MICOBACTERIAS

Description

MICROBIOLOGÍA Flashcards on MICOBACTERIAS, created by estudiante.med.un on 06/10/2014.
estudiante.med.un
Flashcards by estudiante.med.un, updated more than 1 year ago
estudiante.med.un
Created by estudiante.med.un over 11 years ago
63
0

Resource summary

Question Answer
MICOBACTERIAS Actinomycetales mycobacteriaceae mycobacterium - Bacilos ácido-alcohol resistentes - Aerobios estrictos, quimioorganotrofos - No esporulados, inmóviles - Pared abundantes lípidos (ac. micólico, sulfatidos, factor cuerda) - Abundantes gránulos citoplasmáticos
- De crecimiento lento o rápido (> o < 7d) - Mesofílicos (37º) , MAC (24º-45º) - Fuente de Carbono y Energía: GLICEROL - Fuente de N2: ASPARAGINA, GLUTAMATO, GLICEROL
CATALASA + Oxidan GLUCOSA y GLICEROL >> H2O y CO2 MEDIOS DE CULTIVO LÍQUIDOS - PRODUCCIÓN: Sauton Prosicaver Beck Dorset Henley
MEDIOS DE CULTIVO LÍQUIDOS - ENRIQUECIMIENTO: Dubos MSTA Middlebrook 7H9 o 7H12 MGIT MEDIOS DE CULTIVO SÓLIDOS OGAWA HUDOH LOWENSTEIN JENSEN STONEBRING MOD GIRALDO Herrold Agar Middlebrook 7H10 Petragnani Agar Sauton
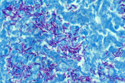
TINSIÓN DE ZIEHL NEELSEN MICOBATERIAS PATÓGENAS * CÁPSULA: proteínas y lípidos. *RESISTENTES: desecación, desinfección, ácidos y álcalis. *SENSIBLES: Calor húmedo y luz solar.
VÍA DE INFECCIÓN: APARATO RESPIRATORIO - Viven y replican en ecosistemas naturales - Susceptibles: HUMANOS COBAYOS
Show full summary Hide full summary

Similar

Otras bacterias microbiología
Paula Boix
Fichas de Microbiología y Biotecnología - Selectividad
LariSa
TEST MICROBIOLOGÍA e INMUNOLOGÍA
VICTOR MANUEL VITORIA RUIZ
PROPIEDADES FÍSICO QUÍMICAS DE LOS VIRUS
Cuauhtémoc Romer
ENVOLTURAS CELULARES
Marina Perigot
toxinas de bacterias
sandyohdez
Clasificación, estructura y replicación de las bacterias
ana.karen94
PRUEBAS DE IDENTIFICACIÓN BACTERIANA
María Belén Huertas Chacón
Infecciones bacterianas en Sistema Nervioso.
Aurea Garcés
Cultivo in vitro: principios y aplicaciones
ana.karen94