CERVIX

Description

Mind Map on CERVIX, created by josetf27 on 26/10/2015.
josetf27
Mind Map by josetf27, updated more than 1 year ago
josetf27
Created by josetf27 about 10 years ago
6
0

Resource summary

CERVIX
  1. NEOPLASIAS PREMALIGNAS Y MALIGNAS
    1. Factores de riesgo
      1. Multiples parejas sexuales
        1. Primera realacion sexual a edad jveon
          1. Paridad alta
            1. Consumo de nicotina
            2. Patogenia
              1. germen transmitido via sexual
                1. VPH con riesgo oncogenico
                  1. Condliloma peneanos
                    1. Condilomas anales
                      1. Condliloma acuminado vulvar
                  2. PVH
                    1. Infecciones genitales por VPH
                      1. Alta prevalencia a los 20 años
                        1. Infectan celulas basales inmaduras del epitelio escamoso
                        2. Patologias asociadas a PVH
                          1. Epitelio escamoso
                            1. Membranas mucosas
                          2. TIPOS DE CLASIFICACION MACROSCOPICA Y MICROSCOPICA
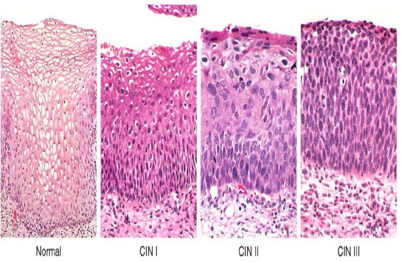
                            1. Clasificación de la neoplasia intraepitelial cervical (CIN)
                              1. CIN I
                                1. Presenta displasia leve
                                2. CIN II
                                  1. Presenta displasia moderada
                                  2. CIN III
                                    1. Presenta displasia grave
                                  3. Clasificación Lesión intraepitelial escamosa (SIL)
                                    1. CIN I
                                      1. Presenta lesión intraepitelial escamosa de grado bajo ( SIL-L)
                                      2. CIN II y CIN III
                                        1. Presenta lesión intraepitelial escamosa de grado alto ( SIL-H)
                                    Show full summary Hide full summary

                                    Similar

                                    MENSTRUACIÓN Y EMBARAZO
                                    Frans Cuevas