|
|
Created by Paula Sampaio
over 7 years ago
|
|
| Question | Answer |
| Fígado normal | |
| Hepatócito com degeneração gordurosa Parênquima hepático Esteatose hepática macrovesicular Não existem outros processos Causas: metabolismo anormal, defeito no dobramento/transp. proteínas, ingesta de materiais indigeríveis | |
| Hepatócito - Parênquima hepático Degenereação gordurosa - Esteatose hep macrovesicular Sem outros processos Causas: metabolismo anormal, defeito no dobramento/transp. proteínas, ingesta de materiais indigeríveis | |
| Fígado - Parênquima hepático Degenereação gordurosa - Esteatose hep macrovesicular Sem outros processos Causas: metabolismo anormal, defeito no dobramento/transp. proteínas, ingesta de materiais indigeríveis | |
| Fígado - Parênquima hepático Degenereação gordurosa - Esteatose hep macrovesicular Sem outros processos Causas: metabolismo anormal, defeito no dobramento/transp. proteínas, ingesta de materiais indigeríveis | |
| O que observar numa lâmina de fígado? | - Espaços porta - Veia centro-lobular - Vacúolos de gordura - Núcleo central x periférico (esteatose) |
| Fígado - parênquima hepático Degeneração microvesicular - esteatose hepática microvesicular - Esteatose aguda da gravidez Causas: metabolismo anormal, defeito no dobramento/transp. proteínas, ingesta de materiais indigeríveis Obs: hep. + rosinhas são normais | |
| Fígado - parênquima hepático Degeneração microvesicular - esteatose hepática microvesicular Esteatose aguda da gravidez Causas: metabolismo anormal, defeito no dobramento/transp. proteínas, ingesta de materiais indigeríveis | |
| Fígado - parênquima hepático Degeneração microvesicular - esteatose hepática microvesicular Esteatose aguda da gravidez Causas: metabolismo anormal, defeito no dobramento/transp. proteínas, ingesta de materiais indigeríveis Obs: podem ter pigmento biliar | |
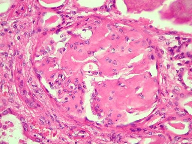
| Rim normal | |
| Rim - Parênquima cortical ( tem glomérulo) Degeneração hialina - Amiloidose (deposição de material eosinofílico amorfo) Causas: metabolismo anormal, defeito no dobramento/transp. proteínas, ingesta de materiais indigeríveis | |
|
Image:
Dscn4805+ (image/jpeg)
|
Rim - Parênquima cortical Degeneração hialina - Amiloidose Causas: metabolismo anormal, defeito no dobramento/transp. proteínas, ingesta de materiais indigeríveis |
|
Image:
Dviimio2 (image/jpeg)
|
Coração normal |
|
Image:
Dviimio3 (image/jpeg)
|
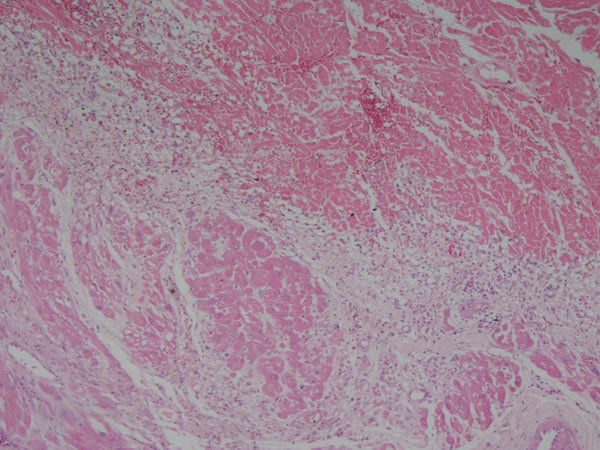
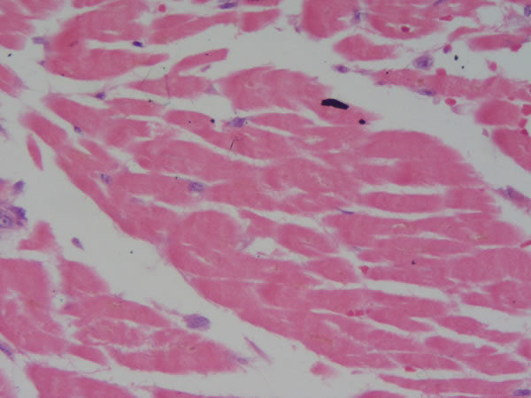
Coração - Tecido Muscular estriado Necrose de coagulação - Infarto Miocárdio Você tbm encontra: maior eosinofilia, degeneração, acúmulo de lipofucsina, hemorragia, leucócitos Causas: Hipóxia, isquemia |
|
Quais os mecanismos que explicam as alterações vistas nessa lâmina?
