MIASTENIA GRAVIS

Description

mapa conceptual de fisiopatologia de la miastenia gravis
Lizkath
Mind Map by Lizkath, updated more than 1 year ago
Lizkath
Created by Lizkath almost 11 years ago
350
0

Resource summary

MIASTENIA GRAVIS
  1. Fisiopatología
    1. Caracterizado por la presencia de anticuerpos contra los receptores de acetilcolina o de proteínas involucradas en la región postsináptica de la placa motora.
      1. Los potenciales de placa son insuficientes para generar potenciales de acción en las fibras musculares,
        1. Falla en la trasmisión neuromuscular
      2. Se desconoce el origen preciso de la respuesta autoinmune en la miastenia gravis
        1. Anormalidades en el timo (hiperplasia y neoplasia)
          1. Predisposición genética.
            1. Pero se la asocia a:
            2. La pérdida de los acetilcolinaR funcionales da como resultado la disminución de la amplitud de la placa terminal.
              1. Los hallazgos más consistentes son la asociación de HLA-DR3 y alelos B88.
                1. También se ha encontrado una asociación entre DR14-DQ5 y pacientes con autoanticuerpos anti-MuSK.
                2. CONCEPTO
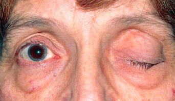
                  1. La miastenia gravis es una enfermedad autoinmune neuromuscular que afecta la placa motora caracterizada por debilidad y fatiga de los músculos esqueléticos.
                  2. Su latín significa: debilidad muscular grave
                    1. La unión neuromuscular
                      1. Componentes
                        1. El nervio presináptico, donde se sintetiza la acetilcolina, almacena y libera
                          1. El espacio sináptico
                            1. La membrana muscular postsináptica, que contiene los acetilcolina-R y la enzima acetilcolinesterasa.
                          2. Se han descrito múltiples hipótesis que tratan de explicar el mecanismo por el que se desarrolla
                            1. La hipótesis autoinmune se fundamenta
                              1. A partir de la producción de anticuerpos (Ac)
                                1. Contra receptores de Acetilcolina (AchR) en ciertos tipos de pacientes
                              2. Una segunda hipótesis está relacionada con una elevada activación de marcadores de inflamación observados en pacientes con MG
                                1. Lo que demuestra un sustento más, sobre la hipótesis de una respuesta crónica y sistémica que incluye diferentes subtipos de células T CD4+
                              Show full summary Hide full summary

                              Similar

                              MIASTENIA GRAVIS FISIOPATOLOGIA
                              Jhacksson Smit Cordova Agurto
                              MIASTENIA GRAVIS
                              Luis Carmen
                              NEUMONÍA ADQUIRIDA EN LA COMUNIDAD (NAC)
                              Mary Coronel
                              CLIMATERIO
                              Mary Coronel
                              INSUFICIENCIA CARDÍACA
                              Claudia Llorca
                              NEUMONÍA ADQUIRIDA EN LA COMUNIDAD (NAC)
                              Jessica Cristina Ludeña Chamba
                              Tema 15. ENFERMEDADES AUTOINMUNES
                              Claudia Llorca
                              Climaterio y menopausia
                              Arely Contreras
                              T16. HIPERSENSIBILIDADES Y GAMMAPATÍAS
                              Claudia Llorca
                              T10. PATOLOGÍAS DEL SISTEMA VASCULAR PERIFÉRICO
                              Claudia Llorca