Histo Exam 1 - Klink

Description

Histology Flashcards on Histo Exam 1 - Klink, created by Megan Popp on 21/01/2017.
Megan Popp
Flashcards by Megan Popp, updated more than 1 year ago
Megan Popp
Created by Megan Popp almost 9 years ago
401
1

Resource summary

Question Answer
describe this type of epithelium stratified squamous nonkeratinized epi. LM
Describe this type of epithelium simple squamous
describe this type of epi simple cuboidal
describe the type of epi simple columnar
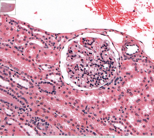
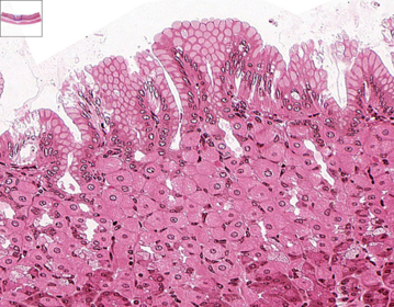
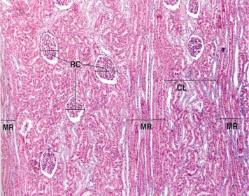
where is this located? Now describe it based on location. Simple squamous epi lining the Bowman's Capsule of Kidney "Spaghetti and meatballs"
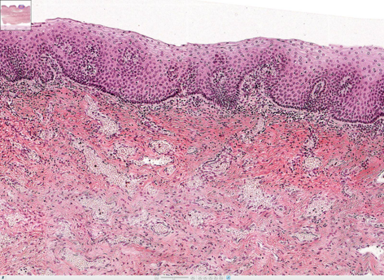
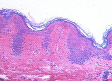
Thin Keratinized tissue
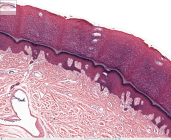
THICK keratinized tissue, like on palm of hand
Describe this type of epi Stratified cuboidal Location: seat glands and ducts
Describe this type of epi Transitional epithelium Dome shaped cells on top layer, some can be binucleated
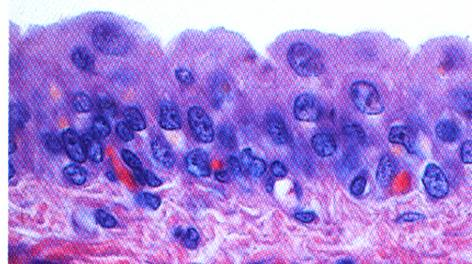
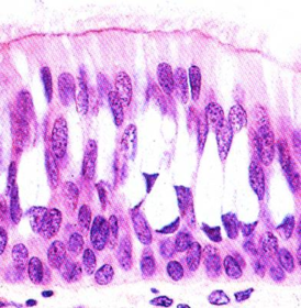
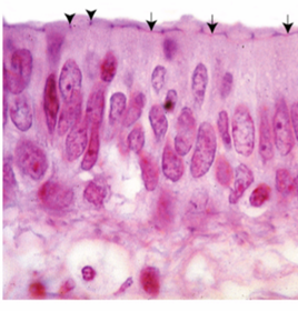
name this type of epi PCCE Pseudostratified ciliated columnar epi
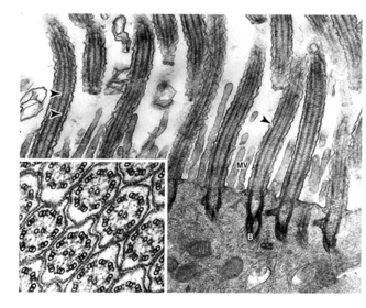
What is this? what is the fuzzy gray stuff between the two? microvilli Glycocalyx
What is the line connecting the bottoms of the microvilli? Terminal Web
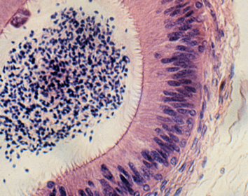
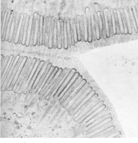
When you look at this think "sperm" so then you know its in the epididymis, so it has to have stereocilia
What is the cone shaped parts? sterocillia, found in epididymis
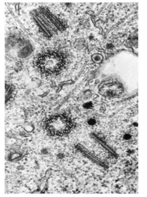
What is this? what are the dark lines within it? B is what? Cillia Darker lines within them are microtubules B- basal body that it grows from Cilia have a 9+2 arrangement
What are the round, hollow structures? Centrioles, the base of cilia, arranged in 9 triplets of microtubules
Describe this epi PCCE
Describe the fuzzy dark stuff on each cell Desmosomes (Macula adherens)
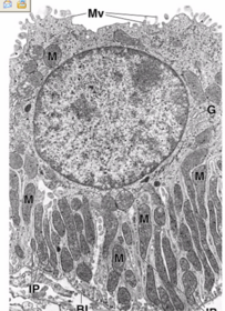
What is the main cell specialization and what is its function? Basal infolding/invagination with longitudinal mitochondria Function: active ion transport/exchange
PCCE
What types of collagen can be seen here? Darker area: BL, type 4 lighter, anchoring: reticular, type 7
ID the tissue lining the tube simple squamous epithelium (endothelium in blood vessels)
