Pneumologia (Clínica)

Description

REVALIDA REVAPROVA - CLINICA MEDICA (Clinica por temas) Quiz on Pneumologia (Clínica), created by manoel junior on 22/03/2016.
manoel junior
Quiz by manoel junior, updated more than 1 year ago
manoel junior
Created by manoel junior over 9 years ago
466
14

Resource summary

Question 1

Question
Revalida - 2013 Mulher com 56 anos de idade, ex-tabagista (40 maços/ano), apresenta dispneia aos pequenos esforços e tosse matinal com expectoração clara. Faz uso de salbutamol inalatório para alívio da dispneia. Ao exame físico apresenta pulso = 85 bpm, frequência respiratória = 24 irpm, ausculta pulmonar com murmúrio vesicular diminuído em bases, sem ruídos adventícios. Sem outras alterações no exame físico. Vem à consulta ambulatorial de revisão trazendo radiografia de tórax e gasometria arterial em ar ambiente. Após avaliação dos exames, foi prescrito tratamento farmacológico e indicada oxigenioterapia domiciliar prolongada - 1L/min durante pelo menos 15h/dia. Com base nessas informações, o resultado gasométrico que justificou a indicação de oxigenioterapia é:
Answer
  • pH 7,45; PaCO 33 mmHg; PaO2 58 mmHg; HCO3 22 mEq/L.
  • pH 7,34; PaCO2 45 mmHg; PaO2 57 mmHg; HCO3 26 mEq/L.
  • pH 7,35; PaCO2 43 mmHg; PaO2 60 mmHg; HCO3 24 mEq/L.
  • pH 7,38; PaCO2 36 mmHg; PaO2 62 mmHg; HCO3 24 mEq/L.
  • pH 7,37; PaCO2 47 mmHg; PaO2 55 mmHg; HCO3 28 mEq/L.

Question 2

Question
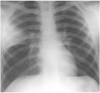
Revalida - 2014 Um paciente com 24 anos de idade, estudante universitário, procura Unidade Básica de Saúde referindo há dois dias “febre alta”, de início súbito, dor torácica na inspiração profunda e tosse produtiva, com expectoração amarelada. Nega antecedentes patológicos significativos. Ao exame o paciente apresenta-se lúcido, orientado, com mucosas normocoradas, normo-hidratadas, escleróticas anictéricas. Aparelho respiratório: murmúrio vesicular audível, exceto em terço médio de hemitórax direito, onde ausculta-se um sopro tubário. Verifica-se aumento do frêmito tóraco-vocal nessa mesma região. Aparelho cardiovascular: ritmo cardíaco regular em dois tempos com bulhas normofonéticas, sem sopros. Abdome flácido, ausência de visceromegalias. Membros inferiores sem alterações. Sinais vitais: pressão arterial = 120 × 80 mmHg, frequência respiratória = 24 irpm, frequência cardíaca = 98 bpm e temperatura axilar = 39,0 ºC. A radiografia de tórax realizada no atendimento é mostrada abaixo. A conduta terapêutica mais adequada para essa paciente é
Answer
  • cefalexina por via oral.
  • azitromicina por via oral.
  • levofloxacina por via oral ou endovenosa.
  • ceftriaxona endovenosa ou intramuscular + azitromicina por via oral.

Question 3

Question
Revalida - 2012 Um homem de 40 anos de idade é atendido na Unidade Básica de Saúde (UBS) com quadro de anorexia, perda de peso e adinamia, associados a tosse e discreta falta de ar, iniciado há 30 dias. Ao exame físico foi constatado: paciente emagrecido, IMC 16 kg/m2 , PA = 110 x 70 mmHg, FC = 88 bpm, FR = 20 irpm, sopro cavitário no ápice pulmonar esquerdo. Que exames são indicados para a elucidação diagnóstica nesse caso?
Answer
  • Hemograma completo, anti-HIV 1 e 2 e radiografia de tórax.
  • Pesquisa de BAAR no escarro e radiografia de tórax.
  • Pesquisa de BAAR no escarro, cultura do escarro pelo método Ogawa-Kudoh e radiografia de tórax.
  • Baciloscopia do escarro, radiografia de tórax e técnica molecular de reação em cadeia mediada pela polimerase.
  • Cultura do escarro pelo método Löwestein-Jensen e técnica molecular e reação em cadeia mediada pela polimerase.