Image:
Dviimio6 (image/jpeg)
|
IAM - depleção de ATP, isquemia prolongada, lesão mitocondrial,acúmulo de radicais livres, defeitos na permeabilidade de membranas. |
|
http://www.medicina.ufba.br/patologia_i/microscopia/ampliar/dviimio5.jpg
Image:
Dviimio5 (image/jpeg)
|
Coração - Tecido Muscular estriado Necrose de coagulação - IAM Você tbm encontra: maior eosinofilia, degeneração, acúmulo de lipofucsina, hemorragia, leucócitos Causas: hipóxia, isquemia |
|
Image:
Dviimio1 (image/jpeg)
|
Coração - interface entre células normais (em baixo) e necróticas (em cima) |
|
Image:
Neccaseo1 (image/jpeg)
|
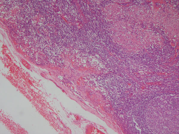
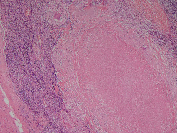
Linfonodo - tecido linfoide Necrose caseosa (parte rosinha no meio) - tuberculose ganglionar Causas: Histoplasmose, sarcoidose Outros achados: inflamação crônica (granuloma) |
|
Image:
Neccaseo4 (image/jpeg)
|
Linfonodo -Tecido linfoide Necrose caseosa - tuberculose Outros achados: Infl. crônica - Granuloma epitelioide (rosinha, a parte roxa é normal) |
|
Image:
Neccaseo2 (image/jpeg)
|
Linfonodo -Tecido linfoide Necrose caseosa (centro rosa)- tuberculose Outros achados: Infl. crônica - Granuloma epitelioide |
| Linfonodo -Tecido linfoide Necrose caseosa - tuberculose Outros achados: Infl. crônica - Granuloma epitelioide | |
|
Image:
Image (binary/octet-stream)
|
Linfonodo normal |
|
Image:
Iaapend1 (image/jpeg)
|
Apêndice cecal normal |
|
Image:
Iaapend3 (image/jpeg)
|
Apêndice cecal - Epitélio cilíndrico simples, tec. conjuntivo e muscular liso. Infl. aguda - apendicite aguda Mucosa preservada e luz do órgão preenchida por exsudado fibrino-leucocitário com hemorragia Causas: infec. necrose, reação imune |
|
Image:
Iaapend5 (image/jpeg)
|
Apêndice cecal - Epitélio cilíndrico simples, tec. conjuntivo e muscular liso. Infl. aguda - apendicite aguda exsudato com predominância de neutrófilos e tbm com hemácia Outros achados: hemorragia Causas: infec. necrose, reação imune |
|
Image:
Iaapend7 (image/jpeg)
|
