|
|
Created by Melissa Carrington
over 8 years ago
|
|
| Question | Answer |
| Myelocyte | |
| Metamyelocyte | |
| Myeloblast | |
| Band | |
| Megakaryoctye | |
| Metarubricyte (NRBC) | |
| Polychromatophil | |
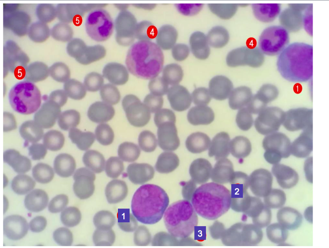
| 5-segmented neut 4- band neut 3-Metamyelocyte 2. Myelocyte 1- Myeloblast | |
| Echinocyte | |
| Acanthocyte | |
| Dacrocytes | |
| Keratocytes (helmet cells) | |
| Howell Jolly Bodies | |
| Black arrows - target cells Blue arrow: Lymph | |
| Heinz bodies - dont stain w/ diff *stain with new meth | |
| rouleaux | |
| Schistocytes | |
| Metarubricyte (NRBC) | |
| Spherocytes | |
| Neuts showing toxic changes Basophilic cytoplasm | |
| Atypical lymphs | |
| Reactive Lymph | |
| Inclusion bodies (Morula) Ehrlichia or anaplasma most common (purple inclusions) | |
| Inclusion Bodies Canine Distemper = pink inclusion bodies |
Want to create your own Flashcards for free with GoConqr? Learn more.