Question 4

Question
Revalida - 2012 Uma mulher de 29 anos iniciou tratamento para tuberculose pulmonar cavitária há duas semanas, com o esquema Rifampicina + Hidrazida + Pirazinamida + Etambutol. Durante a consulta para avaliação dos exames solicitados, o médico observa que o teste confirmatório para detecção do HIV é positivo. Nesse contexto, além do aconselhamento da paciente e testagem de parceiros, a conduta mais adequada para a paciente é
Answer
  • manutenção do tratamento para tuberculose e encaminhamento para serviço de referência, mantendo o acompanhamento à paciente.
  • suspensão do tratamento para tuberculose e encaminhamento para serviço de referência, mantendo o acompanhamento à paciente.
  • suspensão temporária do esquema terapêutico para a tuberculose, início da terapia antirretroviral; retomada do tratamento para tuberculose após 30 dias.
  • alteração do tratamento, com prolongamento da duração para 9 meses: Rifampicina + Hidrazida + Pirazinamida + Etambutol por 2 meses e Rifampicina + Hidrazida por 7 meses.
  • substituição do esquema terapêutico da tuberculose para Estreptomicina + Etambutol + Linesolida + Pirazinamida + Terizidona por 2 meses e Etambutol + Linesolida + Terizidona por 4 meses.

Question 5

Question
Revalida - 2012 Uma mulher de 22 anos de idade procurou atendimento de urgência, apresentando falta de ar, chegando a ter dificuldade para completar frases. Informou a ocorrência de episódios prévios semelhantes. Ao exame: acianótica, padrão respiratório com uso da musculatura acessória, tiragem intercostal e supraesternal. Pressão arterial = 110 x 80 mmHg, frequência cardíaca = 115 bpm e frequência respiratória = 28 irpm; ausculta pulmonar com sibilos expiratórios difusos. A oximetria digital em ar ambiente evidenciou saturação de oxigênio (SaO2 ) = 91%. Foi administrado beta-agonista inalatório e oxigênio por cateter nasal. Reavaliada após 30 minutos, a paciente apresentou melhora parcial do quadro: frequência respiratória = 24 irpm, SaO2 = 94%, frequência cardíaca = 110 bpm, ausculta pulmonar com sibilos expiratórios. Qual a conduta terapêutica mais adequada a ser tomada após essa reavaliação?
Answer
  • Nebulização com beta-agonista – até 3 doses em uma hora, prednisolona oral e suspensão do oxigênio.
  • Nebulização com beta-agonista e ipratrópio – 3 doses sequenciais, aminofilina venosa e manutenção do oxigênio.
  • Beta-agonista em spray, com espaçador, até 3 doses em uma hora; hidrocortisona venosa e suspensão do oxigênio.
  • Nebulização com beta-agonista e ipratrópio a cada 30 minutos, aminofilina venosa e manutenção do oxigênio.
  • Associação de beta-agonista e ipratrópio em spray, com espaçador, a cada 30 minutos; prednisolona oral e manutenção do oxigênio.

Question 6

Question
Revalida - 2014 Um paciente com 45 anos de idade, casado e com três filhos (8 meses, 7 anos e 12 anos de idade), trabalhador da construção civil, tem histórico de febre vespertina, tosse e emagrecimento há seis meses. Radiografia de tórax mostra infiltrado em lobo superior direito contendo cavitação e a baciloscopia do escarro é positiva para tuberculose. Em relação à avaliação dos contatos do paciente, é correto afirmar que:
Answer
  • nos contatos crianças (<10 anos), a Prova Tuberculínica menor que 5mm exclui o diagnóstico de tuberculose.
  • nos contatos crianças (<10 anos), assintomáticos, o tempo de vacinação com BCG é fator importante na definição da conduta.
  • nos contatos adultos ou adolescentes (> 10 anos ), assintomáticos, não há necessidade de solicitação da Prova Tuberculínica.
  • nos contatos sintomáticos adultos, o diagnóstico de tuberculose é estabelecido pela cultura de escarro positiva para Bacilo de Koch ( BK ).

