Tooth Development

Description

dentistry Oral Biology (Tooth development) Mind Map on Tooth Development, created by 0 9 on 10/10/2015.
0 9
Mind Map by 0 9, updated more than 1 year ago
0 9
Created by 0 9 about 10 years ago
45
1

Resource summary

Tooth Development
  1. At the 6th week the oral epithelium thickens and invaginates into the surrounding mesenchyme
    1. The PRIMARY EPITHELIAL BAND
      1. Dental lamina (lingually positioned)
        1. Involved in the development of the teeth / tooth germs
          1. Bud -> Cap -> Bell stages
          2. Local proliferation of the dental lamina at positions of future deciduous teeth causes production of epithelial swellings into ectomesenchyme (future tooth germs)
          3. Vestibular lamina (buccally positioned)
            1. Forms the vestibule of the mouth
              1. VL cell proliferation, then degeneration of central epithelial cells - creates the SULCUS of the vestibule (gap between the cheek and tooth-bearing area)
              2. (Division)
            2. Key words
              1. Histo-differentiation
                1. In the context of tooth development, histo-differentiation is the idea of cells differentiation into morphologically and functionally distinct groups of cells e.g. odontoblasts
                  1. Structure + Shape related to FUNCTION
                2. Morpho-differentiation
                  1. In the context of tooth development, morpho-differentiation is the idea of the determination of certain shapes (morpho) such as the shape of the crown of the tooth.
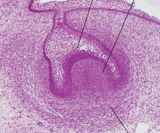
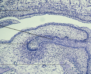
                3. Bud -> Cap -> Bell stages
                  1. Bud
                    1. Poor morphodifferentiation and histodifferentiation of tissues at this stage
                      1. Ectomesenchymal cells are closely packed around the bud
                        1. An "epithelial incursion" into the ectomesenchyme by the epithelial "bud" - the early enamel organ
                        2. Cap stage
                          1. The epithelial bud continues to proliferate within the ectomesenchyme that it is embedded in
                            1. Condensation of the ectomesenchymal cells that surround the bud (forming the DENTAL PAPILLA)
                              1. Dentin
                                1. Pulp
                                  1. Precursor to..
                                  2. We can clearly see the epithelial enamel organ sitting upon a section of condensed ectomesenchyme (the dental papilla)
                                    1. Dental follicle limiting dental papilla and surrounding the enamel organ
                                      1. Periodontium
                                        1. Precursor to..
                                      2. Invasion of vascular supply to DP
                                      3. Bell
                                        1. Early bell stage (4 cell layers)
                                          1. Cells on the periphery of the enamel organ assume a low cuboidal shape. This creates the outer enamel epithelium
                                            1. Cells lining the dental papilla assume a short columnar shape. This creates the inner enamel epithelium (which later differentiate into ameloblasts)
                                              1. The stratum intermedium forms via differentation of epithelial cells located between the IDE and SR. The cells have a characteristically high amount of alkaline phosphatase
                                                1. Works with the IDE as a single functional unit in the production of enamel, but its actual role is unclear.
                                                2. Stellate reticulum
                                                3. Late bell stage
                                                  1. 1. Dental lamina breaks down 2. Tooth germ loses attachment to the oral epithelium and becomes encased in the bone of the jaw 3. Some dental lamina remains in the jaw as epithelial pearls (involved in future cyst formation)
                                                    1. Differential rates of mitotic division of IEE = epithelial folding = crown shape / cuspal outline formed
                                                      1. Dentin + Enamel formation occurs at the crest of this folding (future cusp tips)
                                                    2. DF = >collagen fibrils in extracellular space than DP
                                                      1. Dental basement membrane separates IDE (or the enamel organ for that matter) from the DP. Its role is in mediating interactions between epith and mesen compartments during odontoblast differentiation before dentine secretion - when the DBM breaks down, the pre-dentine matrix will induce IEE terminal differentiation into ameloblasts
                                                        1. Dental papilla = progenitor cell population for future dentine-pulp complex, e.g. odontoblasts differentiate from cells adjacent to the enamel organ
                                                        2. Cap -> Bell transition
                                                          1. The cells in the centre of the enamel organ secrete lots of GAG into the extracel. compartment. These are hydrophilic theref. water is drawn in. This increases fluid volume in extracel. compartment and thus the central cells are forced apart. Since desmosomal contacts are still in place, this distorts the cells. This forms star shaped cells termed the STELLATE RETICULUM
                                                        3. Transitory structures
                                                          1. Enamel knot
                                                            1. Clusters of non-dividing epithelial cells in molar cap stage tooth germs
                                                              1. Produces many signalling molecules including BMP's etc
                                                                1. Possible function is in the organisation of cusp morphogenesis
                                                                  1. Precursor cells noted by expression of p21
                                                                    1. Disappears by bell stage
                                                                    2. Cervical loop
                                                                      1. Where the IDE meets the ODE
