) Más aumento de la zona fasciculada con células endocrinal repletas de inclusiones lipídicas (“espongiocitos”→.
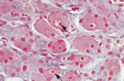
Médula suprarrenal (humana).
a) Las células medulares suprarrenales suelen ser poliédricas alargadas y acidófilas; el citoplasma a menudo es un tanto laxo, lo que en parte se debe a la rápida autólisis que se produce después de la obtención de la muestra de tejido. En los preparados de rutina los diversos tipos celulares endocrinos en la mayor parte de los casos no pueden distinguirse unos de otros. Un plexo venoso (❉) atraviesa la médula; las venas más grandes poseen almohadillas de músculo liso
(venas reguladoras, véase fig. 11-32). → Soma de una neurona ganglionar
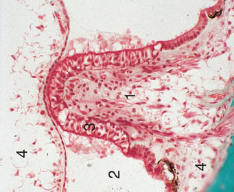
Cresta ampollar (1) en el oído interno (cobayo). 2 Luz de la ampolla del sistema de conductos semicirculares.
En este preparado el material gelatinoso (cúpula)
depositado sobre el epitelio sensorial (3 células sensoriales, claras) está deformado artificialmente de modo que aquí el epitelio sensorial casi toca el epitelio ampollar de la pared opuesta. Normalmente la cúpula mide alrededor de 1 mm de altura. 4 Espacio perilinfático.
Oído interno (cobayo). 1 Rampa vestibular; 2 conducto coclear; 3 rampa timpánica; 4 ganglio espiral; 5 limbo espiral con las células interdentales (forman la membrana tectoria que aquí apenas puede identificarse); 6 ligamento espiral; membrana de Reissner; ❉ órgano de Corti (apoyado sobre la membrana basilar); → estría vascular
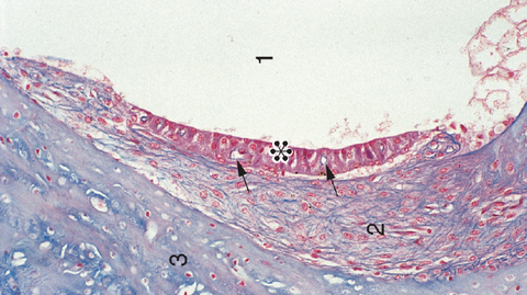
Estría vascular (❉) en la cóclea (humana). →
Capilares sanguíneos en el epitelio de la estría vascular; 1 conducto coclear; 2 ligamento espiral; 3 tejido del caracol óseo.
Iris (humano). 1 Cámara anterior del ojo; 2 estroma del iris; ❉ vaso sanguíneo en la estroma del iris; 3 músculo dilatador de la pupila; 4 epitelio pigmentario del iris, biestratificado; 5 cámara posterior del ojo.
Cuerpo ciliar (mono Rhesus). 1 Esclerótica; → conducto de Schlemm; 2 cámara anterior del ojo; 3 iris; 4 músculo ciliar; 5 procesos ciliares; 6 cámara posterior del ojo; 7 cristalino con su epitelio anterior.
Retina (cerdo), vista general. Desde afuera hacia adentro: 1 coroides; 2 epitelio pigmentario; 3 segmentos internos y externos de las células fotorreceptoras; 4 capa nuclear externa; 5 capa plexiforme externa; 6 capa nuclear interna; 7 capa plexiforme interna; 8 capa ganglionar; 9 cuerpo vítreo; 10 arteria pequeña.
Glándulas de Moll (párpado humano).
Obsérvense las diferentes alturas epiteliales; en parte se ven imágenes de desprendimiento apocrino (→).
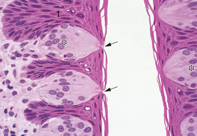
Corpúsculos gustativos (❉) de las papilas foliadas (mono Rhesus). → Poro gustativo; 1 epitelio estratificado plano de la lengua. El poro gustativo de los corpúsculos gustativos del lado derecho de la imagen quedó fuera del plano del corte
Papilas foliadas (1, conejo). → Corpúsculos gustativos; 2 glándulas serosas (glándulas de von Ebner).
Epitelio olfatorio (1; humano, cuatro meses). → Núcleos de las células sensoriales olfatorias; ❉ núcleos de las células sustentaculares; 2 luz de la cavidad nasal; 3 epitelio seudoestratificado cilíndrico ciliado inmaduro.
Corpúsculo de Vater-Pacini (tejido conjuntivo hipodérmico humano), corte transversal. En el centro está la fibra nerviosa (>). 1 Maza interna; 2 capa laminillar externa (laminillas perineurales); 3 cápsula; → vasos sanguíneos pequeños; 4 adipocitos en el tejido conjuntivo hipodérmico.
Ocultar las fichas que te sabes