Apêndice cecal - epit. cilindrico simples, tec. conjuntivo e m. liso Inflamação aguda -apendicite Inflamação alcançou a parede do apêndice, predominam neutrófilos Causas: infec. necrose, reação imune |
|
Image:
Iaapend14 (image/jpeg)
|
Apêndice cecal - epit. cilindrico simples, tec. conjuntivo e m. liso Inflamação aguda -apendicite Inflamação alcançou o meso-apêndice, predominam neutrófilos Causas: infec. necrose, reação imune |
|
Image:
Iaapend17 (image/jpeg)
|
Apêndice cecal - epit. cilindrico simples, tec. conjuntivo e m. liso Inflamação aguda -apendicite Congestão vascular e marginação de leucócitos Causas: infec. necrose, reação imune |
|
Image:
Iabronco1 (image/jpeg)
|
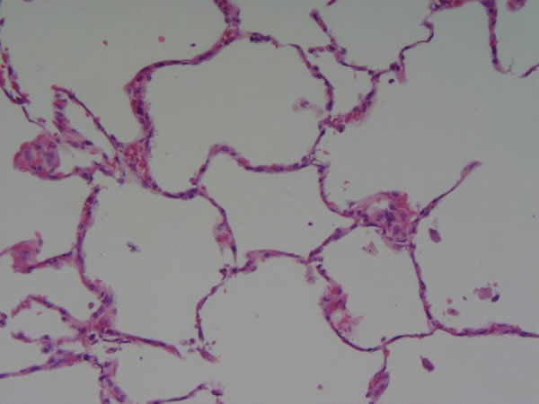
Pulmão - Parênquima pulmonar normal |
|
Image:
Iabronco2 (image/jpeg)
|
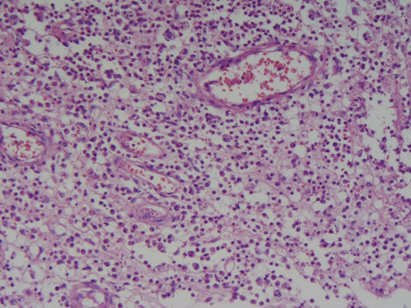
Pulmão - parênquima pumonar Inflamação aguda - pneumonia bact. Causas: Infecção bacteriana, fúngica, vírus, corpo estranho, reações de hipersensibilidade Causas: infec. necrose, reação imune |
|
Image:
Iabronco8 (image/jpeg)
|
Pulmão - Parênquima pulmonar Inflamação aguda -pneumonia Outros achados: congestão vascular em septos alveolares Causas: infec. necrose, reação imune |
| Pulmão -Parênquima pulmonar Inflamação aguda - pneumonia Causas: infec. necrose, reação imune | |
|
Image:
Icesquis1 (image/jpeg)
|
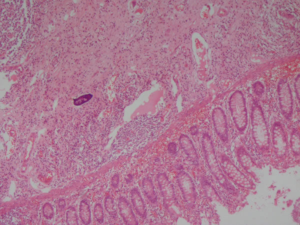
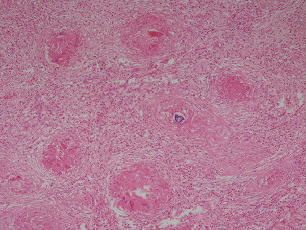
Intestino grosso - Epit. cilíndrico simples Inflamação crônica granulomatosa- granuloma por esquistossomose (form tumoral) Causas: Infecções persistentes, reação de hipersensibilidade, exp. agentes tóxicos |
|
Image:
Icesquis3 (image/jpeg)
|
Intestino grosso - epit cilindrico simples Infl. crônica granulomatosa granulomas são as partes mais eosinofílicas. pequeno aumento Causas: Infecções persistentes, reação de hipersensibilidade, exp. agentes tóxicos |
|
Image:
Icesquis5 (image/jpeg)
|
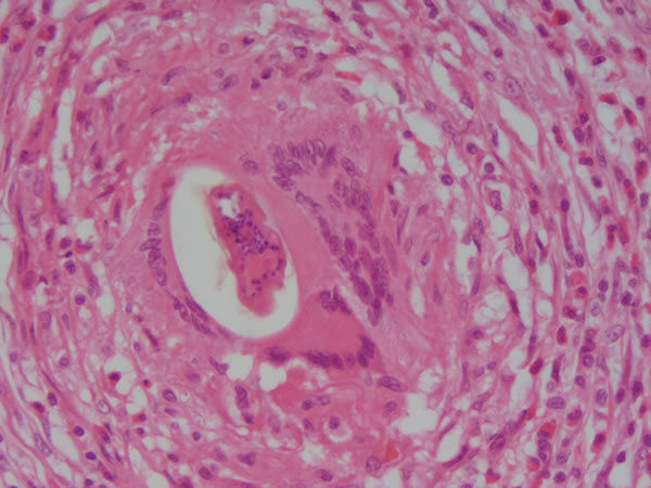
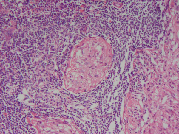
Intestino grosso - epit. cilindrico simples Infl. cronica granulomatosa Ovo calcificado de S. mansoni no centro de um granuloma Causas: Infecções persistentes, reação de hipersensibilidade, exp. agentes tóxicos |
