Genetics

Description

The study of heredity and variation of inherited characteristics
zoha567
Mind Map by zoha567, updated more than 1 year ago
zoha567
Created by zoha567 over 10 years ago
31
1

Resource summary

Genetics
  1. The study of heredity and variation of inherited characteristics
    1. Gene
      1. Unit of heredity that is transferred from a parent to offspring and is held to determine some characteristics of the offspring
    2. DNA
      1. Molecule of life
        1. Shape
          1. DNA is made up of two strands that are bonded together in a double helix shape
            1. Each strand of DNA consist of nucleotides. Each nucleotide is composed of a sugar, a phosphate and a nitrogenous base.
              1. Sugar and phosphate form backbone of the two strands.
                1. Nitrogenous base pairing
                  1. Guanine-Cytosine
                    1. Adenine-Thymine
            2. Replication
              1. 1. DNA is replicated during Interphase, the double helix unwinds into two seperate strands
                1. 2. After unwinding a complimentary strand is created for each split strand
                  1. 3. Final step is the bonding of the bases. Then two new daughter DNA molecules are formed.
            3. Chromosomes
              1. a threadlike structure of nucleic acids and protein found in the nucleus of most living cells, carrying genetic information in the form of genes
                1. Most species that reproduce sexually have 23 chromosomes from their mother and 23 chromosomes from their father
                  1. Sex chromosomes are the chromosomes in the egg and sperm. (23 each)
                    1. All other chromosomes are autosomes
                    2. Sexual reproduction
                      1. Production of new living organisms by combining genetic information from two individuals of different sexes
                        1. Asexual reproduction
                          1. Mode of reproduction by which offspring arise from a single organism and inherit the genes of that parent only
                    3. Humans has 2 sets of 23 chromosomes
                      1. Each species has its own number of chromosomes
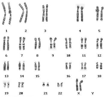
                        1. Karyotype
                          1. Photograph of an individual's chromosomes lined up from longest to shortest with sex chromosomes last
                            1. Used to study genetic diseases, taxonomy, evolutionary relationships etc.
                        2. Chromatin
                          1. The tangled fibrous complex of DNA and protein within a eukaryotic nucleus
                            1. Chromatid
                              1. either of the two strands into which a chromosome divides during mitosis
                                1. Centromere
                                  1. The structure that holds chromatids together
                                  2. Sister Chromatids
                                    1. A chromosome strand and its duplicate attached to each other by a centromere
                            2. Homologous
                              1. Pairs of chromosome that appear similar but are not identical
                                1. One chromosome comes from the mother and the other from the father
                                  1. They carry genes for the same trait
                                    1. They can carry different forms of the same gene, called alleles
                              2. Cell cycle
                                1. Life cycle of a cell
                                  1. 1. Interphase
                                    1. A cell most of its life in interphase, during this stage they will prepare for cell division
                                      1. Cells grow
                                        1. Make structural proteins that repair damaged parts
                                          1. Transport nutrients to where they are needed
                                            1. Eliminate waste
                                              1. Prepare for mitosis by creating proteins
                                                1. DNA will replicate during interphase
                                              2. 2. Cell division
                                                1. Mitosis
                                                  1. Cell division in which the daughter cells receive the same number of chromosomes as the parent cell
                                                    1. Prophase
                                                      1. Metaphase
                                                        1. Anaphase
                                                          1. Telophase
                                                            1. Cytokinesis
                                                              1. Pinching off the cell into two parts and cytoplasm divides
                                                              2. New nuclear membrane forms around each set of chromatids
                                                              3. Chromosomes spilt up and chromatids are pulled to opposite ends of the cell
                                                              4. Chromosomes line up along the center axis of the cell
                                                              5. Nucleolus disappears
                                                                1. Chromatin condenses into chromosomes
                                                                  1. Spindle fibres are formed by centrosomes
                                                                    1. Centrosomes
                                                                      1. Small protein bodies that are found in cytoplasm of animal cells, helps during mitosis
                                                                      2. Spindle fibres
                                                                        1. Protein structures that guide chromosomes during cell division
                                                                2. Meiosis
                                                                  1. Two stage cell division in which the chormosome number of the parental cell is reduced by half, process by which gametes are formed
                                                                    1. Gametes
                                                                      1. Sex cells that have haploid chromosome number
                                                                        1. Haploid
                                                                          1. refers to number of chromosomes in a gamete. ( 23 chromosomes)
                                                                            1. Diploid
                                                                              1. refers to twice the number of chromosomes in a gamete. Evert cell in the body contains diploid chromosomes except the sex cells, ( 46 chromosomes)
                                                                                1. During fertilization, sperm cell ( haploid- n=23) unites with egg cell (haploid - n=23) to produce a diploid (2n=46) zygote
                                                                                  1. zygote
                                                                                    1. a cell resulting from the union of a male and female sex cell, until it divides and then is called an embryo
                                                                    2. Prophase 1
                                                                      1. Homologous chromosomes come together
                                                                        1. Synapsis
                                                                          1. Pairing of homologous chromosomes
                                                                        2. Each pair is made up of 4 chromatids
                                                                          1. Tetrad
                                                                            1. Pair of homologous chromosomes, each with two chromatids
                                                                          2. Recombination shuffles the allele content between homologous chromosomes ( Increasing genetic diversity)
                                                                            1. Crossing over
                                                                              1. Exchange of genetic material between homologous chromosomes
                                                                            2. Metaphase 1
                                                                              1. Spindle fibres attached line up the homologous pairs at the equatorial plate
                                                                                1. Anaphase 1 & Telophase 1
                                                                                  1. Homologous chromosomes are moved to opposite ends
                                                                                    1. One member of each homologous pair will be found in each daughter cell
                                                                                      1. Meiosis 2
                                                                                        1. Pairs of chromatids separate and move to opposite poles
                                                                                          1. There is no replication of chromosomes before meiosis 2
                                                                                            1. Each cell has half the number of chromosomes as the parent cell
                                                                                      2. Oogenesis
                                                                                        1. In female animals , meiosis takes place in the ovaries
                                                                                          1. Starts during embryonic development with diploid cells called oogonia
                                                                                            1. These cells divide by mitosis, becoming primary oocytes which are diploid
