Glomerulonefritis membranoproliferativa

Description

Mind Map on Glomerulonefritis membranoproliferativa, created by Fernando Hidalgo Roa on 10/18/2016.
Fernando Hidalgo Roa
Mind Map by Fernando Hidalgo Roa, updated more than 1 year ago
Fernando Hidalgo Roa
Created by Fernando Hidalgo Roa over 9 years ago
5
1

Resource summary

Glomerulonefritis membranoproliferativa
  1. Concepto
    1. La glomerulonefritis membranoproliferativa (GNMP, ing. MPGN; sinónimo GN mesangiocapilar) se caracteriza por la proliferación mesangial difusa y engrosamiento de las paredes capilares.
    2. Demografía e impacto
      1. La glomerulonefritis membranoproliferativa primaria afecta sobre todo a niños y adolescentes de entre ocho y dieciséis años, sin diferencias de género. Su frecuencia tiende a ser decreciente. Las formas secundarias son más frecuentes en adultos. En Europa y los Estados Unidos la prevalencia actual de glomerulonefritis membranoproliferativa es del uno al cuatro por ciento, como lo demuestran las biopsias renales. En España, en la década de 1970 el 27,6 por ciento de las biopsias renales primarias correspondían a casos de glomerulonefritis membranoproliferativa[19]mientras que en 2002 la prevalencia de la enfermedad era del 4,6 por ciento.Según datos del Registro Español de Enfermedades Glomerulares, esta glomerulonefritis explica el cuatro por ciento de la patología glomerular detectada en biopsias y constituye la cuarta causa de enfermedad renal terminal secundaria a glomerulonefritis.
      2. Etiología
        1. La patogenia de la glomerulonefritis membranoproliferativa o mesangiocapilar de tipo I intervendrían deficiencias congénitas de algunos factores del complemento (C2, C3, C4, C6, C7, C8). En cuanto a la de tipo II, la causa es completamente desconocida. Se ha planteado la posibilidad de que se trate de un defecto no inmunitario de la membrana basal, por lo que acumularía el material denso.[21] En lo que se refiere a las formas idiopáticas, se considera glomerulonefritis
        2. Fisiopatología
          1. a glomerulonefritis membranoproliferativa mediada por complejos inmunes se produce a causa de la presencia de una antigenemia persistente que genera la formación de complejos antígeno-anticuerpo circulantes. Los complejos desencadenan la activación de la vía clásica del complemento y el depósito de varios de sus factores junto con inmunoglobulinas en la membrana basal y el mesangio, con el patrón característico de la glomerulonefritis membranoproliferativa. Entre las diversas enfermedades que podrían inducir este efecto figura la glomerulonefritis membranoproliferativa asociada con el VHC
          2. Manifestaciones clínicas
            1. La GNMP primaria suele presentarse entre los 5-30 años. Se manifiesta con hematuria microbiológica y proteinuria de nivel subnefrótico (~35 % de los casos), presencia de cilindros granulosos en el sedimento urinario (35 %), síndrome nefrótico con función renal normal o ligeramente reducida (35 % de los casos) o ERC progresiva con hipertensión, hematuria microbiológica y proteinuria (20 %). Puede ser la causa de la GNRP.
            2. Auxiliares diagnosticos
              1. A base del estudio histopatológico en la biopsia renal.
              2. Genética
                1. En ambos tipos se han descrito mutaciones genéticas comunes de los componentes-reguladores de la vía alternativa del complemento o anticuerpos frente a ellos. Así, mutaciones en proteínas que regulan la actividad y ensamblaje de la C3 convertasa y la degradación de C3b, tales como factor H, I y B y la proteína 5 relacionada con el factor H han sido implicados. Algunos polimorfismos genéticos de los factores H y B, la proteína cofactor de membrana y C3 también se han asociado a la Glomerulopatía C3. En el 71% de los pacientes se han encontrado anormalidades adquiridas (C3NeF) o hereditarias (mutaciones) de la vía alternativa del complemento, siendo la anormalidad más frecuente la presencia de C3NeF, un autoanticuerpo dirigido contra la C3 convertasa.
                2. Macroscopicamente
                  1. Riñones aumentados de tamaño y peso.
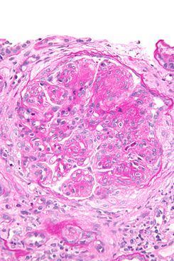
                  2. Microscopicamente
                    1. La de tipo I la alteración más llamativa en la microscopia óptica es la proliferación de células y matriz mesangial, lo que junto con el engrosamiento de la pared capilar por los depósitos subendoteliales confiere un aspecto lobulado al glomérulo. La interposición de matriz mesangial entre las células endoteliales y la membrana basal crea una imagen de desdoblamiento de la pared capilar (doble contorno). La glomerulonefritis membranoproliferativa de tipo II no se diferencia mucho de la de tipo I, salvo por un engrosamiento irregular de la pared capilar debido al depósito de un material denso. Puede haber proliferación extracapilar en ambos tipos, aunque es más frecuente en el tipo I
                      1. Metodos especiales
                        1. Con las técnicas de inmunofluorescencia la glomerulonefritis membranoproliferativa de tipo I muestra depósitos granulares de C3, junto con IgG e IgM, a lo largo de la pared capilar y del mesangio. En la de tipo II hay depósitos de C3 en el mesangio y también a lo largo de la membrana basal, lo que crea la imagen de líneas dobles semejantes a las vías del tren, pero no hay depósitos de inmunoglobulinas. La microscopia electrónica muestra con mayor claridad los depósitos subendoteliales en la enfermedad de tipo I y en la de tipo II permite establecer el diagnóstico porque revela el importante nivel de engrosamiento de la membrana basal debido a que en su parte central se localiza un material electrodenso que reemplaza y ensancha la lámina densa
                        2. Tratamiento
                          1. No hay un esquema terapéutico para la GNMP primaria universalmente aceptado. En los pacientes con proteinuria >3,5 g/d y reducción progresiva de la TFG, se puede intentar tratamiento inmunosupresor: ciclofosfamida 1,5-2 mg/kg/d VO o MFM 1,5-2,0 g/d VO en combinación con dosis bajas de glucocorticoides (prednisona 0,5 mg/kg/d).
                          2. Pronóstico
                            1. La GNMP primaria presenta un carácter generalmente progresivo. Transcurridos 5 años de la biopsia renal un 50-60 % de los pacientes adultos requiere diálisis. En las GN secundarias, el tratamiento eficaz de la enfermedad de base puede conseguir al menos la remisión parcial de la glomerulopatía.
                            2. Fernando Hidalgo Roa Grupo 3631 a 20 de octubre de 2016
                              1. Bibliografia
                                1. http://www.kidneypathology.com/GN_membranoproliferativa.html http://www.elsevier.es/ficheros/nefro/monografias/1/3/12/Cap_2932867.pdf
                                  1. Robbins 9 edción.
                                  Show full summary Hide full summary

                                  Similar