APENDICITIS

Description

Mind Map on APENDICITIS, created by Laura Morales Ló on 27/06/2015.
Laura Morales Ló
Mind Map by Laura Morales Ló, updated more than 1 year ago
Laura Morales Ló
Created by Laura Morales Ló over 10 years ago
25
0

Resource summary

APENDICITIS
  1. Inflamación apéndice cecal o vermiforme
    1. Inflamación qx + común
      1. EPIDEMIOLOGÍA
        1. Frecuente 2do y 3er decenio vida.
          1. Relación hombre-mujer 3:1
          2. ANATOMÍA
            1. Tubo ciego 2-20cm longitud, 3 a 6mm diámetro,con base en la confuencia tenias colónicas ciego
              1. Irrigada x la arteria apendicular, colateral rama ileal arteria ileocólica, rama terminal arteria mesentérica sup.
                1. Localización
                  1. Retrocecal 65%
                    1. Pélvica 30%
                  2. ETIOLOGÍA
                    1. Obstrucción de la luz
                      1. 60% Hiperplasia folículos linfoides submucosos
                        1. 30-40 Fecalito o apendicolito
                          1. 4% cuerpos extraños
                            1. 1% Tumores apendiculares
                              1. Acúmulo secreción mucosa
                                1. Distensión apéndice, aumento presión intraluminal
                                  1. Compromiso drenaje venoso y linfático
                                    1. Isquemia e inflamación
                                      1. Sobrecrecimiento bacteriano
                                        1. Bacilos gram (-) y anaerobios 60% (Bacteroides fragilis)
                                        2. Produce perforación, absceso periapendicular, peritonitis purulenta o fecaloide
                                2. Ulceración mucosa causa viral o bacteriana (Yersinia)
                                3. CUADRO CLÍNICO
                                  1. Hiporexia
                                    1. Dolor abdominal difuso o cólico mesogástrico, constante y progresivo
                                      1. 4-6h fosa iliaca derecha + intenso
                                      2. Náusea
                                        1. Vómito
                                        2. EF
                                          1. Posición forzada, decubito dorsal c/muslo der flexionado
                                            1. Auscultación
                                              1. < ruidos intestinales
                                              2. Palpación
                                                1. Hiperestesia, hiperbaralgesia FID
                                                  1. Punto McBurney
                                                    1. Signo Blumberg
                                                      1. Rovsing
                                                2. DIAGNÓSTICO
                                                  1. LABORATORIO
                                                    1. Leucositosis >10 000, neutrofilia >75%
                                                    2. IMAGEN
                                                      1. RX
                                                        1. US
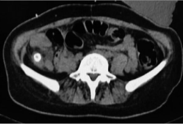
                                                          1. TAC
                                                            1. Estriación grasa
                                                              1. Diametro > 6mm
                                                                1. Apendicolito
                                                            2. TRATAMIENTO
                                                              1. PREOPERATORIO
                                                                1. Reanimación hídrica
                                                                  1. AINE y opioide
                                                                    1. Antibioticoterapia
                                                                    2. OPERATORIO
                                                                      1. Sitio McBurney, transversal o laparotomia x linea media
                                                                        1. Laparoscópica
                                                                        2. POSOPERATORIO
                                                                          1. No complicada, estancia corta 24hrs, monitores presencia complicaciones, tolerancia VO, analgesia
                                                                        Show full summary Hide full summary

                                                                        Similar

                                                                        APENDICITIS AGUDA
                                                                        Fernando Mendoza Del Rio
                                                                        DOLOR ABDOMINAL EN PEDIATRÍA
                                                                        Andres Estrella