What type of tissue surrounds the glomerulus of the kidney? What about away from it? (spaghetti and meat balls) Simple squamous epithelium simple cuboidal epithelium
ID the tissue type simple cuboidal epi
ID the tissue type simple columnar epi
ID the cell surface specialization. Id the tissue on the cell surface Specialization - cilia Type: PCCE, with goblet cells
ID the tissue on the surface (many layers of flat cells) stratified squamous nonkeratinized
ID Tissue on the surface stratified squamous nonkeratinized
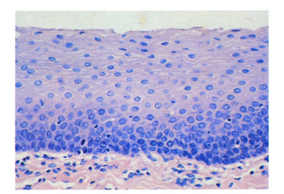
ID tissue on the surface stratified squamous keratinized, this is because they lack cell organelles
ID tissue on the surface Transitional Dome shaped, binucleated
Name the cell specialization flagella
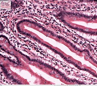
what type of epi? and what is the cell specialization between them? Simple columnar epi, with terminal bars between the columnar cells
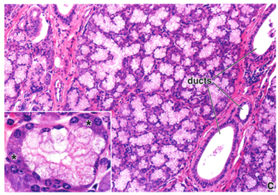
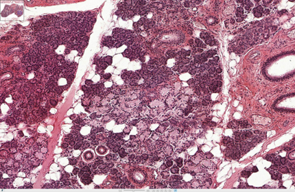
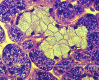
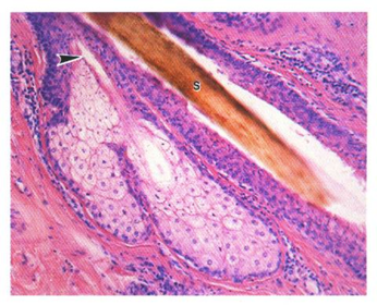
Name the branching of the duct Simple branching acinar Sebaceous gland
Classify this by number of cells unicellular - goblet found in digestive system (colon)
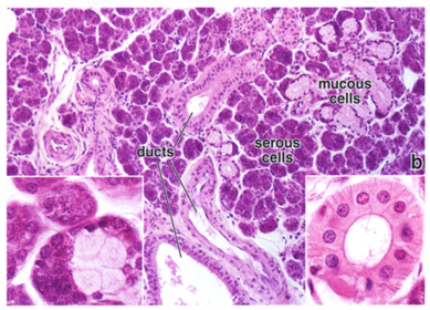
What type of secretion does this cell have? Serous - stained mostly dark purple/pink
Serous cells
what type of secretion does this cell have? mucous
mucous cell
How can you tell what this secretes? It secretes both mucus and serous. You can tell by the serous demilunes that are surrounding the mucus cells
what type of duct is shown by the "*"? intercalated duct, look at the simple cuboidal epi
what kind of duct can you see here? striated duct, look at the simple columnar epithelim
what type of duct is this? interlobular duct - on the outside, has striated columnar epi
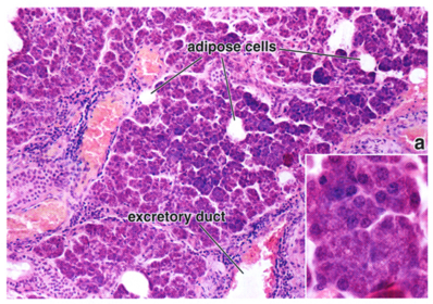
parotid gland lots of fat cells
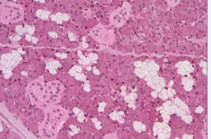
submandibular gland (S,m)
sublingual gland (s, M)
how can you tell this is the parotid gland? it only does serous secretion and you can see fat
What is the mode of secreation?What type of secretion does this do? Salivary glands do MEROCRINE It has less m then S so its submandibular gland that does mixed because you can also see the serous demilune surrounding the mucus cell
All salivary glands have ________ branching compound tubular alveolar
Classify tissue lining tube. What kind of duct? stratified columnar epi interlobular duct in salivary gland
