Bone Tumors​

Description

Mind Map on Bone Tumors​, created by mahmoud eladl on 27/03/2017.
mahmoud eladl
Mind Map by mahmoud eladl, updated more than 1 year ago
mahmoud eladl
Created by mahmoud eladl almost 9 years ago
40
0

Resource summary

Bone Tumors​
  1. <might occur in
    1. femur
      1. bones
        1. Anatomy
          1. muscles
            1. anterior Compartments
              1. - Quadriceps -Artuculus genus
                1. supply: n.
              2. posterior Compartments
                1. -Biceps femuris -semimembranous -semitendinosus -Ischial part of adductor magnus
                  1. supply: Sciatic n.
                2. medial Compartment
                  1. -Adductor longus -Adductor brevis -Adductor magnus -pectineus -Garcilis
                    1. supply: Obturator n.
              3. structure
          2. Definition: Neoplastic growth of bones.
            1. Types
              1. Primary bone tumors
                1. Benign
                  1. Malignant
                  2. Secondary (metastatic) bone tumors
                  3. classification
                    1. Osteosarcoma
                      1. definition: cancer that produces immature bone. that exhibits osteoblastic differentiation and produces malignant osteoid.
                        1. Metastatic areas
                          1. most common: lungs
                            1. Bones
                              1. brain
                              2. causes
                                1. Radiation
                                  1. genetics
                                    1. Paget's disease of bones
                                    2. Skeletal Distribution
                                      1. Distal femur
                                        1. Proximal tibia
                                          1. proximal humerus
                                          2. Classification
                                            1. primary
                                              1. osteoplastic
                                                1. S.C osteosarcoma
                                                  1. chondroplastic
                                                    1. Telangiectatic
                                                    2. secondary
                                                      1. paget disease
                                                        1. osteochondromas
                                                          1. osteogenesis imperfecta
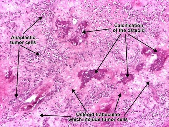
                                                        2. Histopathology
                                                          1. Complications
                                                            1. Bone pain
                                                              1. Pathological fracture
                                                                1. Bone metastases
                                                                  1. Lung metastases
                                                                    1. Red cell production reduced
                                                                      1. Orbital mass
                                                                      2. Prognostic Factors
                                                                        1. Extent of the disease
                                                                          1. Grade of the tumor
                                                                            1. Size of the pulmonary lesion
                                                                              1. Skeletal location
                                                                              2. Treatment
                                                                                1. Chemotherapy​
                                                                                  1. Surgery
                                                                                    1. Limb-Salvage
                                                                                      1. Amputation
                                                                                        1. Reconstruction surgery​
                                                                                          1. Consent for surgiry
                                                                                        2. Investigations
                                                                                          1. X-RAY
                                                                                            1. CT
                                                                                              1. MRI
                                                                                                1. Blood test
                                                                                                  1. Biopsy
                                                                                                2. Psychological impacts
                                                                                                  1. PTSD
                                                                                                    1. Depression
                                                                                                      1. Anxiety
                                                                                                      Show full summary Hide full summary

                                                                                                      Similar