null
US
Sign In
Sign Up for Free
Sign Up
We have detected that Javascript is not enabled in your browser. The dynamic nature of our site means that Javascript must be enabled to function properly. Please read our
terms and conditions
for more information.
Next up
Copy and Edit
You need to log in to complete this action!
Register for Free
6423116
Raio-x
Description
Mind Map on Raio-x, created by Bruno Nobre on 22/09/2016.
Mind Map by
Bruno Nobre
, updated more than 1 year ago
More
Less
Created by
Bruno Nobre
over 9 years ago
30
2
0
Resource summary
Raio-x
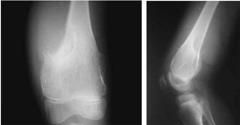
Sinais de rarefação e lise óssea: lesões osteolíticas
Reação periosteal: espessamento ou ruptura da linha do periósteo.
Triângulo de Codman.
Media attachments
da57fad6-414f-4310-8db1-fc524e635163 (image/png)
c292eeae-44e4-48e8-ae0d-824b0a224f0c (image/png)
fd83b7bc-367c-43ad-b539-d4362066bf1e (image/jpg)
Show full summary
Hide full summary
Want to create your own
Mind Maps
for
free
with GoConqr?
Learn more
.
Similar
²Classificação MC
Ester de Souza
Reações adversas
Ester de Souza
Browse Library