Dermatology Exam 1

Description

Acne, Viral Infections, Infestations, Fungal Infections, Bacterial Infections, Warts and Molluscum
scandoscott
Flashcards by scandoscott, updated more than 1 year ago
scandoscott
Created by scandoscott about 10 years ago
1086
0

Resource summary

Question Answer
Infantile Acne
Acne Vulgaris
Infantile Acne
Infantile Acne
Early Adolescent Acne
Open Comodones/ Blackheads
Nodulocystic Acne
Nodulocystic Acne
Perioral Dermatitis
Perioral Dermatitis
Tinea Capitis
Tinea Capitis
Kerion
Kerion
Tinea Pedis
JPD
Tinea Corporis
Tinea Corporis
Tinea Corporis
Tinea Faciei
Tinea Faciei
Tinea Faciei
Tinea Faciei
Ocychomycosis
Tinea Versicolor
Tinea Versicolor
Perleche
Thrush
Intertrigo
Diaper Candidiasis
Impetigo
Bullous Impetigo
Ecthyma
Cellulitis
Periorbital Cellulitis
Bacterial Intertrigo
Bacterial Intertrigo
Bacterial Intertrigo
Folliculitis
Furunculosis
Staph Abscess
MRSA abscess and cellulitis
Necrotizing Faciitis
Scarlet Fever
Scarlet Fever
Staph Scalded Skin
Staph Scalded Skin
Periungal Wart
Filiform Wart
Flat Warts
Plantar Wart
Condyloma (Venereal Wart)
Condyloma (Venereal Wart)
Molluscum contagiosum
Molluscum contagiosum
Molluscum contagiosum
Viral Exanthem
Viral Exanthem
Viral Exanthem
Measles (rubeola)
Measles (rubeola)
Roseola Infantum
Erythema Infectiosum
Erythema Infectiosum
EBV mono plus amoxicillin
Hand Foot and Mouth
Hand Foot and Mouth
Gianotti-Crosti Syndrome
Gianotti-Crosti Syndrome
Asymmetric Periflexural Exanthem of Childhood
Herpetic Whitlow
Eczema herpeticum
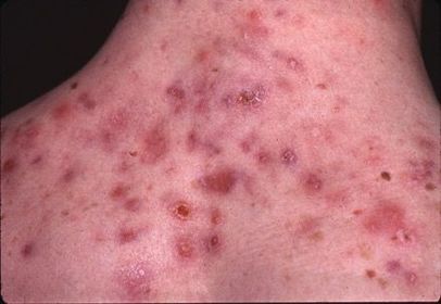
Chicken Pox
Herpes Zoster
Herpes Zoster
Herpes Zoster
Scabies
Scabies
Scabies
Norwegian Scabies
Papular Urticaria
Papular Urticaria
Seborrheic Dermatitis
Seborrheic Dermatitis Cradle Cap
Seborrheic Dermatitis
Nummular Dermatitis
Nummular Dermatitis Wet Form
Nummular Dermatitis Dry Form
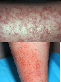
Atopic dermatitis
Atopic dermatitis
Atopic dermatitis
Atopic dermatitis
Atopic dermatitis Lichenification
Dry Skin Dermatitis
Allergic Contact Dermatitis Nickel
Allergic Contact Dermatitis Poison Ivy
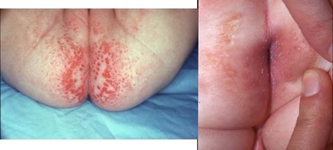
Perianal Diaper Dermatitis
Urine Diaper Dermatitis
Candida Diaper Dermatitis
Show full summary Hide full summary

Similar

Basic Immunology Principles
Robyn Hokulani-C
The Endocrine System
DrABC
Respiratory anatomy
James Murdoch
1. Anatomy & Physiology of the Ear
t.whittingham
Fluid and Electrolyte Imbalances
D R
Introduction to pharmacology
Ifeoma Ezepue
Hormones
try2bangel
FOODBORNE ILLNESS & DISEASE
Jenn A
How does the immune system recognise pathogens?
Ifeoma Ezepue
Neuro-Cognitive Disorders
SaraJaarour
Why is immunology important?
Ifeoma Ezepue