null
US
Sign In
Sign Up for Free
Sign Up
We have detected that Javascript is not enabled in your browser. The dynamic nature of our site means that Javascript must be enabled to function properly. Please read our
terms and conditions
for more information.
Next up
Copy and Edit
You need to log in to complete this action!
Register for Free
5156118
Oftalmología cristalino
Description
Prueba tus conocimientos de oftalología con este test de cristalino
No tags specified
cristalino
oftalmología
medicina
uamed
oftalmología
Quiz by
Néstor Orlando Pérez López
, updated more than 1 year ago
More
Less
Created by
Néstor Orlando Pérez López
over 9 years ago
133
3
0
Resource summary
Question 1
Question
¿Qué estructura esta señalada?
Image:
0795d8bb-2212-47aa-a113-e11cb62a3603 (image/jpeg)
Answer
Cornea
Iris
Pupila
Cristalino
N. Optico
D. Optico
Question 2
Question
¿Qué estructura esta señalada?
Image:
6e29da6a-fbf8-411f-a7d1-e57dc5fdf895 (image/jpeg)
Answer
D. Optico
N. Optico
Iris
Conjuntiva
Macula
Question 3
Question
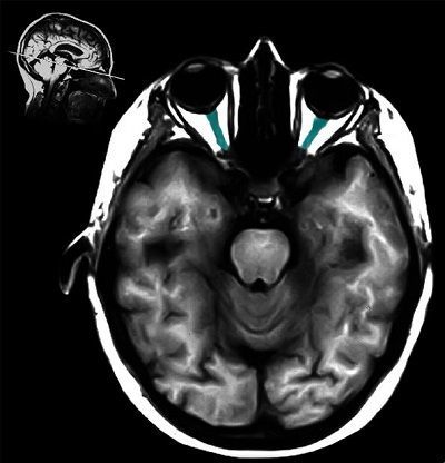
¿Qué estructura esta señalada?
Image:
d6e887c8-6c5e-4242-a367-7ba3c83cc636 (image/jpeg)
Answer
Cristalino
Retina
N. Optico
Pulia
Córnea
Question 4
Question
¿Qué estructura esta señalada?
Image:
d65befd4-d0e3-4035-b228-39123a4ee8d0 (image/jpeg)
Answer
Globulo Ocular
N. Optico
M. Ciliar
M. Recto
Question 5
Question
El cristalino deriaba del mesodermo
Answer
True
False
Question 6
Question
El cristalino tiene la capacidad de cambiar de forma
Answer
True
False
Show full summary
Hide full summary
Want to create your own
Quizzes
for
free
with GoConqr?
Learn more
.
Similar
Oftalmología - ENARM
Emilio Alonsooo
Anatomía cabeza
Diego Santos
Anatomía cabeza
maca.s
Definiciones CARDIOLOGÍA
Vivi Riquero
T9. Enfermedades Inflamatorias
Vivi Riquero
Fichas para oposiciones de auxiliar de enfermería
leyvamiri
Hematología - ENARM
Emilio Alonsooo
Infecciones Quirúrgicas
Exero
FUNDAMENTOS DE LA EMBRIOLOGÍA.
fperezartiles
Tema 15: Características del sistema respiratorio
Marlopcar López
Alergología - Práctica para el ENARM
Emilio Alonsooo
Browse Library