Question 7

Question
Revalida - 2014 Um paciente com 42 anos de idade é atendido no ambulatório de uma Unidade Básica de Saúde com quadro de tosse com expectoração amarelada há mais de três semanas, acompanhada de febre vespertina. É submetido à realização de exame de escarro para pesquisa de bacilos álcool-ácido-resistentes (BAAR), que é positiva (+++/4+). Informa que reside com a esposa, que apresenta os mesmos sintomas. O casal não tem filhos. Diante dessas informações, a investigação da esposa deverá ser feita com
Answer
  • realização de prova tuberculínica.
  • solicitação de radiografia de tórax e PPD.
  • encaminhamento para tratamento em posto de saúde.
  • solicitação de radiografia de tórax e baciloscopia de escarro.

Question 8

Question
Revalida - 2014 Um homem com 32 anos de idade é trazido à Emergência de um Hospital Geral apresentando quadro de dispneia com piora progressiva nas últimas 48 horas. Relata que estava “resfriado” nos dias que precederam o quadro atual e que já estava melhorando da coriza e espirros quando a dispneia se agravou. Refere desconforto torácico, sibilância, tosse com expectoração esbranquiçada. Está em uso de beta 2 - agonista e corticoide inalatório em dose baixa, sem obter melhora. Sabe que é portador de asma brônquica desde a infância e no último ano precisou ser internado por curtos períodos, em ambiente de emergência, por três ocasiões. Ao exame físico, apresenta-se lúcido, orientado, colaborativo, dispneico, falando frases incompletas, e um pouco agitado e ansioso; corado, hidratado, acianótico; pressão arterial = 120 x 80 mmHg, frequência respiratória = 32 irpm, frequência cardíaca = 112 bpm, temperatura axilar = 36,0 ºC. O paciente apresenta retração costal e supraesternal e sibilos disseminados na ausculta pulmonar. Ausculta cardíaca com bulhas normofonéticas e ritmo cardíaco regular, em dois tempos. Ausência de turgência jugular. Abdome sem anormalidades. O pico de fluxo expiratório (PFE) foi de 33% e a saturação de O2, medida por oxímetro de pulso = 91%. Na abordagem inicial desse paciente, a sequência correta de medidas terapêuticas a serem implementadas deve incluir
Answer
  • administração de aminofilina intravenosa, corticosteroide por via venosa e instalação de ventilação mecânica.
  • administração de oxigênio por máscara facial, corticosteroide por via inalatória e sedação leve com benzodiazepínico.
  • doses repetidas de beta-2 agonista por via inalatória, corticosteroide por via venosa e antibioticoterapia por via venosa.
  • administração de oxigênio por máscara facial, doses repetidas de beta-2 agonista por via inalatória e corticosteroide por via venosa.

Question 9

Question
Revalida - 2014 Um paciente com 15 anos de idade é trazido pela mãe à consulta médica na Unidade Básica de Saúde, pois há oito meses vem apresentando episódios de falta de ar de duas a três vezes por semana, ocasionalmente acordando à noite (2 vezes/mês). As crises são relatadas como de leve intensidade. Nunca precisou ser levado ao Serviço de Urgência. No entanto, chegou a faltar à escola três vezes nesse semestre devido às queixas. Trouxe resultado de espirometria solicitada na consulta anterior, demonstrando padrão obstrutivo, com VEF1 > 80%, e refere resposta significativa ao broncodilatador. Além das medidas educativas e de controle ambiental, qual deve ser a terapêutica indicada?
Answer
  • Nebulizações com fenoterol e brometo de ipratrópio até de 6/6h em caso de falta de ar.
  • Associação de formoterol e budesonida, administrados por via inalatória, duas vezes ao dia.
  • Beclometasona 200 mcg, inalada duas vezes ao dia, e salbutamol spray caso tenha falta de ar.
  • Fluticasona 250 mcg, aplicada por via inalatória duas vezes ao dia, e salmeterol spray caso tenha crises.