|
Image:
Icesquis7 (image/jpeg)
|
Intestino grosso -epit. cilindrico simples/ mucosa e submucosa Infl. crônica granulomatosa Macrófago multinucleado englobando ovo de S. mansoni |
|
Image:
Icsarco3 (image/jpeg)
|
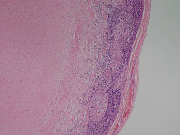
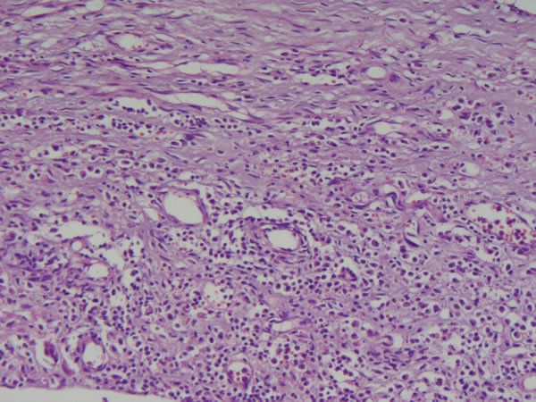
Linfonodo - tecido linfoide Inflamação crônica - granuloma epitelioide Causas: Infecções persistentes, reação de hipersensibilidade, exp. agentes tóxicos |
|
Image:
Icsarco6 (image/jpeg)
|
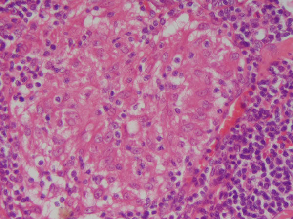
Linfonodo - tecido linfoide Infl. crônica - sarcoidose grande aumento Causas: Infecções persistentes, reação de hipersensibilidade, exp. agentes tóxicos |
| Linfonodo - tec. linfoide Inflamação crônica - sarcoidose Causas: Infecções persistentes, reação de hipersensibilidade, exp. agentes tóxicos | |
| Linfonodo - tecido linfoide Infl. crônica granul. - Linfadenite crônica granul. Causas: Infecções persistentes, reação de hipersensibilidade, exp. agentes tóxicos | |
|
Image:
Icinesp1 (image/jpeg)
|
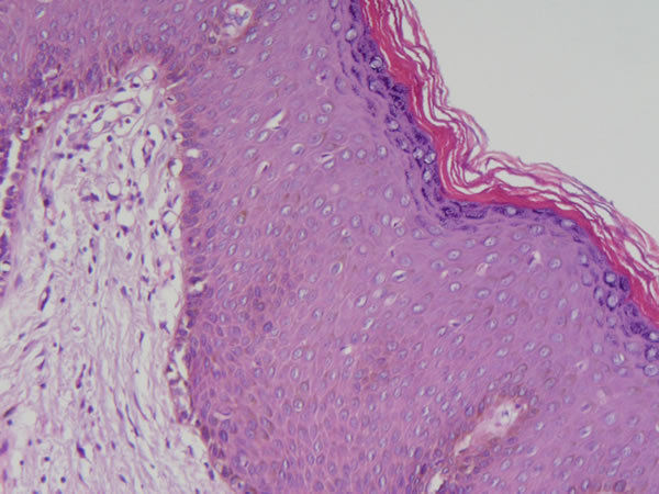
Pele - epit. pavimentoso estratificado normal |
|
Image:
Icinesp2 (image/jpeg)
|
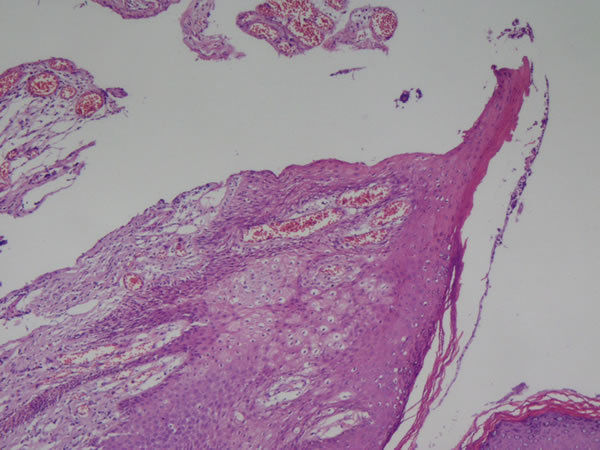
Pele - tec. pavimentoso estratificado, conj, e de granulação Reparo - fístula cutânea Outros achados: inflâmação crônica, inflamação aguda (apresenta área de solução de continuidade no centro) |
| Pele - tec. pavim. estratif., conj. e tecido de granulação Reparo - Fístula cutânea Causa: inf. bacteriana, Crohn | |
|
Image:
Icinesp5 (image/jpeg)
|
Pele - tec. pavim. estratif., conj. e tecido de granulação Reparo - Fístula cutânea Foco no tecido de granulação (novos vasos, muitas células de defesa) |
|
Image:
Icinesp9 (image/jpeg)
|
Pele - tec. pavim. estratif., conj. e tecido de granulação Reparo - Fístula cutânea Na parte de cima é o tecido já organizado/cicatrizado (mto fibroblasto) e na parte de baixo é tec. de granulação |
|
Image:
Image (binary/octet-stream)
|
Fígado normal Seta vermelha: art. hepatica Seta azul: veia porta Seta verde: ducto biliar |
