null
US
Sign In
Sign Up for Free
Sign Up
We have detected that Javascript is not enabled in your browser. The dynamic nature of our site means that Javascript must be enabled to function properly. Please read our
terms and conditions
for more information.
Next up
Copy and Edit
You need to log in to complete this action!
Register for Free
4265753
POCUS IQ test
Description
Test you POCUS (Point of care ultrasound ) IQ
No tags specified
pocus
ultrasound
ivc
aorta
emergency
pleural effusion
Quiz by
Tongtaa Lum
, updated more than 1 year ago
More
Less
Created by
Tongtaa Lum
almost 10 years ago
41
0
0
Resource summary
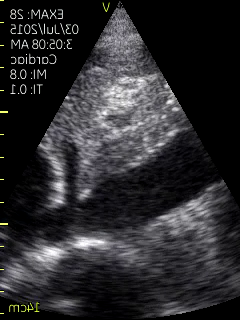
Question 1
Question
What is this organs? (Black hypoechoic)
Image:
660a4f41-f65a-4d42-b412-bf7315ce7ccc (image/png)
Answer
IVC
Aorta
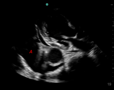
Question 2
Question
Area B is... ?
Image:
31846c28-3f62-43fa-af6a-8bc2602983ec (image/png)
Answer
Pericardial Effusion
Pleural Effusion
Show full summary
Hide full summary
Want to create your own
Quizzes
for
free
with GoConqr?
Learn more
.
Similar
ABDOMINAL VASCULATURE
Elesa Zimmerly
THE HEART labelled
offintowonderland
B7: The Heart
FCox143
Imaging in Gynaecology
Matthew Coulson
Doppler ultrasound in obstetrics
Danny Tucker
Antenatal Care and Screening in Pregnancy
Matthew Coulson
Cervical Cancer Screening & Colposcopy
Matthew Coulson
Violence, Aggression & Legislation
Matthew Coulson
GCSE AQA Physics 3 Medical Applications
Lilac Potato
Heart Left Side
Charlie Stewart
The Heart
lingox
Browse Library