ABSCESSED TOOTH

Description

sfsfsf
Jhesica G. Escob
Mind Map by Jhesica G. Escob, updated more than 1 year ago
Jhesica G. Escob
Created by Jhesica G. Escob almost 11 years ago
30
0

Resource summary

ABSCESSED TOOTH
  1. PROGNOSIS
    1. UNTREATED
      1. INFECTION SPREAD
        1. FACE
          1. CLOSED AIRWAYS
            1. EMERGENCY ROOM
          2. NECK
        2. APROPRIATED EARLY TREATMENT
          1. INFECTION LOCALIZATED
            1. FAST RECOVERY
        3. HOME REMEDIES
          1. WARM SALTWATER
            1. SODA RINSES
              1. ANALGESICS
                1. EFECTIVE TEMPORALY
              2. CAN PREVENTED
                1. REGULAR DENTAL VISITS
                  1. HOME CARE HABITS
                    1. FASTER TREATMENT
                      1. CARIES
                        1. SENSITIVITY
                          1. BLOWS
                        2. CAUSES
                          1. INFLAMATORY PROCESS
                            1. DECAY LARGE - DEEP
                              1. PULPITIS
                                1. REVERSIBLE
                                  1. PULP CAN RECOVER.
                                  2. IRREVERSIBLE
                                    1. NECROTIC PULP
                                      1. CAUSES
                                        1. OCLUSSAL TRAUMA
                                          1. BLOW TOOTH
                                            1. NO BLOOD OR NUTRIENT SUPPLY
                                            2. DENTAL TREATMENT CLOSE TO THE PULP CHAMBER
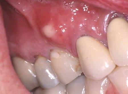
                                    2. SINGNS - SYMPTOMS
                                      1. PAIN EATING
                                        1. BAD TASTE / ODOR IN MOUTH
                                          1. JAW PAIN
                                            1. TOOTH TURNS DARK
                                              1. SWOLLEN FACE
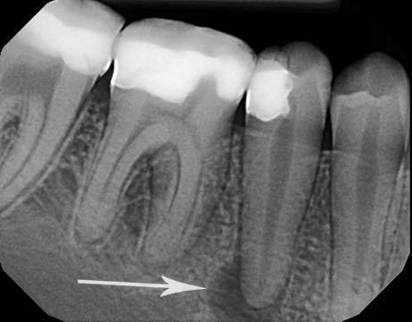
                                                1. DIAGNOSIS
                                                  1. DETERMINATED BY
                                                    1. EXAM AND TEST
                                                      1. X-RAY RESULTS
                                                    2. TREATMENT
                                                      1. DURING PREGNACY
                                                        1. INMEDIATE ATTENCION
                                                        2. DECIDUOUS TEETH
                                                          1. MOBILE
                                                            1. EXODONCIA
                                                            2. NOT MOBILE
                                                              1. CLEARED PULP CHAMBER
                                                                1. FILED
                                                                  1. ZINC OXIDE
                                                                    1. EUGENOL
                                                              2. PERMANENT TEETH
                                                                1. EARLY STAGE
                                                                  1. CLEARING INFECTION
                                                                    1. DRAINING TOOTH
                                                                      1. ORAL ANTIBIOTICS
                                                                        1. RESTORED TOOTH
                                                                          1. ROOT CANAL TRATMENT
                                                                            1. CLEAN PULP CHAMBER
                                                                              1. FILED GUTAPERCH
                                                                          2. CANNOT RESTORED
                                                                            1. EXTRACTED INMEDIATELY
                                                                        2. ADVANCED STAGE
                                                                          1. SWELLING
                                                                            1. JAW
                                                                              1. FACE
                                                                                1. CLOSED AIRWAY
                                                                                  1. FEVER
                                                                                    1. EMERGENCY ROOM
                                                                              Show full summary Hide full summary

                                                                              Similar

                                                                              GRAMMAR WORDS
                                                                              Ana Fernández García
                                                                              Capitulo 5 Costeo por procesos: múltiples procesos y materias primas
                                                                              Ramon MF
                                                                              Patents
                                                                              Johana Alba
                                                                              British Slang
                                                                              Valentina Castro
                                                                              Strategic management
                                                                              Sebastian Alvarez
                                                                              Los ambientes que le rodean a "El corsario negro"
                                                                              Rodrigo Ferrete
                                                                              Root canal treatment
                                                                              TR AS
                                                                              MODELO EDUCATIVO UNIMINUTO
                                                                              LILIANA RIAÑO
                                                                              Seaside
                                                                              Eduardo Brea
                                                                              mental map
                                                                              phanny de Azucena