null
US
Anmelden
kostenlos registrieren
Registrieren
Wir haben festgestellt, dass Javascript in deinem Browser nicht aktiviert ist. Aufgrund des dynamischen Charakters unserer Website muss Javascript allerdings entsprechend aktiviert sein. Bitte lese dir unsere
Geschäftsbedingungen
durch, um mehr Informationen zu erhalten.
Nächster
Kopieren und bearbeiten
Sie müssen sich anmelden, um diese Aktion abzuschließen!
Kostenlos registrieren
1393718
Cell Quiz part 3 of 5
Beschreibung
This is the third quiz in the series for Intro to Bio's quiz on the organelles of cells.
Keine Merkmale angegeben
biology
intro bio
cells
organelles
biology i
cells
high school
Quiz von
MsHeltonReads
, aktualisiert more than 1 year ago
Mehr
Weniger
Erstellt von
MsHeltonReads
vor etwa 11 Jahre
365
11
0
Zusammenfassung der Ressource
Frage 1
Frage
Leucoplasts are only found in plant cells.
Antworten
True
False
Frage 2
Frage
If you were to make a water balloon, you would call it a water balloon. If a cell were to make a water balloon, you would call it...
Antworten
a ribosome.
a vacuole.
a chromoplast.
a lysosome.
Frage 3
Frage
What's the difference between prokaryotic cells and eukaryotic cells?
Antworten
Who cares.
Prokaryotic cells are larger than eukaryotic cells.
Eukaryotic cells have membrane-bound organelles (e.g. mitochondria), while prokaryotic cells do not.
Scientists have studied eukaryotic cells extensively for decades, while prokaryotic cells have only been discovered in the last three years.
Frage 4
Frage
Find the mitochondrion.
Antworten
Image:
Mitochondria__mammalian_lung_-_TEM (image/jpg)
Image:
500px-Potato_-_Amyloplasts (image/jpg)
Image:
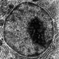
Nucleus_Nucleolus.gif (image/gif)
Image:
500px-Bronchiolar_epithelium_3_-_SEM (image/jpg)
Frage 5
Frage
Find the chloroplasts.
Antworten
Image:
500px-Potato_-_Amyloplasts (image/jpg)
Image:
690px-Plagiomnium_affine_laminazellen (image/jpeg)
Image:
images (image/jpeg)
Image:
FluorescentCells (image/jpg)
Frage 6
Frage
Boat propeller is to flagella as caterpillar legs are to...
Antworten
golgi apparatus
cilia
chromoplasts
cell wall
Frage 7
Frage
A cell has either a cell wall or a cell membrane.
Antworten
True
False
Frage 8
Frage
What facts are true about the endoplasmic reticulum?
Antworten
Red blood cells have an endoplasmic reticulum
The rough endoplasmic reticulum (RER) has a bunch of ribosomes on it.
It is attached to the outside of the nucleus.
The endoplasmic reticulum helps make proteins, but does not transport them anywhere.
Frage 9
Frage
What is true of the nucleolus?
Antworten
It is found in prokaryotes only.
It is inside the nucleus.
It is made of proteins and RNA.
It has been photographed using a scanning electron microscope.
Frage 10
Frage
This quiz was harder than the last one.
Antworten
False.
True, and I am glad about this because it means I am being challenged to improve. Growth mindset!!
True, and that makes me sad.
Zusammenfassung anzeigen
Zusammenfassung ausblenden
Möchten Sie mit GoConqr
kostenlos
Ihre eigenen
Quiz
erstellen? eigenen
Mehr erfahren
.
ähnlicher Inhalt
Biology AQA 3.1.3 Cells
evie.daines
Cells and the Immune System
Eleanor H
AQA Biology 12.1 cellular organisation
Charlotte Hewson
Plant and animal cells
Tyra Peters
GCSE AQA Biology - Unit 2
James Jolliffe
Function and Structure of DNA
Elena Cade
Cell Transport
Elena Cade
Mitosis
Selam H
Biology Unit 2 - DNA, meiosis, mitosis, cell cycle
DauntlessAlpha
Cell Structure
megan.radcliffe16
Edexcel Biology chapter 1
Anna Bowring
Bibliothek durchsuchen