|
|
Created by Cathy Fuentes
about 11 years ago
|
|
| Question | Answer |
|
1)Anormalidades morfológicas de los eritrocitos
Recuperado de :http://julioadanjacb.blogspot.com/2011/01/anemia.html
Image:
images__2_ (image/jpg)
|
Acantocito: Celulas rojas que presentan proyecciones espaciadas bastante irregulares. Esta irregularidad puede encontrarse en las lipoproteinemia y en ciertos desordenes hepaticos. (Rodak, 2004). Imagen Recuperado de: https://www.flickr.com/photos/hematologia/3668526979/?rb=1
Image:
acanto (image/jpg)
|
|
Equinocitos: Son células rojas con muchas espiculas despuntadas están relacionadas con formas patológicas de uremia o desordenes del bazo. Imagen Recuperada de: http://mesa54d.blogspot.com/2009/04/anormalidades-del-eritrocito.html
Image:
equni (image/jpg)
|
Eliptocitos: Son celulas rojas ovales o con forma de cigarrillo Estas formas pueden encotrarse en anemias o puede existir la posibilidad de eliptocitosis hereditaria. (Rodak,2004). Imagen recuperada de: http://www.iqb.es/hematologia/atlas/ovalocito/ovalocito.htm
Image:
elip (image/jpg)
|
|
Esquistocito: Son fragmentos de células rojas que resultan de un daño a la membrana ocasionado durante el paso de las células a través de los vasos. Patológicamente se presenta en la anemia hemolítica microangiopatica, quemaduras severas, uremia. (Rodak,2004).
Imagen recuperada de : http://friendfeed.com/benitohernndez/138c5ba9/depranocito
Image:
esquisto (image/jpg)
|
Célula en hoz: Células rojas que han tomado forma de media luna. Están relacionadas con hemoglobinopatias. (Rodak,2004). Imagen recuperada de: http://m.medlineplus.gov/spanish/topic/sicklecellanemia.htm
Image:
hoz (image/jpg)
|
| Esferocito: Células rojas de forma esférica que no presentan el halo de luz central. Los esferocitos grandes son encontrados en anemia hemolítica mientras los esferocitos pequeños algunas veces aparecen en quemaduras severas. (Rodak,2004). Imagen recuperada de:http://www.iqb.es/hematologia/atlas/ovalocito/ovalocito.htm | Estomatocito:Estas celulas han perdido la identacion de un lado y pueden encontrarse en enfermedad hepatica, quemaduras, talasemias envenenamiento con plomo y estomatocitosis hereditaria. (Rodak,2004). Imagen recuperada de:http://www.iqb.es/hematologia/atlas/ovalocito/ovalocito.htm |
|
Codocitos: Eritrocitos con un punto coloreado centrico dando forma de blanco. Estas formas se encuentran en las anemias hemoliticas, hemoglobinopatia c y talasemias. (Rodak, 2004). Imagen recuperada de: https://www.flickr.com/photos/hematologia/3668526127/
Image:
codocito (image/jpg)
|
Dacriocitos: Tiene forma de lagrima, se encuentran en cantidades considerables en mielofibrosis, anemia perniciosa, talasemia, metaplasia mieloide. (Rodak, 2004). Imagen recuperada de: https://www.flickr.com/photos/hematologia/3668526127/
Image:
dacrocito (image/jpg)
|
|
Eritrocito policromatofilo: Un incremento en el numero de celulas rojas inmaduras en sangre periferica, son comunes en anemia hemolitica, hemorragias agudas, uremia o anemias megaloblasticas. (Rodak, 2004). Imagen Recuperado de: http://www.telmeds.org/atlas/hematologia/serie-roja/ontogenia-de-serie-eritroide/eritrocito-policromatofilico/
Image:
poli_cro (image/jpg)
|
Cuerpos de howell- Jolly: Inclusiones esféricas en las células. Se trata de fragmentos de ADN condensado, aparecen en anemias hemolíticas severas y en pacientes con bazos disfuncionales. (Rodak, 2004). Imagen Recuperado de: http://www.telmeds.org/atlas/hematologia/serie-roja/ontogenia-de-serie-eritroide/eritrocito-
Image:
howwel (image/jpg)
|
|
Cuerpos de pappenheimer: Granulos de hierro presentes en los eritrocitos, colereados de azul con wrigth. Se asocia con anemias severas, talasemias, envenenamiento con plomo e hipoplenismo. (Rodak, 2004). Imagen Recuperado de: https://www.flickr.com/photos/hematologia/3668526979/?rb=1
Image:
pappe (image/jpg)
|
Punteado Basofilo: Artefactos que aparecen con gránulos redondos azul oscuros sobre las células rojas. Pueden observarse en la intoxicación con plomo, exposición a drogas, quemaduras severas, anemias o septicemias. (Rodak, 2004). Imagen Recuperado de: https://www.flickr.com/photos/hematologia/3668526979/?rb=1
Image:
basofilico (image/jpg)
|
|
células en rouleaux: Esta formación ocurre cuando las células rojas forman pilas o rollos. Se encuentran en el mieloma múltiple. infecciones virales y macroglobulinemia. (Rodak, 2004). Imagen Recuperada de: http://flickrhivemind.net/User/dione1986/Timeline
Image:
roe (image/jpg)
|
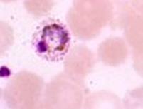
Granulos de Schuffner: Aparecen en infeccion por plasmodium, se presentan punteados naranjas o rosados sobre los eritrocitos. (Rodak, 2004). Imagen Recuperada de: http://flickrhivemind.net/User/dione1986/Timeline
Image:
schf (image/jpg)
|
Want to create your own Flashcards for free with GoConqr? Learn more.