| Fígado - parênquima hepático Seta vermelha: área de necrose de coagulação (hep. sem núcleo, hipereosinofilia) Seta amarela: hepatócitos preservados mas com esteatose/degeneração gordurosa | |
|
Image:
Rcirr2 (image/jpeg)
|
Fígado - parenquima hepático Reparo - Cirrose hepática Nódulos hepáticos delimitados por necrose Causa: isquemia |
| Fígado - parênquima hepático,tec conj. (fibrose - septos fibrosos + claros) Reparo por fibrose - Cirrose hepática Nódulo circundado por tecido fibrótico Causas: Inflamação aguda e crônica Achados: necrose coag, infl crôn., degeneração (esteatose microvesicular) | |
| Figado - parenquima hep., tec. conj Reparo por fibrose - Cirrose hepática Causas: inflamação crônica ou aguda com lesão do tecido Achados: infl. crôn, degeneração, necrose de coagulação | |
| Em que um fígado cirrótico difere do normal? | Perda da estrutura dos hepatócitos, pseudolóbulos com necrose de coag e reparo, limitados por tecido fibrótico; degenerações (gordurosa, hialina, balonização), infiltrado inflamatório crônico inespecífico, prolif. ductos biliares |
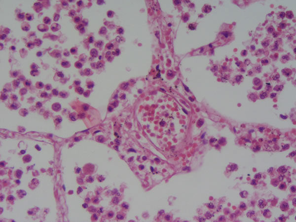
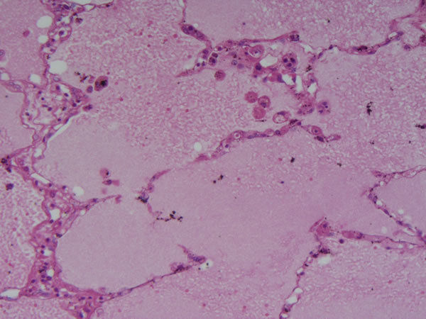
| Lâmina de pulmão com edema pulmonar | |
| Pulmão - parênquima pulmonar Edema - edema agudo de pulmão Causas: aumento da permeabilidade vascular | |
|
Image:
Dviedpul3 (image/jpeg)
|
Pulmão - parênquima pulmonar Edema - edema agudo de pulmão alvéolos cheios de líquido eosinofílico Causa: aumento da permeabilidade vascular |
|
Image:
Dviedpul6 (image/jpeg)
|
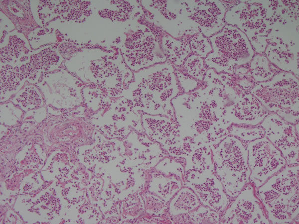
Pulmão - parênquima pulmonar Edema - edema agudo de pulmão Achados: Hemorragia intra-alveolar Causa: aumento permeabilidade vascular |
| Pulmão -parênquima pulmonar Edema - edema pulmonar Achados hemorragia, acúmulo de pigmento | |
| Lâmina de fígado com congestão passiva | |
|
Image:
Dvicong2 (image/jpeg)
|
Fígado - parênquima hepático Congestão - congestão passiva do fígado Causa: Redução do efluxo sanguíneo -> sangue passa mais devagar Obs: congestão menos acentuada nas áreas periportais |
