null
US
Sign In
Sign Up for Free
Sign Up
We have detected that Javascript is not enabled in your browser. The dynamic nature of our site means that Javascript must be enabled to function properly. Please read our
terms and conditions
for more information.
Next up
Copy and Edit
You need to log in to complete this action!
Register for Free
5414897
Blastomicosis
Description
Mind Map on Blastomicosis, created by Alejandra Rios on 13/05/2016.
Mind Map by
Alejandra Rios
, updated more than 1 year ago
More
Less
Created by
Alejandra Rios
over 9 years ago
35
0
0
Resource summary
Blastomicosis
Producido por: Blastomyces dermatitidis
Dimorfico
Micelial
Medio ambiente
Levaduriforme
37°C
Factores de Predisposición
Ocupacionales: Campesinos, agricultores, cazadores
PATOGENIA
Inhalación de conidios
Dimorfismo: Levadura encapsulada (37°C)
Desarrollo de la levadura en el alvéolo.
Tejido intersticial.
Reacción de polimorfonucleares.
Diseminación hemolinfática a otros órganos (Piel, huesos)
Producción de melanina, ureasa, proteasas, adhesinas (W1-1)
Factor de Virulencia: Inhibe fagocitosis
Formas clínicas
Pulmonar
Genitourinaria
Cutánea
CASO CLÍNICO: Blastomicosis: presentación de un caso importado en México, con lesiones exclusivamente cutáneas.
Paciente 54 años, constructor, originario de México
Lesiones nodulares verrugosas, 4 semanas de evolución.
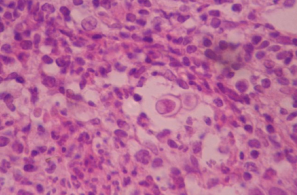
BIOPSIA
EXAMEN DIRECTO
TRATAMIENTO: Itraconazol
S.N.C
Diseminada
Media attachments
4a77e018-8dc9-4725-b531-115a02f027f5 (image/jpg)
d8d47227-d9a8-4230-aecd-e47fe05ada86 (image/jpg)
27618082-b782-4f28-81e5-785149e58c36 (image/jpg)
48cd0577-0ebb-40c7-b61d-6f3ba4b0e09c (image/png)
a1da5f41-b1c7-4e2f-9b9f-18a6adc04ef2 (image/png)
e78a8570-ff86-4936-bc5f-afee1c45c6e7 (image/png)
0cb53745-4ed2-4c1e-9ebd-0f557e80c579 (image/png)
Show full summary
Hide full summary
Want to create your own
Mind Maps
for
free
with GoConqr?
Learn more
.
Similar
Browse Library