Unit 3 - Image Quality

Descripción

Techniques
RadTech Fairy
Fichas por RadTech Fairy, actualizado hace más de 1 año
RadTech Fairy
Creado por RadTech Fairy hace casi 9 años
55
3

Resumen del Recurso

Pregunta Respuesta
mAs influences density brightness shades of black
kVp influences contrast shades of gray
higher kVp will produce more contrast and shades of gray
short-scale contrast high contrast few shades of gray low kVp _____________ finger, toe, femur, humerus, elbow, etc...
long-scale contrast low contrast many shades of gray high kVp _________________ abdomen, chest, fluoroscopy, etc....
Density the quantity of photons reaching the IR
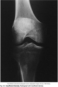
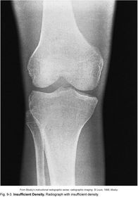
Insufficient Density image appears too bright (too many x-ray photons)
Excessive Density image appears too dark (too few x-ray photons)
Spatial Resolution Detail Sharpness
Which factors contribute to SIZE distortion? Far SID Short OID
Which factors contribute to SHAPE distortion? tube angle anatomical centering
What are 2 forms of distortion? distortion of size (magnification, foreshortening, elongation, etc.) distortion of shape (centering, tube angle, tilted IR, etc.)
Window Level changes brightness
if an image is too dark, you can increase brightness by ________ window level increasing
if an image is too light, you can decrease brightness by _________ window level decreasing
Contrast Combined result of the quality of the x-ray beam, quality of radiation, quality of the IR, and computer processing and display
TRUE OR FALSE? elements of high anatomic numbers absorb radiation dose TRUE: Ca+ in bones has a high atomic number, therefore it absorbs radiation and appears white on a radiograph
Subject Contrast radiation will be absorbed differently throughout the body for regions of high atomic numbers vs. regions of low atomic numbers
A radiographic image that has a greater resolution minimizes the amount of __________ of the anatomic structural lines unsharpness
Good diagnostic quality is achieved by _______ _________ and by _______ _____ . maximizing resolution minimize distortion
TRUE OR FALSE? increasing the bit depth of digital pixels, will increase the shades of gray within each pixel TRUE
TRUE OR FALSE? increasing the number of pixels in a matrix will decrease the image quality FALSE having more pixels increases potential for better contrast
TRUE OR FALSE? With DR, you can't overexpose the patient and have a good radiograph. FALSE. Even if your image comes out overexposed you can postprocess the image by changing your window level and still create an acceptable radiograph without re-exposing the patient.
The exposure indicator provides a numeric value indicating the level of radiation exposure to the __________ digital image receptor.
Window level adjusts ________ brightness
Window width adjusts ________ contrast
wide window width will produce _________ and a narrow window width will produce ________ low contrast high contrast
Pixel Pitch distance between two pixels where they come together in the middle
Visibility of Recorded Details includes: -brightness -density -contrast
Sharpness of Recorded Details includes: - spatial resolution - distortion
Brightness amount of luminance
Density amount of blackness - controlled by mAs
Contrast quality of radiation absorption within the body - controlled by kVp
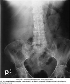
Low-Subject Contrast -similar tissue types - similar shades of gray *ABDOMEN*
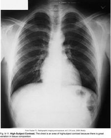
High-Subject Contrast - varying tissue types - varying shades of black -> gray -> white *CHEST*
High contrast, with low kVp and few shades of gray describes _____ _____ contrast Short - Scale
Low contrast, with high kVp and many shades of gray describes _____ ______ contrast Long - Scale
Size Distortion is characterized by ______ and _______ Magnification OID/SID
Shape Distortion is characterized by _______ _______ and ______ elongation foreshortening tube angle patient positioning
Using a grid will ________ contrast and ________ density. Therefore, you should _______ _____ when using a grid increase decrease increase mAs
What are 3 examples of decreasing exposure time? 1. decreasing SID increases speed 2. increase mA, decrease time 3. increase kVp
The area of the anode surface which receives the beam of electroms from the cathode is known as _____ _____ FOCAL SPOT
As focal spot size decreases, _________ decreases, and ________ increases unsharpness recorded detail
Bit Depth how the exit radiation is recorded controls the pixel brightness
Matrix rows and columns of the image
Pixel each individual box in a matrix
Mostrar resumen completo Ocultar resumen completo

Similar

Radiology Final MCQs-3rd Year- PMU
Med Student
Radiology MCQs 2- 3rd Year- PMU
Med Student
x-sectional anatomy
Korie Hi
Merrill's Chapter 8
Korie Hi
Merrill's Chapter 5
Korie Hi
Merrill's Chapter 3
Korie Hi
Anatomy - Chapter 20E
Korie Hi
Imaging in Gynaecology
Matthew Coulson
Merrill's Chapter 20
Korie Hi
Anatomy - Chapter 8A
Korie Hi
Merrill's Chapter 4
Korie Hi