                                                                                              1. The primary oocyte begin the process of meiosis but they stop at prophase and remain in this stage until puberty
                                                                                                1. After puberty is reached, every month one of the oocytes will continue through the process of meiosis
                                                                                                  1. Division of the cytoplasm happens unevenly during cell division that takes place at the end of meiosis 1
                                                                                                    1. The cell that receives the most cytoplasm, now called a secondary oocyte, will continue with meiosis
                                                                                                      1. One a month the secondary oocyte will burst out the ovary and travel down the fallopian tube to the uterus
                                                                                                        1. If oocyte is penetrated by sperm the second cell division of meiosis will take place
                                                                                                          1. Most of the cytoplasm will go to one of the daughter cells, called the ovum, and a smaller polar body will be formed
                                                                                                            1. after fertilization, as soon as meiosis is complete, the chromosomes of the haploid sperm cell will fuse with those of the haploid egg cell
                                                                                                              1. The resulting diploid cell is called a zygote, the zygote will attach itself to the lining of the uterus and pregnancy begins
                                                                                                                1. Number of chromosomes
                                                                                                                  1. 46
                                                                                                                    1. 23
                                                                                                                      1. 23
                                                                                                                        1. polar body
                                                                                                                        2. polar body
                                                                                                                          1. polar body
                                                                                                                            1. polar body
                                                                                                            2. The cell that receives less cytoplasm is called a polar body, it usually degenerates
                                                                                                2. Spermatogenesis
                                                                                                  1. In male animals, meiosis takes place in the testes
                                                                                                    1. Starts with diploid cell called a spermatagonia
                                                                                                      1. When boy reached puberty , spermatogonia reproduces by mitosis. The resulting cells then undergo meiosis to form four haploid cells
                                                                                                        1. After meiosis 2, the haploid cells, called spermatids, undergo several additional changed:
                                                                                                          1. 1. Development of the head section, which contains nucleus
                                                                                                            1. 2. Development of middle section which contains a lot of mitrochondria which provides energy for swimming
                                                                                                              1. 3. Development of a tail, called a flagellum, which is used for swimming
                                                                                                                1. Number of chromosomes
                                                                                                                  1. 46
                                                                                                                    1. 23
                                                                                                                      1. 23
                                                                                                                        1. 23
                                                                                                                        2. 23
                                                                                                                          1. 23
                                                                                                                            1. 23
                                                                                                      2. Number of chromosomes
                                                                                                        1. Mitosis
                                                                                                          1. 46
                                                                                                            1. 46
                                                                                                              1. 46
                                                                                                            2. Meiosis
                                                                                                              1. 46
                                                                                                                1. 23
                                                                                                                  1. 23
                                                                                                                    1. 23
                                                                                                                    2. 23
                                                                                                                      1. 23
                                                                                                                        1. 23
                                                                                                              2. Somatic cell
                                                                                                                1. Any cell of a living organism other than reproductive cells
                                                                                                              Show full summary Hide full summary

                                                                                                              Similar

                                                                                                              IB Biology Topic 4 Genetics (SL)
                                                                                                              R S
                                                                                                              Biology AQA 3.1.3 Cells
                                                                                                              evie.daines
                                                                                                              Biology AQA 3.2.5 Mitosis
                                                                                                              evie.daines
                                                                                                              Biology AQA 3.1.3 Osmosis and Diffusion
                                                                                                              evie.daines
                                                                                                              Biology- Genes, Chromosomes and DNA
                                                                                                              Laura Perry
                                                                                                              Biology- Genes and Variation
                                                                                                              Laura Perry
                                                                                                              Enzymes and Respiration
                                                                                                              I Turner
                                                                                                              GCSE AQA Biology - Unit 2
                                                                                                              James Jolliffe
                                                                                                              GCSE AQA Biology 1 Quiz
                                                                                                              Lilac Potato
                                                                                                              Using GoConqr to study science
                                                                                                              Sarah Egan
                                                                                                              Cells and the Immune System
                                                                                                              Eleanor H