Epistaxis

Description

Manejo de la Epistaxis por médicos de primer contacto
Nancy Elizabeth Aguilar Muñoz
Flashcards by Nancy Elizabeth Aguilar Muñoz, updated more than 1 year ago
Nancy Elizabeth Aguilar Muñoz
Created by Nancy Elizabeth Aguilar Muñoz about 9 years ago
173
0

Resource summary

Question Answer
DEFINICION Hemorragia que se origina en las fosas nasales
Sistema Arterial que irriga la nariz
Epistaxis Arterias que conforman el Plexo de Kiesselbach Labial Superior Palatina descendente Esfenopalatina: septal y turbinales Etmoidal anterior
Etiología Local Local: traumatismos, cuerpos extraños, cirugía
Etiología General General: inflamación crónica (RSN), hipertensión, diabetes, enfermedades hepáticas, discrasias sanguineas, diabetes
Diagnóstico Magnitud Sitio de sangrado Comorbilidades Exploración (Rinoscopia, fibroscopia)
Sangrado Recidivante Laboratorio: BH, factores de coagulación Imagen: TC, RM, Angiografía
Tratamiento Epistaxis anterior Identificación del sitio de sangrado Colocación taponamiento oximetazolina + xilocaína Compresión manual por 5 min
Control epistaxis anterior Cauterización: nitrato de plata, ac. tricloroacético, electrocauterio, láser Taponamiento anterior
Imagen taponamiento anterior
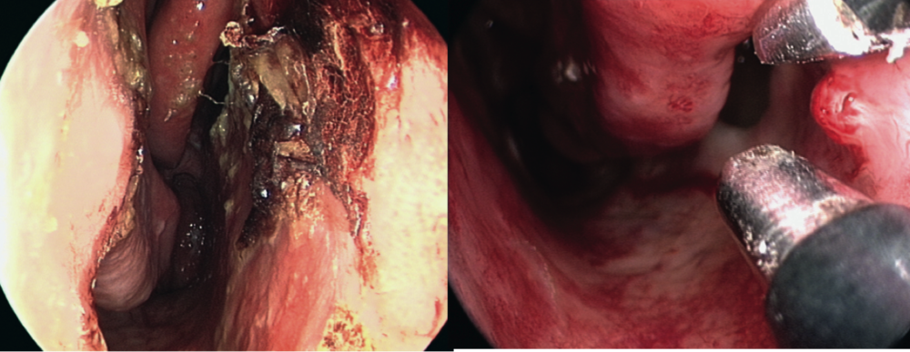
Tratamiento Epistaxis posterior Taponamiento posterior Antibióticos Hospitalización 72 hr minimo
Imagen taponamiento posterior
Imagen Rapid-rino
Quirúrgicos: ligadura vascular, CENSP Esfenopalatina Etmoidales anteriores Maxilar Interna Carótida externa
Show full summary Hide full summary

Similar

Concepción Pedagogia y Didáctica
NEIL BERNAL R.
Lectura Rápida
Diego Santos
5 Pasos para el Éxito en el Aprendizaje
maya velasquez
CURSO APRENDIENDO A APRENDER
Isidro Esparza Marín
Teorías de la educación
Mailén Urrutia
Bases teóricas de la educación en ambientes virtuales
Gennecheverria
Currículo
Fernanda Espinoza
Roles en la educación inclusiva
Alejandro Villamizar
Elementos que intervienen en el proceso de adquisición del conocimiento
Elias santiago titla
METODOLOGÍA DE LA ENSEÑANZA
Francisco Vergara