null
US
Sign In
Sign Up for Free
Sign Up
We have detected that Javascript is not enabled in your browser. The dynamic nature of our site means that Javascript must be enabled to function properly. Please read our
terms and conditions
for more information.
Next up
Copy and Edit
You need to log in to complete this action!
Register for Free
2836673
Anomalias de Desenvolvimento
Description
Mind Map on Anomalias de Desenvolvimento, created by Cézar Augusto Meira Carmo on 28/05/2015.
No tags specified
odontologia
enem
Mind Map by
Cézar Augusto Meira Carmo
, updated more than 1 year ago
More
Less
Created by
Cézar Augusto Meira Carmo
over 10 years ago
139
2
0
Resource summary
Anomalias de Desenvolvimento
FUSÃO
Dentes unidos congenitamente pela coroa e raiz.
Mais comumente vista entre IL e IC
GEMINAÇÃO
Divisão frustrada do germe dental
Duas coroas separadas total ou parcialmente com raiz única
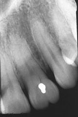
CONCRESCÊNCIA
União de dois dentes pelo cemento radicular
Duas coroas e uma raiz
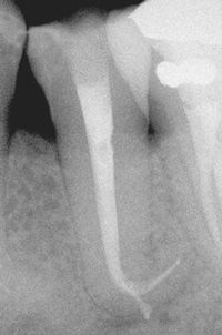
DILACERAÇÃO
Curvatura proeminente da coroa ou raiz dental
Fator Etilógico provável = Trauma durante a odontogêneses
Media attachments
c1f18a42-adcd-490e-9a3b-c71f6821c25a (image/jpg)
84a55fcb-467c-45fd-81d3-7aac882f868d (image/jpg)
131661b0-5bfb-4787-97c3-7136d2a4e6b5 (image/jpg)
b2efe66e-edfe-44ec-8cdc-ad6a4bec8529 (image/jpg)
Show full summary
Hide full summary
Want to create your own
Mind Maps
for
free
with GoConqr?
Learn more
.
Similar
CÉLULAS
Alexandra Moreira
CÁRIE
Ana Julia Furlan
Questionário - Sistema Nervoso
Letícia Pereira
MUCOCELE
g_moura12
Antibióticos
Carollina Rodrigues
ASB - Cirurgia
Yandra Oliveira
Efeitos do envelhecimento no sistema respiratório
Rebeca Marreiro
Questionário - Sistema Digestivo/ Orgãos anexos ao sistema digestivo
Letícia Pereira
Fraturas Faciais
Carollina Rodrigues
Método para diagnóstico de cárie
caio leite
RESTAURAÇÕES INDIRETAS EM RESINA COMPOSTA EM DENTES POSTERIORES
istefany dandara
Browse Library