Estafilococos

Description

BACTERIOLOGIA Flashcards on Estafilococos, created by Mauricio Aguilar Paredes on 02/11/2016.
Mauricio Aguilar Paredes
Flashcards by Mauricio Aguilar Paredes, updated more than 1 year ago
Mauricio Aguilar Paredes
Created by Mauricio Aguilar Paredes about 9 years ago
122
2

Resource summary

Question Answer
Son descritos por Koch en 1878 Cultivados por Pasteur en 1880 Estafilococos
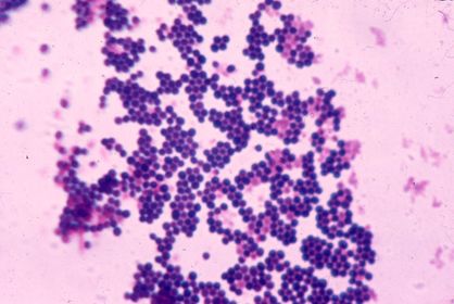
Caracteristicas de Estafilococos Forma de grano Agrupados en racimos Gram positivo NO esporas, pilis ni flagelos Aerobios y anaerobios
Especies del genero Staphylococcus Staphylococcus aureus Staphylococcus epidermidis Staphylococcus saprophyticus
Como se diferencia S. aureus de las demas especies Es debido a la produccion de coagulasa, que hace que la fibrina se aglomere y forme un coagulo
Definicion de coagulasa Proteina que coagula el plasma citrado u oxalatado con factores presentes en el suero sanguineo.
Que sintomas produce la colonizacion de este genero en el hombre Impetigo Forunculo Celulitis Abscesos Antrax estafilococico Impetigo buloso
Descripcion de impetigo Se caracteriza por la maceracion de la piel, formacion de una papula eritematosa, dolorosa que evoluciona para formar una costra con eritema periferico, con lesiones satelite y adenitis regional.
Descripcion de forunculo Pequeño absceso de la piel y el tejido celular subcutaneo, es doloroso, la piel que lo cubre es lisa y eritematosa, y puede romperse y drenar secrecion purulenta
Descripción de celulitis Proceso infeccioso inflamatorio de los tejidos blandos que se incia en un foco y se disemina progresivamente a los tejidos mas laxos, generalmente drena en forma tardia.
Descripcion de absceso Coleccion purulenta en una bolsa fibrotica.
Descripcion de antrax estafilococico Se observa en la region de la nuca, son pequeños abscesos multiples interconectados y por un infiltrado en tejido celular subcutaneo muy importante.
Descripcion de impetigo buloso Formacion de bulas de 3 a 4 cm que contienen liquido y aire, que al romperse drenan liquido amarillento para formar una costra rodeada de zona eritematosa. Se deben a la toxina epidermolitica y la toxina exfoliativa.
Resultado de las pruebas patogenas de el genero Staphyloccus Oxidasa negativo Catalasa positvo
Acido glucosaminouronico Principal factor de la capsula de S. aureus
Tratamiento para genero staphylococcus Antimicrobianos resistentes a beta lactamasas. Dicloxacilina Cefalosporinas Vancomicina Eritromicina
Show full summary Hide full summary

Similar

TEST MICROBIOLOGÍA e INMUNOLOGÍA
VICTOR MANUEL VITORIA RUIZ
Otras bacterias microbiología
Paula Boix
Treponema Pallidum
Nadim Bissar
Proceso de congelación de cepas
Victor Perez Bravo
Esterilización, desinfección y antisepsia
ana.karen94
Clasificación, estructura y replicación de las bacterias
ana.karen94
LAS BACTERIAS
ARMANDO SILVA PACHECO
Farmacos antiparasitarios
Sergio Sauceda
Flora microbiana comensal y patógena en el ser humano
ana.karen94
LAS BACTERIAS
Karla S.F
Proceso de aislamiento y purificacion de cepas
Victor Perez Bravo