                                                                        1. After crown formation, gives rise to the epithelial component of root formation (HERS)
                                                                          1. This is the region where cells continue dividing until the tooth crown reaches its full size
                                                                          2. Enamel cord
                                                                            1. Unknown function - may be involved in cap to bell transition
                                                                              1. A strand of cells from the stratum intermedium to the ODE which divides the SR
                                                                              2. Enamel niche
                                                                                1. Pockets of ectomesenchyme within the enamel organ
                                                                                  1. Possible sectioning artefact
                                                                                2. Dental Organ / Tooth Germ =
                                                                                  1. EO + DP + DF
                                                                                  2. Supplies to the tooth
                                                                                    1. Nerve supply
                                                                                      1. Nerves penetrate dental papilla with onset of dentinogenesis
                                                                                        1. Nerves important for hypersensitivity
                                                                                      2. Vascular supply
                                                                                        1. Small vessels invade the DP/DF in the early bell stage
                                                                                          1. Increases a lot during the bell stage during hard tissue formation
                                                                                            1. NEVER invades SR - EO = avascular
                                                                                          2. Formation of the permanent dentition
                                                                                            1. Permanent incisor, canine, premolar germs form as a result of proliferation on the lingual aspect of the DL next to deciduous predecessors
                                                                                              1. Permanent molars do not have deciduous predecessors (only 20 teeth in deciduous dentition). There is backwards extension of the dental lamina which gives off epithelial ingrowths - these will produce the 1st -> 3rd molars.
                                                                                              2. Chronology
                                                                                                1. Deciduous = 6-8 weeks i.u
                                                                                                  1. Permanent successional teeth (i.e. 1 -> 5) = 20 weeks i.u. to 10 months after birth
                                                                                                    1. Permanent molars = 20 months i.u. to 5 years after birth
                                                                                                      1. EXAM - GIVE ESTIMATES OF CALCIFICATION/ERUPTION DATES FOR DIFFERENT TYPES OF TEETH
                                                                                                      Show full summary Hide full summary

                                                                                                      Similar

                                                                                                      Adult mandibular tooth eruption and calcification dates
                                                                                                      0 9
                                                                                                      Enamel composition and structure
                                                                                                      0 9
                                                                                                      OCB02-1009-Early tooth development/Late tooth development/Tooth morphogenesis
                                                                                                      Evian Chai
                                                                                                      OCB02-1012-Signalling pathways in tooth development
                                                                                                      Evian Chai
                                                                                                      ALTERNATIVES TO WATER F
                                                                                                      aahughes
                                                                                                      TOOTHPASTES
                                                                                                      aahughes
                                                                                                      AGEING IN DENTAL TISSUES
                                                                                                      aahughes
                                                                                                      FACTORS AFFECTING CARIOUS LESIONS
                                                                                                      aahughes
                                                                                                      IMMUNISATION OF CARIES
                                                                                                      aahughes
                                                                                                      SENSATIONS
                                                                                                      aahughes
                                                                                                      WATER FLUORIDATION
                                                                                                      aahughes