Glomeruloesclerosis focal y segmentaria

Description

Medicina Mind Map on Glomeruloesclerosis focal y segmentaria, created by Miriam FP on 10/16/2016.
Miriam FP
Mind Map by Miriam FP, updated more than 1 year ago
Miriam FP
Created by Miriam FP over 9 years ago
17
0

Resource summary

Glomeruloesclerosis focal y segmentaria
  1. Concepto/Definición
    1. Es una enfermedad caracterizada por cicatrices glomerulares segmentarias en algunos glomérulos y se manifiesta en forma de proteinuria
      1. Esclerosis de algunos glomérulos aunque no de todos (focal) y en los glomérulos afectados solo se altera una porción del ovillo capilar (segmentaria)
        1. Cuando se presenta por primera vez es habitual la hipertensión, hematuria microscópica y azoemia
      2. Demografía
        1. Principal causa de síndrome nefrótico en adultos (33%)
          1. Población más afectada: Hispanos y afroamericanos
          2. Impacto
            1. La prevalencia de GSFS primaria en pacientes negros es 2-4 veces mayor que en blancos y es más frecuente en hombres (10-20%) y en niños (7-15%) (3)
              1. Representa la causa más frecuente de glomerulonefritis primaria (3)
                1. Constituye la causa más frecuente de síndrome nefrótico (3)
                2. Etiología
                  1. Enfermedad primaria (idiopática) 10-35%
                    1. En asociación con enfermedades como: VIH, adicción a heroína, obesidad masiva o enfermedad de celulas falciformes
                      1. Secundario a cicatrización por lesiones previamente activas
                        1. Nefropatía IgA
                        2. Componente de una respuesta adaptativa
                          1. A pérdida de tejido renal: Ablación real
                            1. Anomalías congénitas: Agenesia o displasia
                              1. Adquirida: Nefropatía por reflujo
                              2. Formas hereditarias del síndrome nefrótico por mutaciones en genes de proteínas en el diafragma en hendidura
                                1. Podocina
                                  1. α-actinina 4
                                2. Fisiopatología
                                  1. Degeneración y alteración focal de células epiteliales y endoteliales con borramiento de podocitos
                                    1. Causado por aumento de la permeabilidad a proteínas, regulado por linfocitos T
                                      1. Defectos genéticos
                                        1. Anormalidades de podocitos
                                        2. Proliferación celular (de células mesangiales, infiltrado de neutrófilos
                                          1. Esclerosis (regulada por TGF-B) inicialmente segmentaria y finalmente global
                                          2. Hialinosis y esclerosis
                                            1. Por el atrapamiento de proteínas plasmáticas en focos hiperpermeables y aumento del depósito en la MEC
                                          3. Clínica
                                            1. Hematuria
                                              1. Descenso del FG e hipertensión
                                                1. Proteinuria no selectiva
                                                  1. Respuesta insuficiente a corticoesteroides
                                                    1. Progreso a nefropatía crónica y en 50% a nefropatía terminal
                                                    2. Auxiliares diagnósticos
                                                      1. Laboratorio: Proteinuria en rango nefrótico, hematuria y en algunos casos hay aumento de creatinina sérica y BUN (3)
                                                      2. Genética
                                                        1. Gen NPHS1: Codifica nefrina, componente del diafragma en hendidura
                                                          1. Síndrome nefrótico congénito que produce glomerulopatía de cambios mínimos
                                                          2. GEFS autosómica recesiva: mutación de NPHS2 que codifica podocina
                                                            1. Síndrome nefrótico resistente a corticoesteroides en la infancia
                                                            2. Proteína α actinina 4 de unión a la actina de los podocitos
                                                              1. GEFS autosómica dominante de inicio insidioso, con alta progresión a insuficiencia renal
                                                              2. Gen que codifica TRPC6 en los podocitos
                                                              3. Morfología macro
                                                                1. inicialmente las lesiones afectan a los glomérulos yuxtamedulares, posteriormente se hacen más generalizadas
                                                                2. Morfología micro
                                                                  1. Microscopio óptico
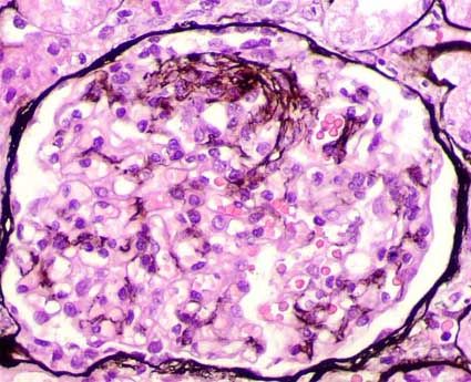
                                                                    1. En segmentos escleróticos: Colapso de asas capilares
                                                                      1. Glomérulo con esclerosis en la mitad superior teñida en azul, la mitad inferior presenta una arquitectura conservada
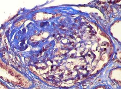
                                                                      2. Aumento de la matriz con depositos de proteínas plasmáticas a lo largo de la pared capilar (hialinosis) que pueden ocluir las luces capilares
                                                                        1. Imagen con tricrómico de Masson donde se observa hialinosis segmentaria con vacuolas lipídicas, observaadas en color rojizo. En las zonas adyacentes hay disminución o pérdida de las luces capilares.
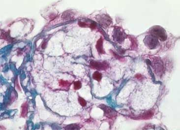