| Fígado - parênquima hepático Congestão - Congestão passiva (arquitetura lobular mantida) Causa: Redução do efluxo sanguíneo -> sangue passa mais devagar | |
| Pulmão Congestão passiva do pulmão Causa: Redução do efluxo sanguíneo -> sangue passa mais devagar | |
| Fígado -parênquima hepático Congestão -congestão passiva do fígado Causa: Redução do efluxo sanguíneo -> sangue passa mais devagar | |
| Fígado - parênquima hepático Congestão - congestão passiva crônica Região centrolobular: mta hemácia pouco hepatócito Causa: Redução do efluxo sanguíneo -> sangue passa mais devagar | |
| Lâmina de vaso - trombose | |
| Lâmina de leiomioma | |
| Não é possível id. - vasos, tec muscular liso Prolif celular, hiperplasia neoplasia - neoplasia benigna/Leiomioma Causas: predisposição genética, tabagismo, idade, | |
| Lâminas de anaplasia | |
|
Image:
Nianap1 (image/jpeg)
|
Não é possível id. - células indiferenciadas Anaplasia - tumor maligno indiferenciado |
| Não é possívei id - Células pleomórficas, mitoses atípicas, vasos, áreas de necrose, células com citoplasma escasso e núcleos grandes, hipercromasia nuclear Neoplasia maligna indiferenciada | |
| Lâmina de mama/linfonodo | |
| Mama normal (parte roxa: ducto mamário) + tecido adiposo + tecido fibroso | |
| Mama - tecido adiposo, tecido glandular, tec fibroso Neoplasia - | |
| Mama - tec. glandular, adiposo e fibroso Neoplasia - câncer de mama Seta de cima é o câncer bem diferenciado e seta de baixo é o normal | |
| Mama - tec adiposo, glandular e fibroso Neoplasia - carcinoma invasivo de mama (notar pleomorfismo do núcleo e nucléolo evidente - seta vermelha) Outros achados: infl. crônica | |
| Mama - tec adiposo, glandular e fibroso Neoplasia - carcinoma invasivo de mama Centro: ninho de células epiteliais neoplásicas; seta azul: diferenciação ductal, seta preta: infiltrado de linfócitos | |
| Linfonodo - tecido linfoide, células neoplásicas indiferenciadas (?) Neoplasia - metástase de neoplasia de mama Parte mais escura: normal; parte mais clara: metástase | |