Question 10

Question
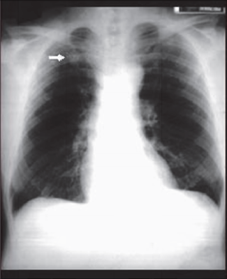
Revalida - 2013 Homem com 42 anos de idade, vendedor ambulante, foi admitido para emprego formal no comércio e procura a Unidade Básica de Saúde para saber como deve proceder com relação a uma alteração identificada nos exames admissionais, reproduzida na radiografia de tórax mostrada acima. À anamnese, refere tosse seca há mais de seis meses, constante, diária, nunca tratada. Nega febre, dispneia, hemoptise e perda de peso. Não apresenta outras queixas. É portador de hipertensão arterial, controlada com hidroclorotiazida. É fumante, com uma carga tabágica de 20 maços/ano, há 22 anos. Apresenta como antecedente familiar um irmão com tuberculose pulmonar tratada no ano passado. Nega outros antecedentes patológicos ou história familiar de doença. O exame físico é normal. A conduta mais apropriada para este paciente, neste momento, é:
Answer
  • iniciar tratamento de prova para tuberculose.
  • solicitar tomografia computadorizada.
  • cessar tabagismo e observar.
  • repetir radiografia do tórax.
  • iniciar tratamento com macrolídeo.

Question 11

Question
Revalida - 2011 Um estudante, com 15 anos de idade, chega à Emergência informando ser portador de asma desde a infância. Relata que manteve controle da asma nos últimos meses e que apresenta piora há dois dias, quando passou a apresentar dispneia associada à tosse, expectoração mucosa e chiado no peito. Ao exame físico observa-se tórax tipo pectus carinatum, com discreta tiragem intercostal; frequência respiratória = 32 irpm; Frequência cardíaca=100 bpm; ausculta pulmonar com sibilos difusos. Na sala de Emergência, diante do paciente com crise asmática, além do quadro clínico, consideram-se como procedimentos objetivos importantes para avaliação da gravidade, a realização, quando possível, de
Answer
  • radiografia de tórax e medida do pico de fluxo expiratório ( PFE ).
  • radiografia de tórax e saturação de oxigênio no sangue arterial por gasometria ou oximetria de pulso ( SatO2 ).
  • hemograma e saturação de oxigênio no sangue arterial por gasometria ou oximetria de pulso ( SatO2 ).
  • medida do pico de fluxo expiratório ( PFE ) e saturação de oxigênio no sangue arterial por gasometria ou oximetria de pulso ( SatO2 ).
  • eletrocardiograma e medida do pico de fluxo expiratório ( PFE ).

Question 12

Question
Revalida - 2011 Um homem, com 68 anos de idade, tabagista de 40 cigarros/dia, com história de dispneia, tosse produtiva e expectoração catarral abundante, chega à Unidade de Pronto Atendimento, com piora súbita da dispneia e da frequência da tosse . Na avaliação clínica você deve investigar as causas de piora, entre elas, devemos considerar como a mais frequente
Answer
  • a infecção respiratória viral.
  • a tromboembolia pulmonar.
  • a pneumonia por germes oportunistas.
  • o cor pulmonale.
  • o pneumotórax espontâneo seguido de infecção.

Question 13

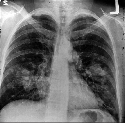
Question
Revalida - 2012 Um paciente do sexo masculino, 55 anos de idade, tabagista 60 maços/ano, com tosse crônica há mais de 10 anos, relata que há cerca de três meses observou a presença de sangue na secreção eliminada com a tosse. Refere ainda perda de cerca de 15% do peso habitual nesse mesmo período, anorexia, adinamia e sudorese noturna. A radiografia de tórax realizada por ocasião da consulta é mostrada abaixo. Qual a hipótese diagnóstica mais provável nesse caso?
Answer
  • Aspergilose pulmonar.
  • Carcinoma pulmonar.
  • Tuberculose cavitária.
  • Bronquiectasia com infecção.
  • Doença pulmonar obstrutiva crônica.
Show full summary Hide full summary

Similar

Sistema Cardiovascular: Artérias, Veias e Capilares
Natália Abitbol
Anatomia: sistema esquelético I
Natália Abitbol
Processo de Cicatrização
Letícia Silva
Anatomia Artérias
Filipe Brito
Regras NBRs
Maria Clara Oliveira
Anatomia membro inferior - Ossos, acidentes e movimentos
vitorstoco
SIMULADO - Casos Clínicos
Rodrigo Gouvea
AVALIAÇÃO TEÓRICA 13 DE MARÇO
Residencia CM HBDF
DESENVOLVIMENTO EMBRIONÁRIO
Vanessa Palauro
Escala de Coma de Glasgow
Vanessa Palauro
DOENÇA MENTAL E TRATAMENTO -Texto 16
eleuterapara