                                                                        2. Pueden existir gotas lipídicas y células espumosas
                                                                          1. Imagen de un glomérulo teñido con tricromico de Masson donde se observan células espumosas, son células grandes con citoplasma claro vacuolado y pequeños núcleos.
                                                                            1. Fernández Pacheco Miriam. Grupo: 3631 20/10/2016
                                                                        3. Microscopio electrónico
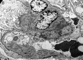
                                                                          1. Borramiento difuso de los podocitos y puede haber desprendimiento focal de células epiteliales
                                                                            1. Imagen de un área glomerular con fusión pedicular, incremento de matriz mesangial y depósitos electrodensos
                                                                        4. Métodos especiales
                                                                          1. Inmunofluorescencia
                                                                            1. Se puede observar IgM y C3 en las áreas escleróticas y/o mesangio
                                                                              1. Depósitos focales y segmentarios de IgM y C3, que representan, en su mayoría atrapamiento de proteínas plasmáticas en las lesiones esclerosantes o hialinas
                                                                            2. Tinciones especiales
                                                                              1. Segmentos escleróticos (colágena IV) positivos a PAS y plata metenamina
                                                                            3. Tratamiento
                                                                              1. FSGS primaria: Inhibidores del SRAA (2)
                                                                                1. Px con proteinuria en límites nefróticos pueden ser tratados con corticoesteroides (2)
                                                                                  1. FSGS secundaria: tratar la causa básica y controlar la proteinuria. No son útiles los corticoesteroides ni otros inmunosupresores (2)
                                                                                  2. Pronóstico
                                                                                    1. No hay remisión espontánea
                                                                                      1. 20% presentan evolución rápida (2 años) a insuficiencia renal, con proteinuria masiva intratable
                                                                                        1. Factores asociados a progresión rápida: Gravedad de la proteinuria, de la insuficiencia renal y subtipo histológico
                                                                                          1. Bibliografía: 1. Kumar, V., Abbas, A., & Aster, J.. (2015). Robbins y Cotran. Patología Estructural y Funcional. 9ª edición, Barcelona, España: Elsevier.// 2.. Dennis Kasper, & Anthony Fauci. Harrison. Principios de Medicina Interna, 19e. Mc Graw Hill// 3. Avendaño H. Nefrología Clínica. 3e. Panamericana // 4. Vazquez H. Orientación diagnóstica de enfermedades renales glomerulares. Revista española de patología. Vol. 46 N.1 2013. Elsevier
                                                                                        Show full summary Hide full summary

                                                                                        Similar

                                                                                        Definiciones CARDIOLOGÍA
                                                                                        Vivi Riquero
                                                                                        T9. Enfermedades Inflamatorias
                                                                                        Vivi Riquero
                                                                                        Anatomía cabeza
                                                                                        Diego Santos
                                                                                        Fichas para oposiciones de auxiliar de enfermería
                                                                                        leyvamiri
                                                                                        Oftalmología - ENARM
                                                                                        Emilio Alonsooo
                                                                                        Hematología - ENARM
                                                                                        Emilio Alonsooo
                                                                                        Anatomía cabeza
                                                                                        maca.s
                                                                                        Infecciones Quirúrgicas
                                                                                        Exero
                                                                                        FUNDAMENTOS DE LA EMBRIOLOGÍA.
                                                                                        fperezartiles
                                                                                        Tema 15: Características del sistema respiratorio
                                                                                        Marlopcar López
                                                                                        Alergología - Práctica para el ENARM
                                                                                        Emilio Alonsooo