| Linfonodo - tecido linfoide, células neoplásicas indiferenciadas (?) Neoplasia - metástase de neoplasia de mama Parte mais escura: normal; parte mais clara: metástase | |
| Linfonodo - tecido linfoide, células neoplásicas indiferenciadas (?) Neoplasia - metástase de neoplasia de mama Área central: necrose do tumor, reca em neutrófilos | |
| Mama - tec glandular, adiposo e fibroso Neoplasia - carcinoma invasivo de mama | |
| Mama - tec adiposo, glandular, Neoplasia - carcinoma invasivo de mama | |
| Mama - tec adiposo, fibroso e glandular Neoplasia - carcinoma invasivo de mama | |
|
Image:
Niiadeno1 (image/jpeg)
|
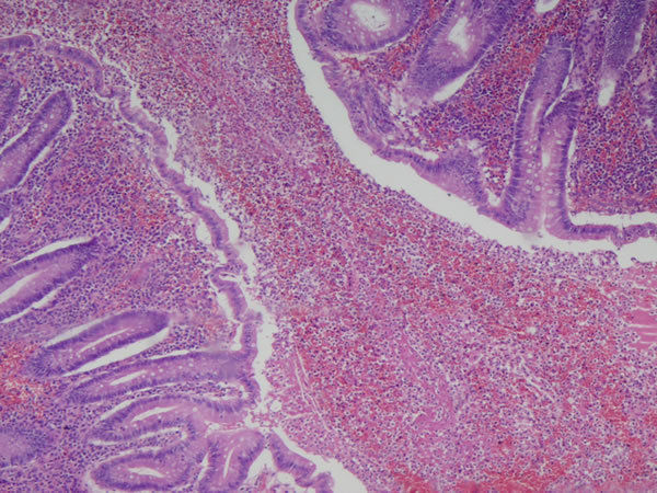
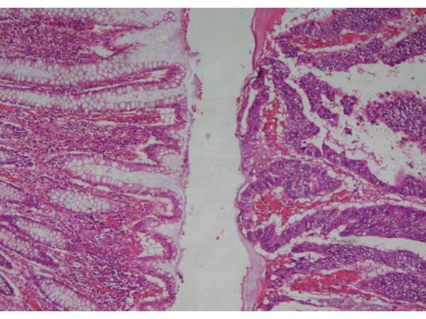
Intestino grosso - epitélio cilíndrico simples + epitélio secretor (células caliciformes) Neoplasia -adenocarcinoma de cólon Lado esquerdo: intestino normal Lado direito: Neoplasia |
|
Image:
Niiadeno3 (image/jpeg)
|
Intestino grosso - Neoplasia - adenocarcinoma de cólon Note que as células neoplásicas não têm produção de muco. Epitélio pseudo-estratificadoe há aumento da relação núcleo/citoplasma e da densidade da cromatina |
|
Image:
Niiadeno5 (image/jpeg)
|
Intestino grosso Neoplasia - adenocarcinoma de cólon Células neoplásicas invadiram a camada muscular lisa |
|
Image:
Niiadeno8 (image/jpeg)
|
Intestino grosso Neoplasia -adenocarcinoma de colon Células neoplásicas invadindo submucosa Notar as células normais no canto superioe esquerdo |
| A | Intestino grosso Neoplasia - adenocarcinoma de colon bem diferenciado Outros achados: necrose, infl. aguda e crônica Lado D normal Lado E neoplásicas |
| Lâmina de pulmão - bronquiectasia | |
| Pulmão - Reparo por fibrose ? - bronquiectasia Outros achados: inflamação aguda Causas: | |
| Bronquiectasia associada à pneumonia - Reparo por fibrose? Outros achados: Inflamação aguda e crônica | |
| Lâmina de Pulmão - neoplasia Outros achados: Necrose, hemorragia, processo inflamatório crônico, núcleos pleomorficos. | |
| Lâmina de pulmão -neoplasia pulmonar Outros achados: Necrose, hemorragia, processo inflamatório crônico, núcleos pleomorficos. |
Want to create your own Flashcards for free with GoConqr? Learn more.