Submandibular - S,m white: fat purple/pink: serous pale in between: mucus
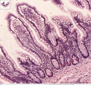
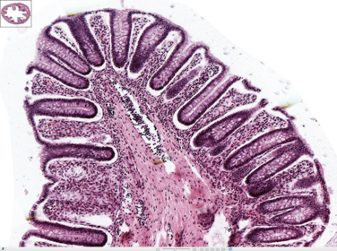
ID type of cell unicellular Goblet cells
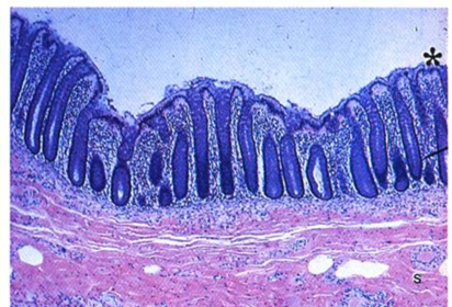
ID surface epi type simple columnar epi on the surface of villi with goblet cells
What type of duct is shown here? simple duct, like a test tube
What type of branching is seen here? simple branch acinar (looks like grapes) - you can also see simple coil tubular in lower right
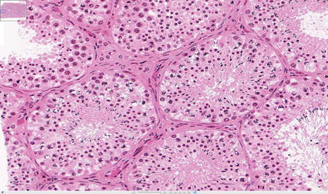
what mode of secretion does this do? sperm in seminiferous tubule does cytocrine secretion whole LIVE cell
Tooth germ, mesenchyme
tooth germ
embryonic mesenchyme
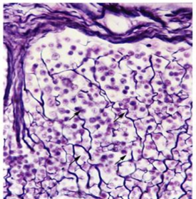
reticular cells with reticular fibers
alveolar microphages
dust cells within macrophages in lungs (black dots)
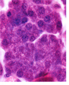
plasma cells
plasma cells have a lot of..... RER
mast cells
mast cells
mast cells
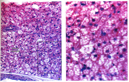
white/yellow fat unilocular adipose tissue
Brown fat with multilocular adipose tissue
collagen and elastin fibers
Name the types of fiber and the collagen type collagen, big bundles so its type 1
silver staining of reticular fibers
reticular fibers
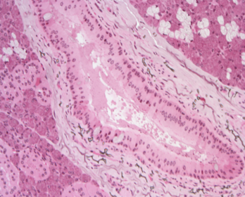
elastic fibers, formed by smooth muscle cells
dark wavy elastic fibers in the walls of the aorta. you can also see fat tissue
Umbilical cord, mucoid tissue all around 2 umbilical arteries and one umbilical vein
Describe the type of CT Loose connective tissue, within the intestines
Describe the type of CT dense, irregular collagenous CT
what are the red fibers? blue dots? Collagen - type 1 blue elongate nuclei are fibroblasts/fibrocysts
Be able to ID the layers
what type of CT? what are the blue dots? Tendon dense regular collagenous CT, collagen type 1 (red) blue dots are fibroblast/fibrocysts
Show full summary Hide full summary

Similar

Histology- Connective Tissue PMU 1st Year
Med Student
Major Tissue Types
adaezelechi
Anatomy Microscope Slides 2nd Test PMU 2nd Year
Med Student
Connective Tissue Long Ans. Questions Histology MCQ 1st Year PMU
Med Student
Histology- Muscle Tissue Long Questions 1st year PMU
Med Student
Histology 1st Year MCQ Slides PMU
Med Student
Histology- Epithelial Tissue PMU 1st Year
Med Student
Histology- Blood Tissue Long Questions- 1st Year
Med Student
Epithelial Tissue Long Questions Histology PMU 1st Year
Med Student
Histology- Nervous Tissue Long Question 1st Year PMU
Med Student
Histology of the Female Reproductive System
Matthew Coulson